Mouse Monoclonal Antibody to ABCG2
货号:
30216
别名:
MRX; MXR; ABCP; BCRP; BMDP; MXR1; ABC15; BCRP1; CD338; CDw338; EST157481; MGC102821
应用:
WB,IHC,IF,FCM
反应种属:
Human,Mouse,Rat,Rabbit,Monkey
抗体类型:
Primary antibody
Swissprot:
Q9UNQ0
规格:
目录价
在线咨询
Description |
|---|
The membrane-associated protein encoded by this gene is included in the superfamily of ATP-binding cassette (ABC) transporters. ABC proteins transport various molecules across extra- and intra-cellular membranes. ABC genes are divided into seven distinct subfamilies (ABC1, MDR/TAP, MRP, ALD, OABP, GCN20, White). This protein is a member of the White subfamily. Alternatively referred to as a breast cancer resistance protein, this protein functions as a xenobiotic transporter which may play a major role in multi-drug resistance. It likely serves as a cellular defense mechanism in response to mitoxantrone and anthracycline exposure. Significant expression of this protein has been observed in the placenta, which may suggest a potential role for this molecule in placenta tissue.Tissue specificity: Highly expressed in placenta. Low expression in small intestine, liver and colon. |
References |
|---|
| 1. Carcinogenesis. 2008 Dec;29(12):2289-97. 2. Pharm Res. 2009 Feb;26(2):449-58. |
Specification |
|
|---|---|
| Aliases | MRX; MXR; ABCP; BCRP; BMDP; MXR1; ABC15; BCRP1; CD338; CDw338; EST157481; MGC102821 |
| Entrez GeneID | 9429 |
| Swissprot | Q9UNQ0 |
| clone | 3G8 |
| WB Predicted band size | 72kDa |
| Host/Isotype | Mouse IgG1 |
| Antibody Type | Primary antibody |
| Storage | Store at 4°C short term. Aliquot and store at -20°C long term. Avoid freeze/thaw cycles. |
| Species Reactivity | Human,Mouse,Rat,Rabbit,Monkey |
| Immunogen | Purified recombinant fragment of human ABCG2 expressed in E. Coli. |
| Formulation | Purified antibody in PBS with 0.05% sodium azide. |
Application |
|
|---|---|
| WB | 1/500 - 1/2000 |
| IHC | 1/100 - 1/500 |
| IF | 1/50 - 1/500 |
| FCM | 1/200 - 1/400 |
| ELISA | 1/10000 |
Product Image
-
Red: Control Antigen (100ng); Purple: Antigen (10ng); Green: Antigen (50ng); Blue: Antigen (100ng);

-
Western blot analysis using ABCG2 mouse mAb against NIH/3T3 (1) and Cos7 (2) cell lysate.

-
Immunofluorescence analysis of Hela cells using ABCG2 mouse mAb (green). Blue: DRAQ5 fluorescent DNA dye. Red: Actin filaments have been labeled with Alexa Fluor-555 phalloidin.

-
Flow cytometric analysis of HepG2 cells using ABCG2 mouse mAb (green) and negative control (purple).

-
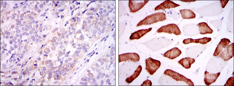
Immunohistochemical analysis of paraffin-embedded human bladder cancer tissues (left) and skeletal muscle tissues (right) using ABCG2 mouse mAb with DAB staining.

-
Immunohistochemical analysis of paraffin-embedded Mouse muscle using ABCG2 mouse mAb with DAB staining.

-
Immunohistochemical analysis of paraffin-embedded Rat muscle using ABCG2 mouse mAb with DAB staining.

-
Immunohistochemical analysis of paraffin-embedded Rabbit muscle using ABCG2 mouse mAb with DAB staining.









鄂公网安备42018502007531号

