Mouse Monoclonal Antibody to FGG
货号:
30271
别名:
FGG
应用:
IHC,IF,FCM
反应种属:
Human
抗体类型:
Primary antibody
Swissprot:
P02679
规格:
目录价
在线咨询
Description |
|---|
The protein encoded by this gene is the gamma component of fibrinogen, a blood-borne glycoprotein comprised of three pairs of nonidentical polypeptide chains. Following vascular injury, fibrinogen is cleaved by thrombin to form fibrin which is the most abundant component of blood clots. In addition, various cleavage products of fibrinogen and fibrin regulate cell adhesion and spreading, display vasoconstrictor and chemotactic activities, and are mitogens for several cell types. Mutations in this gene lead to several disorders, including dysfibrinogenemia, hypofibrinogenemia and thrombophilia. Alternative splicing results in two transcript variants encoding different isoforms. |
References |
|---|
| 1. Biochemistry. 2009 Sep 15;48(36):8656-63. 2. Blood. 2009 Nov 5;114(19):3994-4001. |
Specification |
|
|---|---|
| Aliases | FGG |
| Entrez GeneID | 2266 |
| Swissprot | P02679 |
| clone | 4H9 |
| WB Predicted band size | 52kDa |
| Host/Isotype | Mouse IgG2a |
| Antibody Type | Primary antibody |
| Storage | Store at 4°C short term. Aliquot and store at -20°C long term. Avoid freeze/thaw cycles. |
| Species Reactivity | Human |
| Immunogen | Purified recombinant fragment of human FGG expressed in E. Coli. |
| Formulation | Purified antibody in PBS with 0.05% sodium azide. |
Application |
|
|---|---|
| IHC | 1/200 - 1/1000 |
| IF | 1/200 - 1/1000 |
| FCM | 1/200 - 1/400 |
| ELISA | 1/10000 |
Product Image
-
Red: Control Antigen (100ng); Purple: Antigen (10ng); Green: Antigen (50ng); Blue: Antigen (100ng);

-
Immunofluorescence analysis of 3T3-L1 cells using FGG mouse mAb (green). Blue: DRAQ5 fluorescent DNA dye. Red: Actin filaments have been labeled with Alexa Fluor-555 phalloidin.

-
Flow cytometric analysis of HepG2 cells using FGG mouse mAb (blue) and negative control (red).

-
Immunohistochemical analysis of paraffin-embedded human cerebellum tissues using FGG mouse mAb with DAB staining.

-
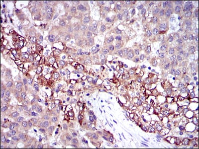
Immunohistochemical analysis of paraffin-embedded human liver cancer tissues using FGG mouse mAb with DAB staining.






鄂公网安备42018502007531号

