Mouse Monoclonal Antibody to HIF1A
货号:
30195
别名:
HIF1; MOP1; PASD8; bHLHe78; HIF-1alpha; HIF1-ALPHA; HIF1A
应用:
WB,IHC,IF
反应种属:
Human,Mouse,Monkey
抗体类型:
Primary antibody
Swissprot:
Q16665
规格:
目录价
在线咨询
Description |
|---|
Hypoxia-inducible factor-1 (HIF1) is a transcription factor found in mammalian cells cultured under reduced oxygen tension that plays an essential role in cellular and systemic homeostatic responses to hypoxia. HIF1 is a heterodimer composed of an alpha subunit and a beta subunit. The beta subunit has been identified as the aryl hydrocarbon receptor nuclear translocator (ARNT). This gene encodes the alpha subunit of HIF-1. Overexpression of a natural antisense transcript (aHIF) of this gene has been shown to be associated with nonpapillary renal carcinomas. Two alternative transcripts encoding different isoforms have been identified. (provided by RefSeq) Tissue specificity: Expressed in most tissues with highest levels in kidney and heart. Overexpressed in the majority of common human cancers and their metastases, due to the presence of intratumoral hypoxia and as a result of mutations in genes encoding oncoproteins and tumor suppressors. |
References |
|---|
| 1. Int J Radiat Oncol Biol Phys. 2008 Dec 1;72(5):1551-9. 2. Eur J Appl Physiol. 2009 Mar;105(4):515-24. |
Specification |
|
|---|---|
| Aliases | HIF1; MOP1; PASD8; bHLHe78; HIF-1alpha; HIF1-ALPHA; HIF1A |
| Entrez GeneID | 3091 |
| Swissprot | Q16665 |
| clone | 1A3 |
| WB Predicted band size | 120kDa |
| Host/Isotype | Mouse IgG1 |
| Antibody Type | Primary antibody |
| Storage | Store at 4°C short term. Aliquot and store at -20°C long term. Avoid freeze/thaw cycles. |
| Species Reactivity | Human,Mouse,Monkey |
| Immunogen | Purified recombinant fragment of human HIF1A expressed in E. Coli. |
| Formulation | Purified antibody in PBS with 0.05% sodium azide. |
Application |
|
|---|---|
| WB | 1/500 - 1/2000 |
| IHC | 1/200 - 1/1000 |
| IF | 1/200 - 1/1000 |
| ELISA | 1/10000 |
Product Image
-
Red: Control Antigen (100ng); Purple: Antigen (10ng); Green: Antigen (50ng); Blue: Antigen (100ng);

-
Western blot analysis using HIF1A mouse mAb against Cos7 (1), Hela (2), Jurkat (3), RAJI (4) and NIH/3T3 (5) cell lysate.

-
Immunofluorescence analysis of Hela cells using HIF1A mouse mAb (green). Blue: DRAQ5 fluorescent DNA dye. Red: Actin filaments have been labeled with Alexa Fluor-555 phalloidin.

-
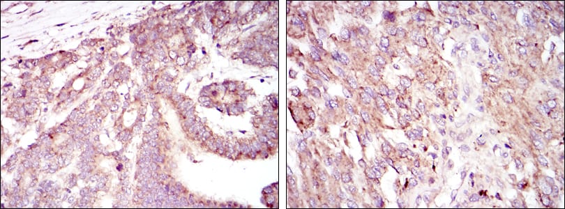
Immunohistochemical analysis of paraffin-embedded human liver cancer tissues (left) and lung cancer tissues (right) using HIF1A mouse mAb with DAB staining.

-
Immunohistochemical analysis of paraffin-embedded human stomach cancer tissues (left) and brain tumor tissues (right) using HIF1A mouse mAb with DAB staining.






鄂公网安备42018502007531号

