Mouse Monoclonal Antibody to CDK9
货号:
30211
别名:
TAK; C-2k; CTK1; CDC2L4; PITALRE
应用:
IHC
反应种属:
Human,Mouse,Rat,Rabbit,Monkey
抗体类型:
Primary antibody
Swissprot:
P50750
规格:
目录价
在线咨询
Description |
|---|
The protein encoded by this gene is a member of the cyclin-dependent protein kinase (CDK) family. CDK family members are highly similar to the gene products of S. cerevisiae cdc28, and S. pombe cdc2, and known as important cell cycle regulators. This kinase was found to be a component of the multiprotein complex TAK/P-TEFb, which is an elongation factor for RNA polymerase II-directed transcription and functions by phosphorylating the C-terminal domain of the largest subunit of RNA polymerase II. This protein forms a complex with and is regulated by its regulatory subunit cyclin T or cyclin K. HIV-1 Tat protein was found to interact with this protein and cyclin T, which suggested a possible involvement of this protein in AIDS. (provided by RefSeq)Tissue specificity: Ubiquitous. |
References |
|---|
| 1. J Biol Chem. 2008 Mar 21;283(12):7368-78. 2. Mol Cell Biol. 2008 Apr;28(7):2201-12. |
Specification |
|
|---|---|
| Aliases | TAK; C-2k; CTK1; CDC2L4; PITALRE |
| Entrez GeneID | 1025 |
| Swissprot | P50750 |
| clone | 1B5A7 |
| WB Predicted band size | 43kDa |
| Host/Isotype | Mouse IgG1 |
| Antibody Type | Primary antibody |
| Storage | Store at 4°C short term. Aliquot and store at -20°C long term. Avoid freeze/thaw cycles. |
| Species Reactivity | Human,Mouse,Rat,Rabbit,Monkey |
| Immunogen | Purified recombinant fragment of human CDK9 expressed in E. Coli. |
| Formulation | Ascitic fluid containing 0.03% sodium azide. |
Application |
|
|---|---|
| IHC | 1/200 - 1/1000 |
| ELISA | 1/10000 |
Product Image
-
Red: Control Antigen (100ng); Purple: Antigen (10ng); Green: Antigen (50ng); Blue: Antigen (100ng);

-
Immunohistochemical analysis of paraffin-embedded human rectum cancer tissues (left) and placenta tissues (right) using CDK9 mouse mAb with DAB staining.

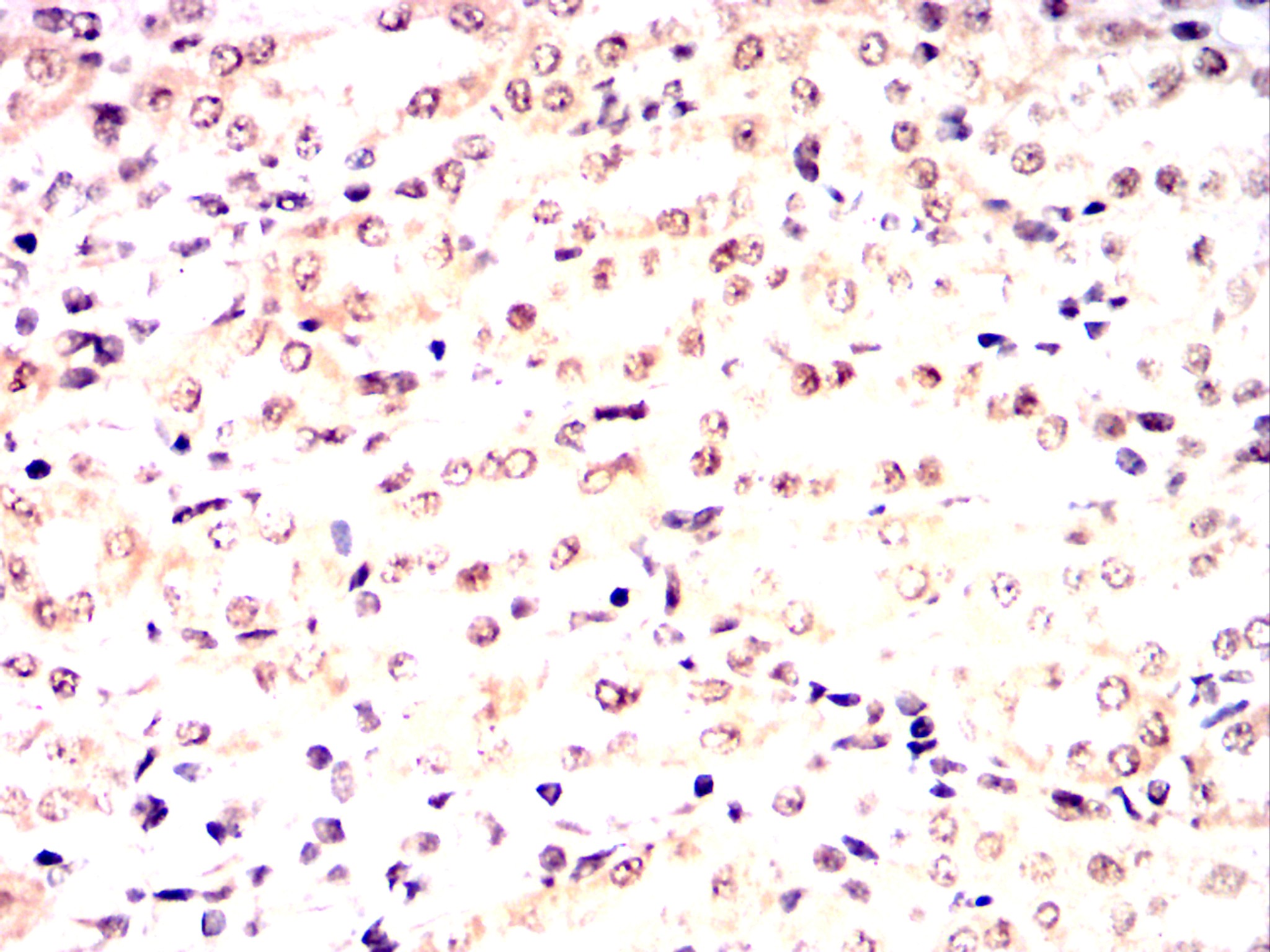
-
Immunohistochemical analysis of paraffin-embedded human brain tissues (left) and esophageal cancer tissues (right) using CDK9 mouse mAb with DAB staining.

