Mouse Monoclonal Antibody to HSP90AB1
货号:
30227
别名:
HSPC2; HSPCB; D6S182; HSP90B; FLJ26984; HSP90-BETA
应用:
WB,IHC,IF,FCM
反应种属:
Human,Mouse,Rat,Monkey
抗体类型:
Primary antibody
Swissprot:
P08238
规格:
目录价
在线咨询
Description |
|---|
HSP90 proteins are highly conserved molecular chaperones that have key roles in signal transduction, protein folding, protein degradation, and morphologic evolution. HSP90 proteins normally associate with other cochaperones and play important roles in folding newly synthesized proteins or stabilizing and refolding denatured proteins after stress. There are 2 major cytosolic HSP90 proteins, HSP90AA1 (MIM 140571), an inducible form, and HSP90AB1, a constitutive form. |
References |
|---|
| 1. J Biol Chem. 2009 Dec 18;284(51):35381-9. 2. Int J Biol Macromol. 2009 Oct 1;45(3):310-4. |
Specification |
|
|---|---|
| Aliases | HSPC2; HSPCB; D6S182; HSP90B; FLJ26984; HSP90-BETA |
| Entrez GeneID | 3326 |
| Swissprot | P08238 |
| clone | 5G4 |
| WB Predicted band size | 84kDa |
| Host/Isotype | Mouse IgG1 |
| Antibody Type | Primary antibody |
| Storage | Store at 4°C short term. Aliquot and store at -20°C long term. Avoid freeze/thaw cycles. |
| Species Reactivity | Human,Mouse,Rat,Monkey |
| Immunogen | Purified recombinant fragment of human HSP90AB1 expressed in E. Coli. |
| Formulation | Purified antibody in PBS with 0.05% sodium azide. |
Application |
|
|---|---|
| WB | 1/500 - 1/2000 |
| IHC | 1/200 - 1/1000 |
| IF | 1/200 - 1/1000 |
| FCM | 1/200 - 1/400 |
| ELISA | 1/10000 |
Product Image
-
Red: Control Antigen (100ng); Purple: Antigen (10ng); Green: Antigen (50ng); Blue: Antigen (100ng);

-
Western blot analysis using HSP90AB1 mouse mAb against Jurkat (1), A431 (2), Hela (3), A549 (4), HEK293 (5), K562 (6), NIH/3T3 (7), PC-12 (8) and Cos7 (9) cell lysate.

-
Immunofluorescence analysis of Hela cells using HSP90AB1 mouse mAb (green). Blue: DRAQ5 fluorescent DNA dye. Red: Actin filaments have been labeled with Alexa Fluor-555 phalloidin.

-
Flow cytometric analysis of Hela cells using HSP90AB1 mouse mAb (green) and negative control (purple).

-
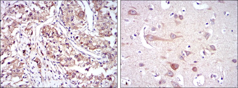
Immunohistochemical analysis of paraffin-embedded human kidney cancer tissues (left) and brain tissues (right) using HSP90AB1 mouse mAb with DAB staining.






鄂公网安备42018502007531号

