Mouse Monoclonal Antibody to HSP27
货号:
30213
别名:
CMT2F; HMN2B; HSP27; HSP28; Hsp25; SRP27; HS.76067; DKFZp586P1322; HSPB1
应用:
WB,IHC,IF,FCM
反应种属:
Human,Rat
抗体类型:
Primary antibody
Swissprot:
P04792
规格:
目录价
在线咨询
Description |
|---|
The protein encoded by this gene is induced by environmental stress and developmental changes. The encoded protein is involved in stress resistance and actin organization and translocates from the cytoplasm to the nucleus upon stress induction. Defects in this gene are a cause of Charcot-Marie-Tooth disease type 2F (CMT2F) and distal hereditary motor neuropathy (dHMN). (provided by RefSeq) Tissue specificity: Detected in all tissues tested: skeletal muscle, heart, aorta, large intestine, small intestine, stomach, esophagus, bladder, adrenal gland, thyroid, pancreas, testis, adipose tissue, kidney, liver, spleen, cerebral cortex, blood serum and cerebrospinal fluid. Highest levels are found in the heart and in tissues composed of striated and smooth muscle. |
References |
|---|
| 1. Clin Cancer Res. 2008 Dec 15;14(24):8279-87. 2. Cell Signal. 2009 Jan;21(1):143-50. |
Specification |
|
|---|---|
| Aliases | CMT2F; HMN2B; HSP27; HSP28; Hsp25; SRP27; HS.76067; DKFZp586P1322; HSPB1 |
| Entrez GeneID | 3315 |
| Swissprot | P04792 |
| clone | 5D7 |
| WB Predicted band size | 27kDa |
| Host/Isotype | Mouse IgG1 |
| Antibody Type | Primary antibody |
| Storage | Store at 4°C short term. Aliquot and store at -20°C long term. Avoid freeze/thaw cycles. |
| Species Reactivity | Human,Rat |
| Immunogen | Purified recombinant fragment of human HSP27 expressed in E. Coli. |
| Formulation | Purified antibody in PBS with 0.05% sodium azide. |
Application |
|
|---|---|
| WB | 1/500 - 1/2000 |
| IHC | 1/200 - 1/1000 |
| IF | 1/200 - 1/1000 |
| FCM | 1/200 - 1/400 |
| ELISA | 1/10000 |
Product Image
-
Red: Control Antigen (100ng); Purple: Antigen (10ng); Green: Antigen (50ng); Blue: Antigen (100ng);

-
Western blot analysis using HSP27 mouse mAb against Hela (1), A549 (2), Jurkat (3), A431 (4), HEK293(5), HepG2 (6) and PC-12 (7) cell lysate.

-
Immunofluorescence analysis of Hela cells using HSP27 mouse mAb (green). Blue: DRAQ5 fluorescent DNA dye. Red: Actin filaments have been labeled with Alexa Fluor-555 phalloidin.

-
Flow cytometric analysis of HepG2 cells using HSP27 mouse mAb (green) and negative control (purple).

-
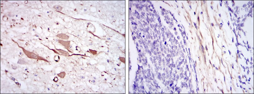
Immunohistochemical analysis of paraffin-embedded human brain tissues (left) and esophageal cancer tissues (right) using HSP27 mouse mAb with DAB staining.

-
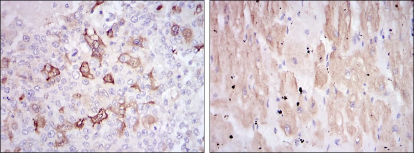
Immunohistochemical analysis of paraffin-embedded human breast cancer tissues (left) and cardiac muscle tissues (right) using HSP27 mouse mAb with DAB staining.







鄂公网安备42018502007531号