-
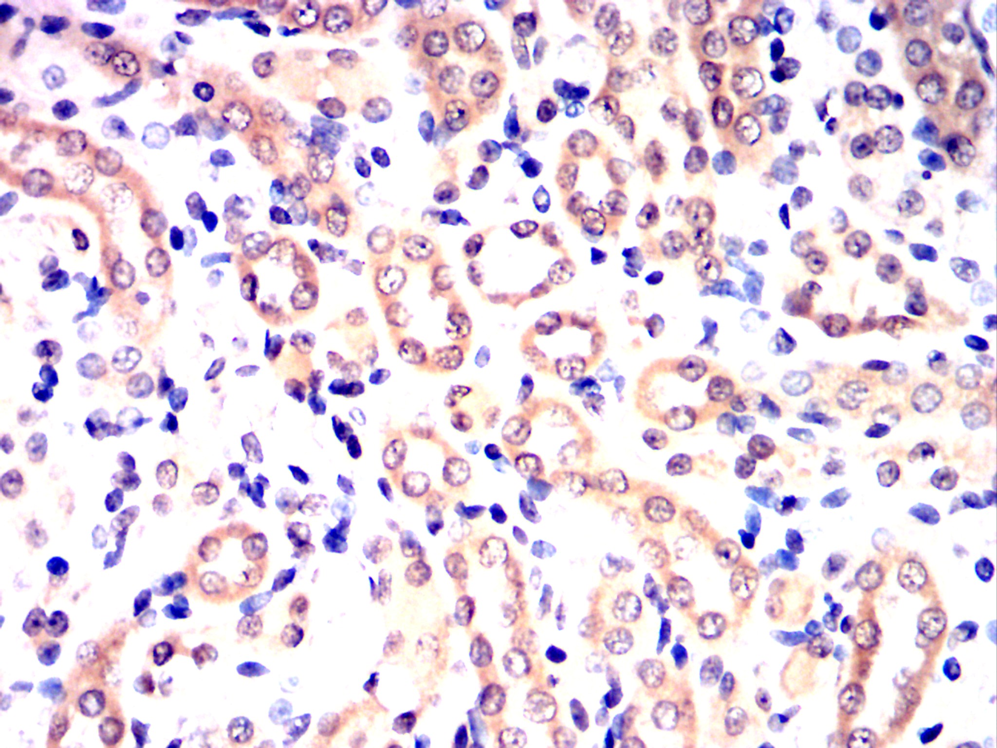
Immunohistochemical analysis of paraffin-embedded Mouse kidney using CDK9 mouse mAb with DAB staining.

