Mouse Monoclonal Antibody to SMN1
货号:
30222
别名:
SMA; SMN; SMA1; SMA2; SMA3; SMA4; SMA@; SMN2; SMNT; BCD541; T-BCD541
应用:
WB,IHC,IF
反应种属:
Human,Monkey
抗体类型:
Primary antibody
Swissprot:
Q16637
规格:
目录价
在线咨询
Description |
|---|
This gene is part of a 500 kb inverted duplication on chromosome 5q13. This duplicated region contains at least four genes and repetitive elements which make it prone to rearrangements and deletions. The repetitiveness and complexity of the sequence have also caused difficulty in determining the organization of this genomic region. The telomeric and centromeric copies of this gene are nearly identical and encode the same protein. |
References |
|---|
| 1. J Med Genet. 2009 Sep;46(9):641-4. 2. RNA. 2009 Apr;15(4):515-23. |
Specification |
|
|---|---|
| Aliases | SMA; SMN; SMA1; SMA2; SMA3; SMA4; SMA@; SMN2; SMNT; BCD541; T-BCD541 |
| Entrez GeneID | 6606 |
| Swissprot | Q16637 |
| clone | 5H1 |
| WB Predicted band size | 39kDa |
| Host/Isotype | Mouse IgG1 |
| Antibody Type | Primary antibody |
| Storage | Store at 4°C short term. Aliquot and store at -20°C long term. Avoid freeze/thaw cycles. |
| Species Reactivity | Human,Monkey |
| Immunogen | Purified recombinant fragment of human SMN1 expressed in E. Coli. |
| Formulation | Purified antibody in PBS with 0.05% sodium azide. |
Application |
|
|---|---|
| WB | 1/500 - 1/2000 |
| IHC | 1/200 - 1/1000 |
| IF | 1/200 - 1/1000 |
| ELISA | 1/10000 |
Product Image
-
Red: Control Antigen (100ng); Purple: Antigen (10ng); Green: Antigen (50ng); Blue: Antigen (100ng);

-
Western blot analysis using SMN1 mouse mAb against RAJI (1), Cos7 (2), Jurkat (3), K562 (4), Hela (5) and HepG2 (6) cell lysate.

-
Immunofluorescence analysis of HepG2 cells using SMN1 mouse mAb (green). Blue: DRAQ5 fluorescent DNA dye. Red: Actin filaments have been labeled with Alexa Fluor-555 phalloidin.

-
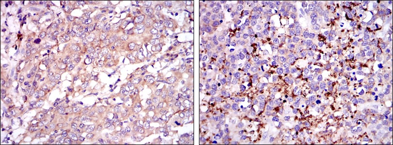
Immunohistochemical analysis of paraffin-embedded human breast cancer tissues (left) and testis tissues (right) using SMN1 mouse mAb with DAB staining.

-
Immunohistochemical analysis of paraffin-embedded human stomach cancer tissues (left) and brain tumor (right) using SMN1 mouse mAb with DAB staining.






鄂公网安备42018502007531号

