Mouse Monoclonal Antibody to MSH6
货号:
30299
别名:
GTBP; HSAP; HNPCC5
应用:
WB,IHC,IF,FCM
反应种属:
Human
抗体类型:
Primary antibody
Swissprot:
P52701
规格:
目录价
在线咨询
Description |
|---|
This gene encodes a protein similar to the MutS protein. In E. coli, the MutS protein helps in the recognition of mismatched nucleotides, prior to their repair. A highly conserved region of approximately 150 aa, called the Walker-A adenine nucleotide binding motif, exists in MutS homologs. The encoded protein of this gene combines with MSH2 to form a mismatch recognition complex that functions as a bidirectional molecular switch that exchanges ADP and ATP as DNA mismatches are bound and dissociated. Mutations in this gene have been identified in individuals with hereditary nonpolyposis colon cancer (HNPCC) and endometrial cancer. |
References |
|---|
| 1. Hered Cancer Clin Pract. 2009 Dec 23;7(1):17. 2. Cancer Epidemiol Biomarkers Prev. 2009 Sep;18(9):2460-7. |
Specification |
|
|---|---|
| Aliases | GTBP; HSAP; HNPCC5 |
| Entrez GeneID | 2956 |
| Swissprot | P52701 |
| clone | 3E1 |
| WB Predicted band size | 160kDa |
| Host/Isotype | Mouse IgG2a |
| Antibody Type | Primary antibody |
| Storage | Store at 4°C short term. Aliquot and store at -20°C long term. Avoid freeze/thaw cycles. |
| Species Reactivity | Human |
| Immunogen | Purified recombinant fragment of human MSH6 expressed in E. Coli. |
| Formulation | Purified antibody in PBS with 0.05% sodium azide. |
Application |
|
|---|---|
| WB | 1/500 - 1/2000 |
| IHC | 1/200 - 1/1000 |
| IF | 1/200 - 1/1000 |
| FCM | 1/200 - 1/400 |
| ELISA | 1/10000 |
Product Image
-
Black line: Control Antigen (100 ng); Purple line: Antigen(10ng); Blue line: Antigen (50 ng); Red line: Antigen (100 ng);

-
Western blot analysis using MSH6 mouse mAb against HEK293 (1), HCT116 (2), A549 (3), A431 (4), MCF-7 (5) and HepG2 (6) cell lysate.

-
Immunofluorescence analysis of Hela cells using MSH6 mouse mAb (green). Blue: DRAQ5 fluorescent DNA dye. Red: Actin filaments have been labeled with Alexa Fluor-555 phalloidin.

-
Flow cytometric analysis of MCF-7 cells using MSH6 mouse mAb (green) and negative control (red).

-
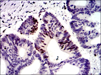
Immunohistochemical analysis of paraffin-embedded human colon cancer tissues using MSH6 mouse mAb with DAB staining.

-
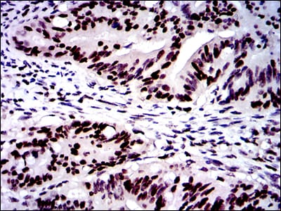
Immunohistochemical analysis of paraffin-embedded human rectum cancer tissues using MSH6 mouse mAb with DAB staining.







鄂公网安备42018502007531号