-
Immunohistochemical analysis of paraffin-embedded Rat kidney using CDK9 mouse mAb with DAB staining.

-
Immunohistochemical analysis of paraffin-embedded Rabbit kidney using CDK9 mouse mAb with DAB staining.

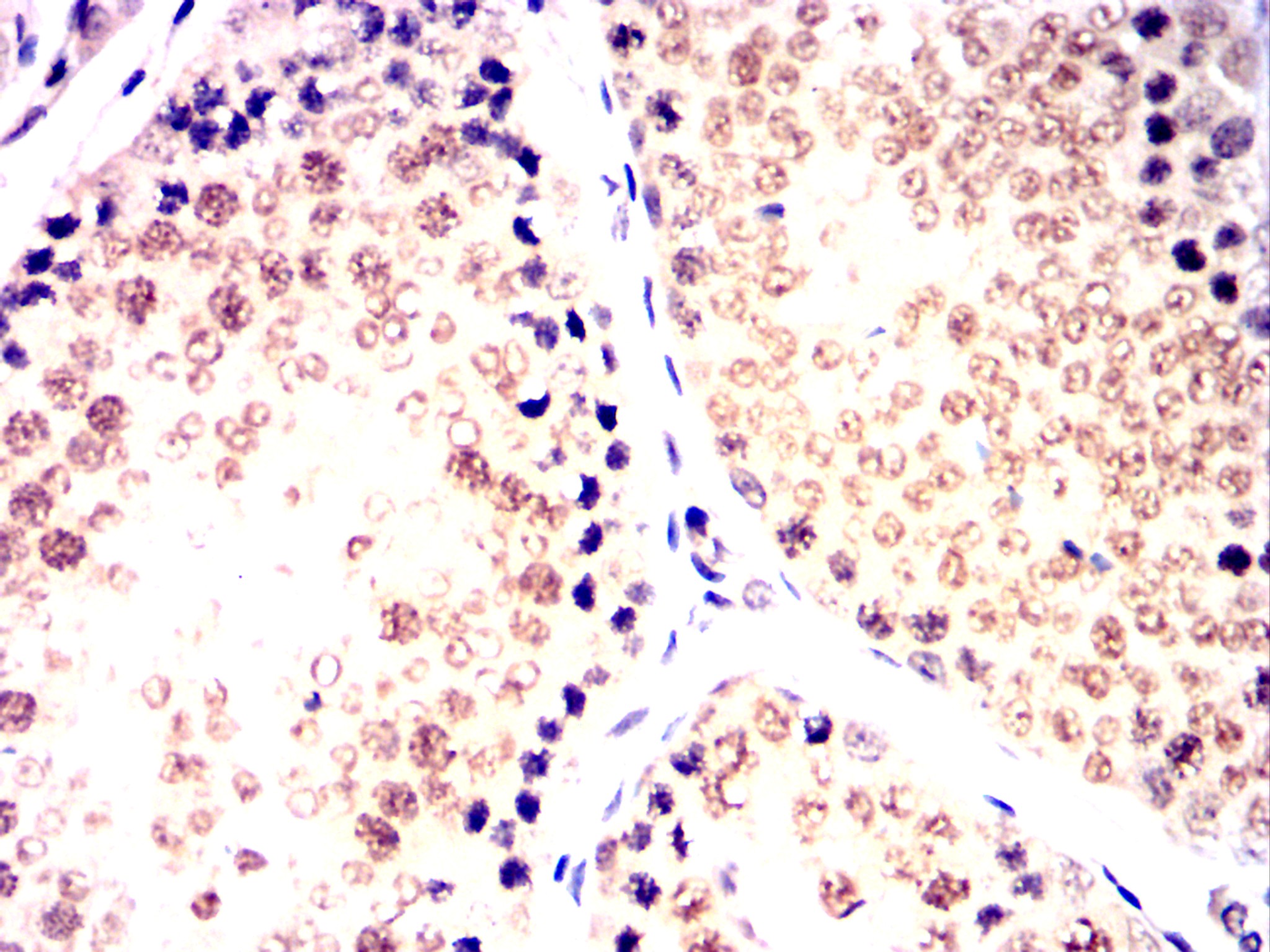
-
Immunohistochemical analysis of paraffin-embedded Rabbit testis using CDK9 mouse mAb with DAB staining.








鄂公网安备42018502007531号

