Mouse Monoclonal Antibody to SOX2
货号:
30144
别名:
ANOP3; MCOPS3
应用:
WB,IHC,IF,FCM
反应种属:
Human,Mouse,Rat,Rabbit,Monkey
抗体类型:
Primary antibody
Swissprot:
P48431
规格:
目录价
在线咨询
Description |
|---|
This intronless gene encodes a member of the SRY-related HMG-box (SOX) family of transcription factors involved in the regulation of embryonic development and in the determination of cell fate. The product of this gene is required for stem-cell maintenance in the central nervous system, and also regulates gene expression in the stomach. Mutations in this gene have been associated with optic nerve hypoplasia and with syndromic microphthalmia, a severe form of structural eye malformation. This gene lies within an intron of another gene called SOX2 overlapping transcript (SOX2OT). |
References |
|---|
| 1. Proc Natl Acad Sci U S A. 2008 Nov 25;105(47):18396-401. 2. J Biol Chem. 2008 Nov 28;283(48):33730-5. 3. Nature. 2008 Oct 23;455(7216):1124-8. |
Specification |
|
|---|---|
| Aliases | ANOP3; MCOPS3 |
| Entrez GeneID | 6657 |
| Swissprot | P48431 |
| clone | 10F10 |
| WB Predicted band size | 34kDa |
| Host/Isotype | Mouse IgG1 |
| Antibody Type | Primary antibody |
| Storage | Store at 4°C short term. Aliquot and store at -20°C long term. Avoid freeze/thaw cycles. |
| Species Reactivity | Human,Mouse,Rat,Rabbit,Monkey |
| Immunogen | Purified recombinant fragment of human SOX2 expressed in E. Coli. |
| Formulation | Purified antibody in PBS with 0.05% sodium azide. |
Application |
|
|---|---|
| WB | 1/500-1/1000 |
| IHC | 1/200 - 1/1000 |
| IF | 1/200 - 1/1000 |
| FCM | 1/200 - 1/400 |
| ELISA | 1/10000 |
Product Image
-
Western blot analysis using SOX2 mouse mAb against C6(1),F9(2) cell lysate.

-
Immunofluorescence analysis of NTERA-2 cells using SOX2 mouse mAb (green). Red: Actin filaments have been labeled with Alexa Fluor-555 phalloidin.

-
Immunofluorescence analysis of NIH3T3 cells using SOX2 mouse mAb (green). Red: Actin filaments have been labeled with Alexa Fluor- 555 phalloidin.

-
Immunofluorescence analysis of C6 cells using SOX2 mouse mAb (green)

-
Flow cytometric analysis of COS7 cells using SOX2 mouse mAb (green) and negative control (red).

-
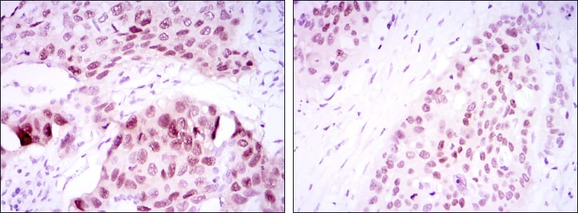
Immunohistochemical analysis of paraffin-embedded human lung cancer tissues (left) and esophageal cancer tissues (right) using SOX2 mouse mAb with DAB staining.

-
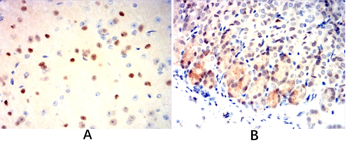
Immunohistochemical analysis of paraffin-embedded Mouse brain(A) Mouse stomach(B) using SOX2 mouse mAb with DAB staining.

-
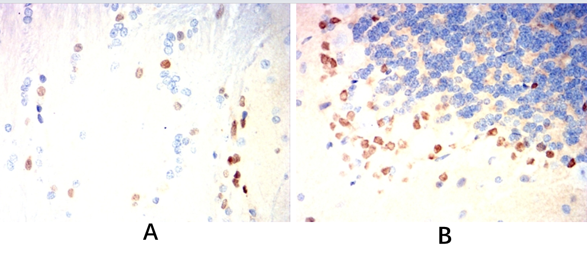
Immunohistochemical analysis of paraffin-embedded Rat brain(A) Rat cerebellum(B) using SOX2 mouse mAb with DAB staining.

-
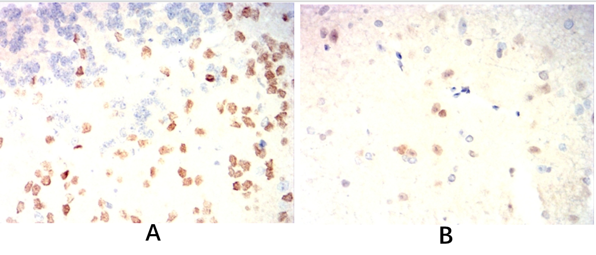
Immunohistochemical analysis of paraffin-embedded Rabbit cerebellum(A) Rabbit spinal cord(B) using SOX2 mouse mAb with DAB staining.










鄂公网安备42018502007531号

