Mouse Monoclonal Antibody to G6PD
货号:
30284
别名:
G6PD1
应用:
WB,IHC,FCM
反应种属:
Human,Mouse,Rabbit
抗体类型:
Primary antibody
Swissprot:
P11413
规格:
目录价
在线咨询
Description |
|---|
This gene encodes glucose-6-phosphate dehydrogenase. This protein is a cytosolic enzyme encoded by a housekeeping X-linked gene whose main function is to produce NADPH, a key electron donor in the defense against oxidizing agents and in reductive biosynthetic reactions. G6PD is remarkable for its genetic diversity. Many variants of G6PD, mostly produced from missense mutations, have been described with wide ranging levels of enzyme activity and associated clinical symptoms. G6PD deficiency may cause neonatal jaundice, acute hemolysis, or severe chronic non-spherocytic hemolytic anemia. Two transcript variants encoding different isoforms have been found for this gene. |
References |
|---|
| 1. Science. 2009 Dec 11;326(5959):1546-9. 2. Immunol Invest. 2009;38(6):551-9. |
Specification |
|
|---|---|
| Aliases | G6PD1 |
| Entrez GeneID | 2539 |
| Swissprot | P11413 |
| clone | 5E12 |
| WB Predicted band size | 59kDa |
| Host/Isotype | Mouse IgG1 |
| Antibody Type | Primary antibody |
| Storage | Store at 4°C short term. Aliquot and store at -20°C long term. Avoid freeze/thaw cycles. |
| Species Reactivity | Human,Mouse,Rabbit |
| Immunogen | Purified recombinant fragment of human G6PD expressed in E. Coli. |
| Formulation | Purified antibody in PBS with 0.05% sodium azide. |
Application |
|
|---|---|
| WB | 1/500 - 1/2000 |
| IHC | 1/100 - 1/500 |
| FCM | 1/200 - 1/400 |
| ELISA | 1/10000 |
Product Image
-
Black line: Control Antigen (100 ng); Purple line: Antigen(10ng); Blue line: Antigen (50 ng); Red line: Antigen (100 ng);

-
Western blot analysis using G6PD mouse mAb against Hela (1), MCF-7 (2), Jurkat (3) and K562 (4) cell lysate.

-
Western blot analysis using G6PD mouse mAb against C2C12 cell lysate.

-
Flow cytometric analysis of MCF-7 cells using G6PD mouse mAb (green) and negative control (red).

-
Flow cytometric analysis of C6 cells using G6PD mouse mAb (green) and negative control (red).

-
Flow cytometric analysis of NIH3T3 cells using G6PD mouse mAb (green) and negative control (red).

-
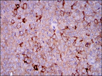
Immunohistochemical analysis of paraffin-embedded human ovarian cancer tissues using G6PD mouse mAb with DAB staining.

-
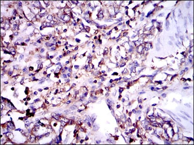
Immunohistochemical analysis of paraffin-embedded human stomach cancer tissues using G6PD mouse mAb with DAB staining.

-
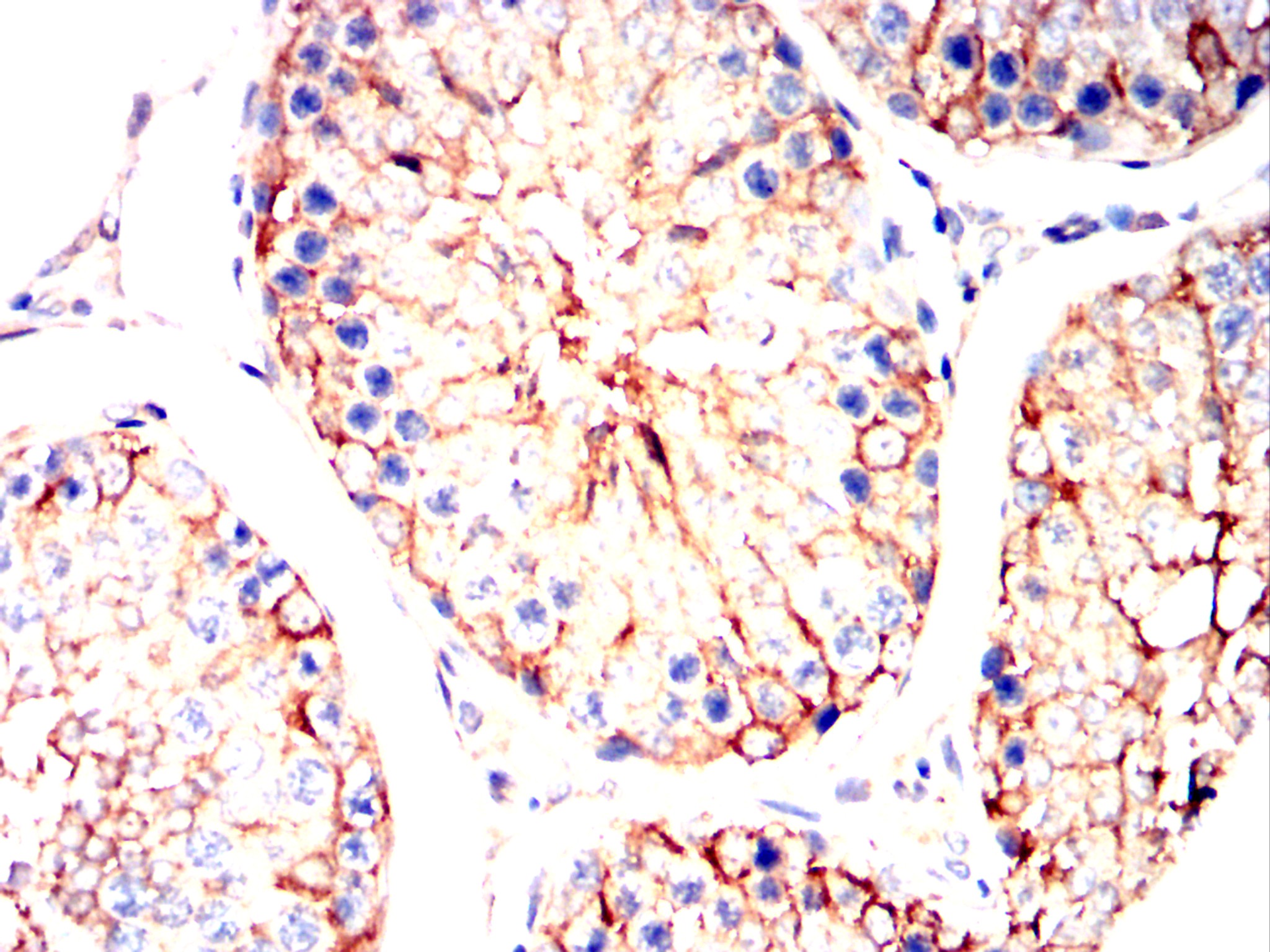
Immunohistochemical analysis of paraffin-embedded Rabbit testicles using G6PD mouse mAb with DAB staining.










鄂公网安备42018502007531号

