Mouse Monoclonal Antibody to BMI1
货号:
30285
别名:
PCGF4; RNF51; MGC12685; FLVI2/BMI1
应用:
IHC,IF,FCM
反应种属:
Human
抗体类型:
Primary antibody
Swissprot:
P35226
规格:
目录价
在线咨询
Description |
|---|
Component of the Polycomb group (PcG) multiprotein PRC1 complex, a complex required to maintain the transcriptionally repressive state of many genes, including Hox genes, throughout development. PcG PRC1 complex acts via chromatin remodeling and modification of histones; it mediates monoubiquitination of histone H2A 'Lys-119', rendering chromatin heritably changed in its expressibility. In the PRC1 complex, it is required to stimulate the E3 ubiquitin-protein ligase activity of RNF2/RING2. |
References |
|---|
| 1. Mol Cancer. 2009 Nov 10;8:98. 2. Cancer Res. 2009 Dec 1;69(23):9090-5. |
Specification |
|
|---|---|
| Aliases | PCGF4; RNF51; MGC12685; FLVI2/BMI1 |
| Entrez GeneID | 648 |
| Swissprot | P35226 |
| clone | 3E3 |
| WB Predicted band size | 37kDa |
| Host/Isotype | Mouse IgG1 |
| Antibody Type | Primary antibody |
| Storage | Store at 4°C short term. Aliquot and store at -20°C long term. Avoid freeze/thaw cycles. |
| Species Reactivity | Human |
| Immunogen | Purified recombinant fragment of human BMI1 expressed in E. Coli. |
| Formulation | Purified antibody in PBS with 0.05% sodium azide. |
Application |
|
|---|---|
| IHC | 1/200 - 1/1000 |
| IF | 1/200 - 1/1000 |
| FCM | 1/200 - 1/400 |
| ELISA | 1/10000 |
Product Image
-
Black line: Control Antigen (100 ng); Purple line: Antigen(10ng); Blue line: Antigen (50 ng); Red line: Antigen (100 ng);

-
Immunofluorescence analysis of Hela cells using BMI1 mouse mAb (green). Blue: DRAQ5 fluorescent DNA dye. Red: Actin filaments have been labeled with Alexa Fluor-555 phalloidin.

-
Flow cytometric analysis of NIH/3T3 cells using BMI1 mouse mAb (green) and negative control (red).

-
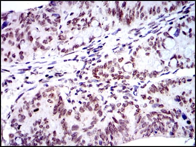
Immunohistochemical analysis of paraffin-embedded human cervical cancer tissues using BMI1 mouse mAb with DAB staining.

-
Immunohistochemical analysis of paraffin-embedded human rectum cancer tissues using BMI1 mouse mAb with DAB staining.






鄂公网安备42018502007531号

