Mouse Monoclonal Antibody to JUP
货号:
30270
别名:
DP3; PDGB; PKGB; CTNNG; DPIII; ARVD12
应用:
WB,IHC,IF
反应种属:
Human
抗体类型:
Primary antibody
Swissprot:
P14923
规格:
目录价
在线咨询
Description |
|---|
This gene encodes a major cytoplasmic protein which is the only known constituent common to submembranous plaques of both desmosomes and intermediate junctions. This protein forms distinct complexes with cadherins and desmosomal cadherins and is a member of the catenin family since it contains a distinct repeating amino acid motif called the armadillo repeat. Mutation in this gene has been associated with Naxos disease. Alternative splicing occurs in this gene; however, not all transcripts have been fully described. |
References |
|---|
| 1. Cell. 2009 Jul 23;138(2):389-403. 2. Cancer Res. 2009 Jul 15;69(14):5734-42. |
Specification |
|
|---|---|
| Aliases | DP3; PDGB; PKGB; CTNNG; DPIII; ARVD12 |
| Entrez GeneID | 3728 |
| Swissprot | P14923 |
| clone | 4C12 |
| WB Predicted band size | 82kDa |
| Host/Isotype | Mouse IgG1 |
| Antibody Type | Primary antibody |
| Storage | Store at 4°C short term. Aliquot and store at -20°C long term. Avoid freeze/thaw cycles. |
| Species Reactivity | Human |
| Immunogen | Purified recombinant fragment of human JUP expressed in E. Coli. |
| Formulation | Purified antibody in PBS with 0.05% sodium azide. |
Application |
|
|---|---|
| WB | 1/500 - 1/2000 |
| IHC | 1/200 - 1/1000 |
| IF | 1/200 - 1/1000 |
| ELISA | 1/10000 |
Product Image
-
Red: Control Antigen (100ng); Purple: Antigen (10ng); Green: Antigen (50ng); Blue: Antigen (100ng);

-
Western blot analysis using JUP mouse mAb against T47D (1), MCF-7 (2), SKBR-3 (3), A431 (4) and HEK293 (5) cell lysate.

-
Immunofluorescence analysis of U251 cells using JUP mouse mAb (green). Blue: DRAQ5 fluorescent DNA dye.

-
Immunohistochemical analysis of paraffin-embedded human rectum tissues using JUP mouse mAb with DAB staining.

-
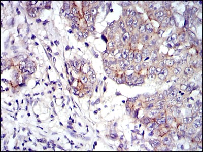
Immunohistochemical analysis of paraffin-embedded human stomach cancer tissues using JUP mouse mAb with DAB staining.






鄂公网安备42018502007531号

