Mouse Monoclonal Antibody to XRCC5
货号:
30237
别名:
KU80; KUB2; Ku86; NFIV; KARP1; KARP-1; FLJ39089
应用:
WB,IHC,IF,FCM
反应种属:
Human,Mouse
抗体类型:
Primary antibody
Swissprot:
P13010
规格:
目录价
在线咨询
Description |
|---|
The protein encoded by this gene is the 80-kilodalton subunit of the Ku heterodimer protein which is also known as ATP-dependant DNA helicase II or DNA repair protein XRCC5. Ku is the DNA-binding component of the DNA-dependent protein kinase, and it functions together with the DNA ligase IV-XRCC4 complex in the repair of DNA double-strand break by non-homologous end joining and the completion of V(D)J recombination events. This gene functionally complements Chinese hamster xrs-6, a mutant defective in DNA double-strand break repair and in ability to undergo V(D)J recombination. A rare microsatellite polymorphism in this gene is associated with cancer in patients of varying radiosensitivity. |
References |
|---|
| 1. Breast Cancer Res. 2009;11(6):R83. 2. Biochem Biophys Res Commun. 2009 Dec 18;390(3):738-42. |
Specification |
|
|---|---|
| Aliases | KU80; KUB2; Ku86; NFIV; KARP1; KARP-1; FLJ39089 |
| Entrez GeneID | 7520 |
| Swissprot | P13010 |
| clone | 5C5 |
| WB Predicted band size | 86kDa |
| Host/Isotype | Mouse IgG1 |
| Antibody Type | Primary antibody |
| Storage | Store at 4°C short term. Aliquot and store at -20°C long term. Avoid freeze/thaw cycles. |
| Species Reactivity | Human,Mouse |
| Immunogen | Purified recombinant fragment of human XRCC5 expressed in E. Coli. |
| Formulation | Purified antibody in PBS with 0.05% sodium azide. |
Application |
|
|---|---|
| WB | 1/500 - 1/2000 |
| IHC | 1/200 - 1/1000 |
| IF | 1/200 - 1/1000 |
| FCM | 1/200 - 1/400 |
| ELISA | 1/10000 |
Product Image
-
Red: Control Antigen (100ng); Purple: Antigen (10ng); Green: Antigen (50ng); Blue: Antigen (100ng);

-
Western blot analysis using XRCC5 mouse mAb against Hela (1), MCF-7 (2), A549 (3) and NIH/3T3 (4) cell lysate.

-
Immunofluorescence analysis of Hela cells using XRCC5 mouse mAb (green). Red: Actin filaments have been labeled with Alexa Fluor-555 phalloidin.

-
Flow cytometric analysis of Hela cells using XRCC5 mouse mAb (green) and negative control (purple).

-
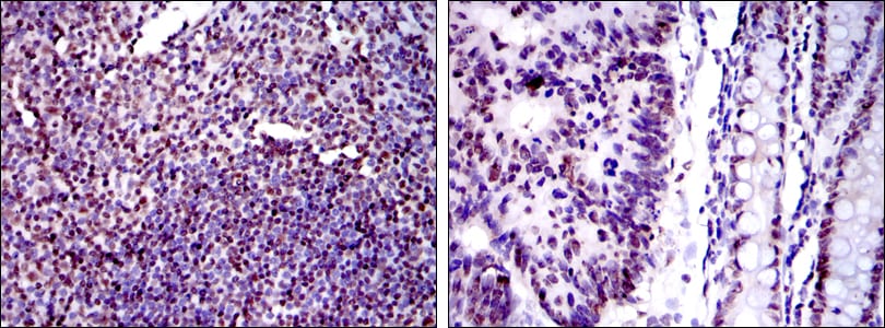
Immunohistochemical analysis of paraffin-embedded human tonsil tissues (left) and human colon cancer tissues (right) using XRCC5 mouse mAb with DAB staining.






鄂公网安备42018502007531号

