Mouse Monoclonal Antibody to HSP60
货号:
30193
别名:
HLD4; CPN60; GROEL; HSP60; HSP65; SPG13; HSP-60; HuCHA60; HSPD1
应用:
WB,IHC,IF,FCM
反应种属:
Human,Mouse,Rat,Monkey
抗体类型:
Loading Control Antibody
Swissprot:
P10809
规格:
目录价
在线咨询
Description |
|---|
This gene encodes a member of the chaperonin family. The encoded mitochondrial protein may function as a signaling molecule in the innate immune system. This protein is essential for the folding and assembly of newly imported proteins in the mitochondria. This gene is adjacent to a related family member and the region between the 2 genes functions as a bidirectional promoter. Several pseudogenes have been associated with this gene. Two transcript variants encoding the same protein have been identified for this gene. Mutations associated with this gene cause autosomal recessive spastic paraplegia 13. (provided by RefSeq) |
References |
|---|
| 1. Clin Exp Rheumatol. 2008 Nov-Dec;26(6):1107-10. 2. APMIS. 2008 Oct;116(10):888-95. |
Specification |
|
|---|---|
| Aliases | HLD4; CPN60; GROEL; HSP60; HSP65; SPG13; HSP-60; HuCHA60; HSPD1 |
| Entrez GeneID | 3329 |
| Swissprot | P10809 |
| clone | 3G8 |
| WB Predicted band size | 61kDa |
| Host/Isotype | Mouse IgG1 |
| Antibody Type | Loading Control Antibody |
| Storage | Store at 4°C short term. Aliquot and store at -20°C long term. Avoid freeze/thaw cycles. |
| Species Reactivity | Human,Mouse,Rat,Monkey |
| Immunogen | Purified recombinant fragment of human HSP60 expressed in E. Coli. |
| Formulation | Ascitic fluid containing 0.03% sodium azide. |
Application |
|
|---|---|
| WB | 1/500 - 1/2000 |
| IHC | 1/200 - 1/1000 |
| IF | 1/200 - 1/1000 |
| FCM | 1/200 - 1/400 |
| ELISA | 1/10000 |
Product Image
-
Red: Control Antigen (100ng); Purple: Antigen (10ng); Green: Antigen (50ng); Blue: Antigen (100ng);

-
Western blot analysis using HSP60 mouse mAb against T47D (1), Hela (2), HepG2 (3), A549 (4), Jurkat (5), HEK293 (6), NIH/3T3 (7), PC-12 (8) and Cos7 (9) cell lysate.

-
Immunofluorescence analysis of 3T3-L1 cells using HSP60 mouse mAb (green). Blue: DRAQ5 fluorescent DNA dye. Red: Actin filaments have been labeled with Alexa Fluor-555 phalloidin.

-
Flow cytometric analysis of Hela cells using HSP60 mouse mAb (green) and negative control (purple).

-
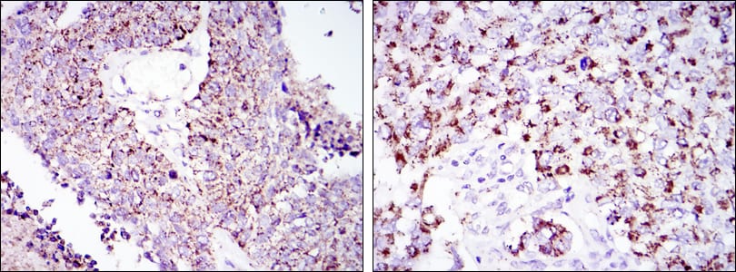
Immunohistochemical analysis of paraffin-embedded human lung cancer tissues (left) and kidney cancer tissues (right) using HSP60 mouse mAb with DAB staining.

-
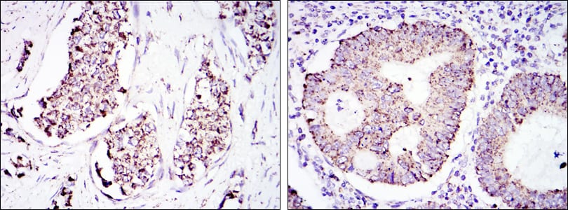
Immunohistochemical analysis of paraffin-embedded human breast cancer tissues (left) and colon cancer tissues (right) using HSP60 mouse mAb with DAB staining.







鄂公网安备42018502007531号

