Mouse Monoclonal Antibody to SRC
货号:
30290
别名:
ASV; SRC1; c-SRC; p60-Src
应用:
WB,IHC,FCM
反应种属:
Human
抗体类型:
Primary antibody
Swissprot:
P12931
规格:
目录价
在线咨询
Description |
|---|
This gene is highly similar to the v-src gene of Rous sarcoma virus. This proto-oncogene may play a role in the regulation of embryonic development and cell growth. The protein encoded by this gene is a tyrosine-protein kinase whose activity can be inhibited by phosphorylation by c-SRC kinase. Mutations in this gene could be involved in the malignant progression of colon cancer. Two transcript variants encoding the same protein have been found for this gene. |
References |
|---|
| 1. Clin Cancer Res. 2009 Nov 15;15(22):6852-61. 2. Cell. 2009 Nov 13;139(4):693-706. |
Specification |
|
|---|---|
| Aliases | ASV; SRC1; c-SRC; p60-Src |
| Entrez GeneID | 6714 |
| Swissprot | P12931 |
| clone | 1F11 |
| WB Predicted band size | 60kDa |
| Host/Isotype | Mouse IgG1 |
| Antibody Type | Primary antibody |
| Storage | Store at 4°C short term. Aliquot and store at -20°C long term. Avoid freeze/thaw cycles. |
| Species Reactivity | Human |
| Immunogen | Purified recombinant fragment of human SRC expressed in E. Coli. |
| Formulation | Purified antibody in PBS with 0.05% sodium azide. |
Application |
|
|---|---|
| WB | 1/500 - 1/2000 |
| IHC | 1/200 - 1/1000 |
| FCM | 1/200 - 1/400 |
| ELISA | 1/10000 |
Product Image
-
Black line: Control Antigen (100 ng); Purple line: Antigen(10ng); Blue line: Antigen (50 ng); Red line: Antigen (100 ng);

-
Western blot analysis using SRC mouse mAb against MCF-7 (1), A431 (2), Hela (3), HEK293 (4), NIH/3T3 (5), PC-12 (6) and Cos7 (7) cell lysate.

-
Flow cytometric analysis of MCF-7 cells using SRC mouse mAb (green) and negative control (red).

-
Immunohistochemical analysis of paraffin-embedded human bladder cancer tissues using SRC mouse mAb with DAB staining.

-
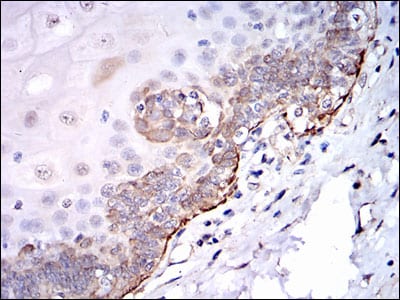
Immunohistochemical analysis of paraffin-embedded human esophageal tissues using SRC mouse mAb with DAB staining.






鄂公网安备42018502007531号

