Mouse Monoclonal Antibody to OTX2
货号:
30218
别名:
MCOPS5; MGC45000
应用:
WB,IHC,IF
反应种属:
Human
抗体类型:
Primary antibody
Swissprot:
P32243
规格:
目录价
在线咨询
Description |
|---|
This gene encodes a member of the bicoid sub-family of homeodomain-containing transcription factors. The encoded protein acts as a transcription factor and may play a role in brain and sensory organ development. A similar protein in mice is required for proper forebrain development.Tissue specificity: Expressed in brain. |
References |
|---|
| 1. Hum Mutat. 2008 Nov;29(11):E278-83. 2. Cancer Res. 2010 Jan 1;70(1):181-91. |
Specification |
|
|---|---|
| Aliases | MCOPS5; MGC45000 |
| Entrez GeneID | 5015 |
| Swissprot | P32243 |
| clone | 1H12G8B2 |
| WB Predicted band size | 32kDa |
| Host/Isotype | Mouse IgG1 |
| Antibody Type | Primary antibody |
| Storage | Store at 4°C short term. Aliquot and store at -20°C long term. Avoid freeze/thaw cycles. |
| Species Reactivity | Human |
| Immunogen | Purified recombinant fragment of human OTX2 expressed in E. Coli. |
| Formulation | Ascitic fluid containing 0.03% sodium azide. |
Application |
|
|---|---|
| WB | 1/500 - 1/2000 |
| IHC | 1/200 - 1/1000 |
| IF | 1/200 - 1/1000 |
| ELISA | 1/10000 |
Product Image
-
Red: Control Antigen (100ng); Purple: Antigen (10ng); Green: Antigen (50ng); Blue: Antigen (100ng);

-
Western blot analysis using OTX2 mouse mAb against HepG2 (1), Jurkat (2), and NTERA-2 (3) cell lysate.

-
Immunofluorescence analysis of U251 cells using OTX2 mouse mAb (green). Red: Actin filaments have been labeled with Alexa Fluor-555 phalloidin.

-
Immunohistochemical analysis of paraffin-embedded human colon tissues (left) and colon cancer tissues (right) using OTX2 mouse mAb with DAB staining.

-
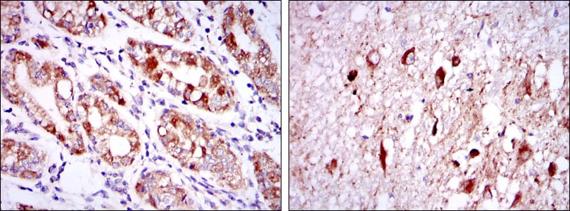
Immunohistochemical analysis of paraffin-embedded human stomach tissues (left) and brain tissues (right) using OTX2 mouse mAb with DAB staining.






鄂公网安备42018502007531号

