Mouse Monoclonal Antibody to CRTC3
货号:
30169
别名:
TORC3; FLJ21868; CRTC3
应用:
WB,IHC,IF
反应种属:
Human,Monkey
抗体类型:
Primary antibody
Swissprot:
Q6UUV7
规格:
目录价
在线咨询
Description |
|---|
Transcriptional coactivator for CREB1 which activates transcription through both consensus and variant cAMP response element (CRE) sites. Acts as a coactivator, in the SIK/TORC signaling pathway, being active when dephosphorylated and acts independently of CREB1 'Ser-133' phosphorylation. Enhances the interaction of CREB1 with TAF4. Regulates the expression of specific CREB-activated genes such as the steroidogenic gene, StAR. Potent coactivator of PPARGC1A and inducer of mitochondrial biogenesis in muscle cells. Also coactivator for TAX activation of the human T-cell leukemia virus type 1 (HTLV-1) long terminal repeats (LTR) .Tissue specificity: Predominantly expressed in B and T lymphocytes. Highest levels in lung. Also expressed in brain, colon, heart, kidney, ovary, and prostate. Weak expression in liver, pancreas, muscle, small intestine, spleen and stomach. |
References |
|---|
| 1. Mod Pathol. 2009 Dec;22(12):1575-81. 2. Genes Chromosomes Cancer. 2008 Mar;47(3):203-6. |
Specification |
|
|---|---|
| Aliases | TORC3; FLJ21868; CRTC3 |
| Entrez GeneID | 64784 |
| Swissprot | Q6UUV7 |
| clone | 5G9 |
| WB Predicted band size | 68kDa |
| Host/Isotype | Mouse IgG1 |
| Antibody Type | Primary antibody |
| Storage | Store at 4°C short term. Aliquot and store at -20°C long term. Avoid freeze/thaw cycles. |
| Species Reactivity | Human,Monkey |
| Immunogen | Purified recombinant fragment of human CRTC3 expressed in E. Coli. |
| Formulation | Ascitic fluid containing 0.03% sodium azide. |
Application |
|
|---|---|
| WB | 1/500 - 1/2000 |
| IHC | 1/200 - 1/1000 |
| IF | 1/200 - 1/1000 |
| ELISA | 1/10000 |
Product Image
-
Red: Control Antigen (100ng); Purple: Antigen (10ng); Green: Antigen (50ng); Blue: Antigen (100ng);

-
Western blot analysis using CRTC3 mouse mAb against Hela (1), Jurkat (2), Cos7 (3) and MCF-7 (4) cell lysate.

-
Immunofluorescence analysis of NTERA-2 cells using CRTC3 mouse mAb (green). Red: Actin filaments have been labeled with Alexa Fluor-555 phalloidin.

-
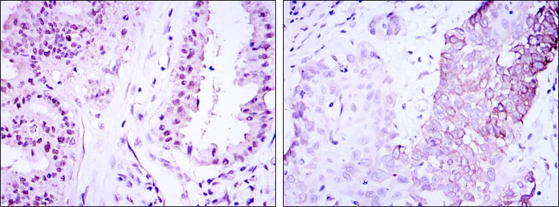
Immunohistochemical analysis of paraffin-embedded human breast cancer (left) and ovarian cancer (right) using CRTC3 mouse mAb with DAB staining.

-
Immunohistochemical analysis of paraffin-embedded human lung cancer (left) and esophagus cancer (right) using CRTC3 mouse mAb with DAB staining.






鄂公网安备42018502007531号

