Mouse Monoclonal Antibody to KRT19
货号:
30249
别名:
K19; CK19; K1CS; MGC15366
应用:
WB,IHC,IF
反应种属:
Human
抗体类型:
Primary antibody
Swissprot:
P08727
规格:
目录价
在线咨询
Description |
|---|
The protein encoded by this gene is a member of the keratin family. The keratins are intermediate filament proteins responsible for the structural integrity of epithelial cells and are subdivided into cytokeratins and hair keratins. The type I cytokeratins consist of acidic proteins which are arranged in pairs of heterotypic keratin chains. Unlike its related family members, this smallest known acidic cytokeratin is not paired with a basic cytokeratin in epithelial cells. It is specifically expressed in the periderm, the transiently superficial layer that envelopes the developing epidermis. The type I cytokeratins are clustered in a region of chromosome 17q12-q21. |
References |
|---|
| 1. Exp Cell Res. 2009 Jul 1;315(11):1964-74. 2. Acta Cytol. 2008 Sep-Oct;52(5):541-8. |
Specification |
|
|---|---|
| Aliases | K19; CK19; K1CS; MGC15366 |
| Entrez GeneID | 3880 |
| Swissprot | P08727 |
| clone | 4E8 |
| WB Predicted band size | 41kDa |
| Host/Isotype | Mouse IgG1 |
| Antibody Type | Primary antibody |
| Storage | Store at 4°C short term. Aliquot and store at -20°C long term. Avoid freeze/thaw cycles. |
| Species Reactivity | Human |
| Immunogen | Purified recombinant fragment of human KRT19 expressed in E. Coli. |
| Formulation | Ascitic fluid containing 0.03% sodium azide. |
Application |
|
|---|---|
| WB | 1/500 - 1/2000 |
| IHC | 1/200 - 1/1000 |
| IF | 1/200 - 1/1000 |
| ELISA | 1/10000 |
Product Image
-
Red: Control Antigen (100ng); Purple: Antigen (10ng); Green: Antigen (50ng); Blue: Antigen (100ng);

-
Western blot analysis using KRT19 mouse mAb against T47D (1), MCF-7 (2), HepG2 (3) and SW620 (4) cell lysate.

-
Immunofluorescence analysis of HepG2 cells using KRT19 mouse mAb (green). Blue: DRAQ5 fluorescent DNA dye. Red: Actin filaments have been labeled with Alexa Fluor-555 phalloidin.

-
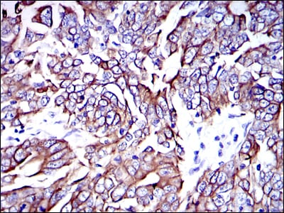
Immunohistochemical analysis of paraffin-embedded human cervical cancer tissues using KRT19 mouse mAb with DAB staining.

-
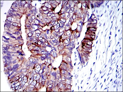
Immunohistochemical analysis of paraffin-embedded human colon cancer tissues using KRT19 mouse mAb with DAB staining.

-
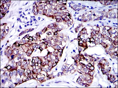
Immunohistochemical analysis of paraffin-embedded human stomach cancer tissues using KRT19 mouse mAb with DAB staining.

-
Immunohistochemical analysis of paraffin-embedded human bladder cancer tissues using KRT19 mouse mAb with DAB staining.








鄂公网安备42018502007531号

