Mouse Monoclonal Antibody to NFKB1
货号:
30234
别名:
p50; KBF1; p105; EBP-1; MGC54151; NFKB-p50; NFkappaB; NF-kappaB; NFKB-p105; NF-kappa-B
应用:
WB,IHC,IF,FCM
反应种属:
Human
抗体类型:
Primary antibody
Swissprot:
P19838
规格:
目录价
在线咨询
Description |
|---|
This gene encodes a 105 kD protein which can undergo cotranslational processing by the 26S proteasome to produce a 50 kD protein. The 105 kD protein is a Rel protein-specific transcription inhibitor and the 50 kD protein is a DNA binding subunit of the NF-kappa-B (NFKB) protein complex. NFKB is a transcription regulator that is activated by various intra- and extra-cellular stimuli such as cytokines, oxidant-free radicals, ultraviolet irradiation, and bacterial or viral products. Activated NFKB translocates into the nucleus and stimulates the expression of genes involved in a wide variety of biological functions. Inappropriate activation of NFKB has been associated with a number of inflammatory diseases while persistent inhibition of NFKB leads to inappropriate immune cell development or delayed cell growth. Two transcript variants encoding different isoforms have been found for this gene. |
References |
|---|
| 1. Cytokine. 2010 Feb;49(2):215-20. 2. Chemotherapy. 2009;55(5):381-5. |
Specification |
|
|---|---|
| Aliases | p50; KBF1; p105; EBP-1; MGC54151; NFKB-p50; NFkappaB; NF-kappaB; NFKB-p105; NF-kappa-B |
| Entrez GeneID | 4790 |
| Swissprot | P19838 |
| clone | 5D10D11 |
| WB Predicted band size | 50kDa/105kDa |
| Host/Isotype | Mouse IgG2a |
| Antibody Type | Primary antibody |
| Storage | Store at 4°C short term. Aliquot and store at -20°C long term. Avoid freeze/thaw cycles. |
| Species Reactivity | Human |
| Immunogen | Purified recombinant fragment of human NFKB1 expressed in E. Coli. |
| Formulation | Purified antibody in PBS with 0.05% sodium azide. |
Application |
|
|---|---|
| WB | 1/500 - 1/2000 |
| IHC | 1/200 - 1/1000 |
| IF | 1/200 - 1/1000 |
| FCM | 1/200 - 1/400 |
| ELISA | 1/10000 |
Product Image
-
Red: Control Antigen (100ng); Purple: Antigen (10ng); Green: Antigen (50ng); Blue: Antigen (100ng);

-
Western blot analysis using NFKB1 mouse mAb against K562 (1), Jurkat (2), A431 (3), Hela (4), THP-1 (5) and MCF-7 (6) cell lysate.

-
Immunofluorescence analysis of U251 cells using NFKB1 mouse mAb (green). Blue: DRAQ5 fluorescent DNA dye. Red: Actin filaments have been labeled with Alexa Fluor-555 phalloidin.

-
Flow cytometric analysis of MCF-7 cells using NFKB1 mouse mAb (green) and negative control (purple).

-
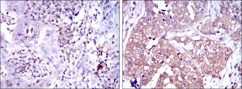
Immunohistochemical analysis of paraffin-embedded human intima cancer tissues (left) and human bladder cancer tissues (right) using NFKB1 mouse mAb with DAB staining.






鄂公网安备42018502007531号

