Mouse Monoclonal Antibody to NEFL
货号:
30313
别名:
NFL; NF-L; NF68; CMT1F; CMT2E
应用:
WB,IHC,IF,FCM
反应种属:
Human
抗体类型:
Primary antibody
Swissprot:
P07196
规格:
目录价
在线咨询
Description |
|---|
Neurofilaments are type IV intermediate filament heteropolymers composed of light, medium, and heavy chains. Neurofilaments comprise the axoskeleton and they functionally maintain the neuronal caliber. They may also play a role in intracellular transport to axons and dendrites. This gene encodes the light chain neurofilament protein. Mutations in this gene cause Charcot-Marie-Tooth disease types 1F (CMT1F) and 2E (CMT2E), disorders of the peripheral nervous system that are characterized by distinct neuropathies. A pseudogene has been identified on chromosome Y. |
References |
|---|
| 1. BMB Rep. 2008 Dec 31;41(12):868-74. 2. J Hum Genet. 2009 Feb;54(2):94-7. |
Specification |
|
|---|---|
| Aliases | NFL; NF-L; NF68; CMT1F; CMT2E |
| Entrez GeneID | 4747 |
| Swissprot | P07196 |
| clone | 2G10 |
| WB Predicted band size | 62kDa |
| Host/Isotype | Mouse IgG1 |
| Antibody Type | Primary antibody |
| Storage | Store at 4°C short term. Aliquot and store at -20°C long term. Avoid freeze/thaw cycles. |
| Species Reactivity | Human |
| Immunogen | Purified recombinant fragment of human NEFL expressed in E. Coli. |
| Formulation | Purified antibody in PBS with 0.05% sodium azide |
Application |
|
|---|---|
| WB | 1/500 - 1/2000 |
| IHC | 1/200 - 1/1000 |
| IF | 1/200 - 1/1000 |
| FCM | 1/200 - 1/400 |
| ELISA | 1/10000 |
Product Image
-
Black line: Control Antigen (100 ng); Purple line: Antigen(10ng); Blue line: Antigen (50 ng); Red line: Antigen (100 ng);

-
Western blot analysis using NEFL mouse mAb against Hela (1) and Jurkat (2) cell lysate.

-
Immunofluorescence analysis of Hela cells using NEFL mouse mAb (green). Blue: DRAQ5 fluorescent DNA dye. Red: Actin filaments have been labeled with Alexa Fluor-555 phalloidin.

-
Flow cytometric analysis of Jurkat cells using NEFL mouse mAb (green) and negative control (red).

-
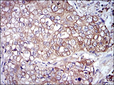
Immunohistochemical analysis of paraffin-embedded human lung cancer tissues using NEFL mouse mAb with DAB staining.

-
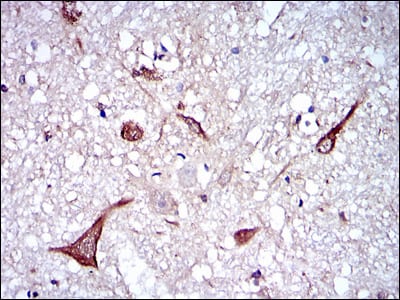
Immunohistochemical analysis of paraffin-embedded human brain tissues using NEFL mouse mAb with DAB staining.







鄂公网安备42018502007531号

