Mouse Monoclonal Antibody to EIF4E
货号:
30189
别名:
CBP; EIF4F; EIF4E1; EIF4EL1; MGC111573; EIF4E
应用:
WB,IHC,IF,FCM
反应种属:
Human
抗体类型:
Primary antibody
Swissprot:
P06730
规格:
目录价
在线咨询
Description |
|---|
eIF4E, a protein modulates translation of maternal mRNAs in early embryos before the onset of zygotic transcription. eIF4E also influences the overall rate of translation. eIF4E binds to the 7 methyl GTP cap structure of eukaryotic mRNAs. Phosphorylation of eIF4E on serine 209 regulates the affinity of this protein for the 7 methyl GTP cap and/or RNA. Phosphorylation also enhances the interaction of eIF4E with eIF4G, which form a complex known as eIF4F. eIF4E phosphorylation is correlated with increased translational rate in a number of cell types. Several kinases are currently being investigated as potential regulators of eIF4E including PKC and/or the MAP kinase activated Mnk. |
References |
|---|
| 1. Ann Surg Oncol. 2008 Nov;15(11):3207-15. 2. J Biol Chem. 2008 Sep 12;283(37):25227-37. |
Specification |
|
|---|---|
| Aliases | CBP; EIF4F; EIF4E1; EIF4EL1; MGC111573; EIF4E |
| Entrez GeneID | 1977 |
| Swissprot | P06730 |
| clone | 5D11 |
| WB Predicted band size | 25kDa |
| Host/Isotype | Mouse IgG1 |
| Antibody Type | Primary antibody |
| Storage | Store at 4°C short term. Aliquot and store at -20°C long term. Avoid freeze/thaw cycles. |
| Species Reactivity | Human |
| Immunogen | Purified recombinant fragment of human EIF4E expressed in E. Coli. |
| Formulation | Ascitic fluid containing 0.03% sodium azide. |
Application |
|
|---|---|
| WB | 1/500 - 1/2000 |
| IHC | 1/200 - 1/1000 |
| IF | 1/200 - 1/1000 |
| FCM | 1/200 - 1/400 |
| ELISA | 1/10000 |
Product Image
-
Red: Control Antigen (100ng); Purple: Antigen (10ng); Green: Antigen (50ng); Blue: Antigen (100ng);

-
Western blot analysis using EIF4E mouse mAb against Hela (1), HEK293 (2) and K562 (3) cell lysate.

-
Immunofluorescence analysis of GC-7901 cells using EIF4E mouse mAb (green). Blue: DRAQ5 fluorescent DNA dye. Red: Actin filaments have been labeled with Alexa Fluor-555 phalloidin.

-
Flow cytometric analysis of Hela cells using EIF4E mouse mAb (green) and negative control (purple).

-
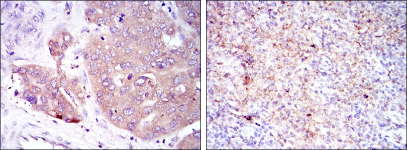
Immunohistochemical analysis of paraffin-embedded human liver cancer (left) and submaxillary tumor (right) using EIF4E mouse mAb with DAB staining.

-
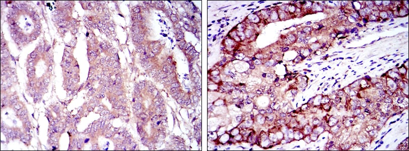
Immunohistochemical analysis of paraffin-embedded human stomach cancer (left) and prostate cancer (right) using EIF4E mouse mAb with DAB staining.







鄂公网安备42018502007531号

