Mouse Monoclonal Antibody to CARM1
货号:
30153
别名:
PRMT4; CARM1
应用:
WB,IHC,IF,FCM
反应种属:
Human,Mouse,Rat,Rabbit,Monkey
抗体类型:
Primary antibody
Swissprot:
Q86X55
规格:
目录价
在线咨询
Description |
|---|
Protein arginine N-methyltransferases, such as CARM1, catalyze the transfer of a methyl group from S-adenosyl-L-methionine to the side chain nitrogens of arginine residues within proteins to form methylated arginine derivatives and S-adenosyl-L-homocysteine. Protein arginine methylation has been implicated in signal transduction, metabolism of nascent pre-RNA, and transcriptional activation (Frankel et al. 2002 (PubMed 11724789). Tissue specificity: Overexpressed in prostate adenocarcinomas and high-grade prostatic intraepithelial neoplasia. |
References |
|---|
| 1. FASEB J. 2008 Sep;22(9):3337-47. 2. Nucleic Acids Res. 2008 Jun;36(10):3202-13. |
Specification |
|
|---|---|
| Aliases | PRMT4; CARM1 |
| Entrez GeneID | 10498 |
| Swissprot | Q86X55 |
| clone | 3H2 |
| WB Predicted band size | 65kDa |
| Host/Isotype | Mouse IgG1 |
| Antibody Type | Primary antibody |
| Storage | Store at 4°C short term. Aliquot and store at -20°C long term. Avoid freeze/thaw cycles. |
| Species Reactivity | Human,Mouse,Rat,Rabbit,Monkey |
| Immunogen | Purified recombinant fragment of human CARM1 expressed in E. Coli. |
| Formulation | Purified antibody in PBS with 0.05% sodium azide. |
Application |
|
|---|---|
| WB | 1/500 - 1/2000 |
| IHC | 1/200 - 1/1000 |
| IF | 1/200 - 1/1000 |
| FCM | 1/200 - 1/400 |
| ELISA | 1/10000 |
Product Image
-
Western blot analysis using CARM1 mouse mAb against MCF-7 (1), Hela (2), NIH/3T3 (3), HL-60 (4), LNcap (5), Jurkat (6), PC-3 (7), Cos7 (8), and PC-12 (9) cell lysate.

-
Western blot analysis using CARM1 mouse mAb against CHO3D10(1),COS-7(2),F9(3),L1210(4),C2C12(5),NIH/3T3(6),Mouse liver(7) cell lysate.

-
Immunofluorescence analysis of Hela cells using CRAM1 mouse mAb (green). Red: Actin filaments have been labeled with Alexa Fluor-555 phalloidin.

-
Flow cytometric analysis of Lovo cells using CARM1 mouse mAb (green) and negative control (purple).

-
Flow cytometric analysis of Hela cells using CARM1 mouse mAb (green) and negative control (red).

-
Flow cytometric analysis of NIH/3T3 cells using CARM1 mouse mAb (green) and negative control (red).

-
Flow cytometric analysis of COS7 cells using CARM1 mouse mAb (green) and negative control (red).

-
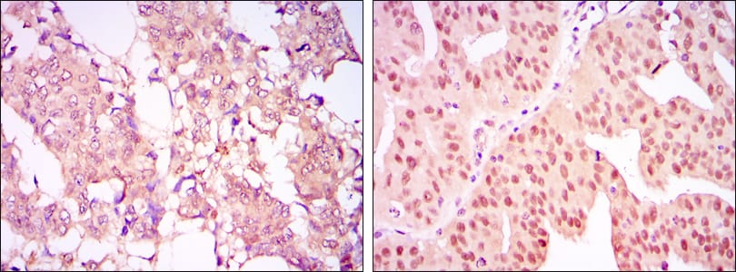
Immunohistochemical analysis of paraffin-embedded human breast cancer tissues (left) and ovarian cancer tissues (right) using CARM1 mouse mAb with DAB staining.

-
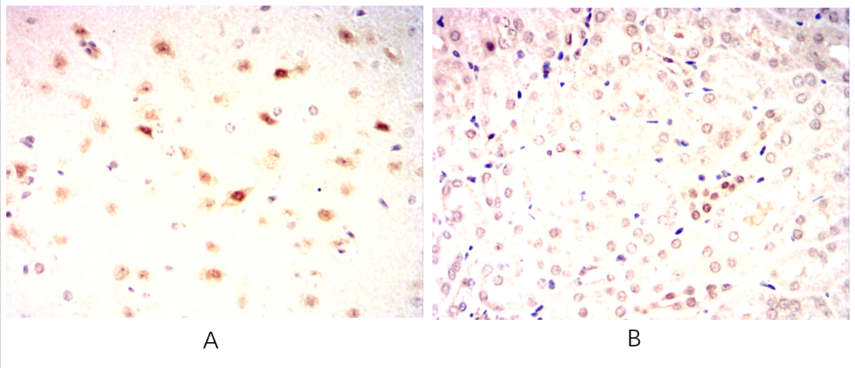
Immunohistochemical analysis of paraffin-embedded Mouse brain(A)Mouse kidney(B) using CARM1 mouse mAb with DAB staining.

-
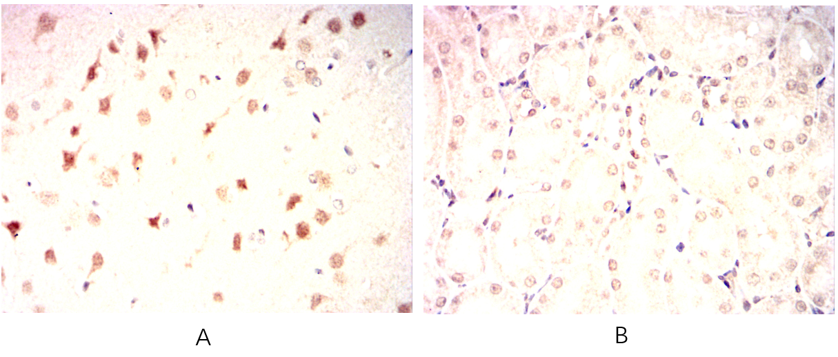
Immunohistochemical analysis of paraffin-embedded Rat brain(A) Rat kidney(B) using CARM1 mouse mAb with DAB staining.

-
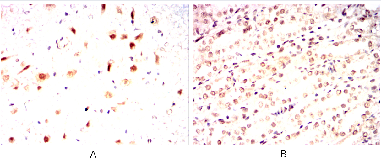
Immunohistochemical analysis of paraffin-embedded Rabbit (A)Rabbit kidney(B) using CARM1 mouse mAb with DAB staining.












鄂公网安备42018502007531号

