Mouse Monoclonal Antibody to PSMB8
货号:
30255
别名:
JMP; LMP7; D6S216; PSMB5i; RING10; D6S216E; MGC1491
应用:
WB,IHC,IF
反应种属:
Human,Rat
抗体类型:
Primary antibody
Swissprot:
P28062
规格:
目录价
在线咨询
Description |
|---|
The proteasome is a multicatalytic proteinase complex with a highly ordered ring-shaped 20S core structure. The core structure is composed of 4 rings of 28 non-identical subunits; 2 rings are composed of 7 alpha subunits and 2 rings are composed of 7 beta subunits. Proteasomes are distributed throughout eukaryotic cells at a high concentration and cleave peptides in an ATP/ubiquitin-dependent process in a non-lysosomal pathway. An essential function of a modified proteasome, the immunoproteasome, is the processing of class I MHC peptides. This gene encodes a member of the proteasome B-type family, also known as the T1B family, that is a 20S core beta subunit. This gene is located in the class II region of the MHC (major histocompatibility complex). Expression of this gene is induced by gamma interferon and this gene product replaces catalytic subunit 3 (proteasome beta 5 subunit) in the immunoproteasome. Proteolytic processing is required to generate a mature subunit. Two alternative transcripts encoding two isoforms have been identified; both isoforms are processed to yield the same mature subunit. |
References |
|---|
| 1. Genes Chromosomes Cancer. 2009 May;48(5):410-8. 2. Respir Med. 2010 Jun;104(6):889-94. Epub 2010 Feb 11. |
Specification |
|
|---|---|
| Aliases | JMP; LMP7; D6S216; PSMB5i; RING10; D6S216E; MGC1491 |
| Entrez GeneID | 5696 |
| Swissprot | P28062 |
| clone | 1A5 |
| WB Predicted band size | 30kDa |
| Host/Isotype | Mouse IgG1 |
| Antibody Type | Primary antibody |
| Storage | Store at 4°C short term. Aliquot and store at -20°C long term. Avoid freeze/thaw cycles. |
| Species Reactivity | Human,Rat |
| Immunogen | Purified recombinant fragment of human PSMB8 expressed in E. Coli. |
| Formulation | Ascitic fluid containing 0.03% sodium azide. |
Application |
|
|---|---|
| WB | 1/500 - 1/2000 |
| IHC | 1/200 - 1/1000 |
| IF | 1/200 - 1/1000 |
| ELISA | 1/10000 |
Product Image
-
Red: Control Antigen (100ng); Purple: Antigen (10ng); Green: Antigen (50ng); Blue: Antigen (100ng);

-
Western blot analysis using PSMB8 mouse mAb against Hela (1), MCF-7 (2), A431 (3), RAJI (4), MOTL4 (5) and PC-12 (6) cell lysate.

-
Immunofluorescence analysis of Hela cells using PSMB8 mouse mAb (green). Blue: DRAQ5 fluorescent DNA dye. Red: Actin filaments have been labeled with Alexa Fluor-555 phalloidin.

-
Immunohistochemical analysis of paraffin-embedded human intima cancer tissues using PSMB8 mouse mAb with DAB staining.

-
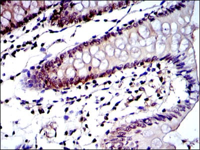
Immunohistochemical analysis of paraffin-embedded human colon tissues using PSMB8 mouse mAb with DAB staining.






鄂公网安备42018502007531号

