Mouse Monoclonal Antibody to alpha Smooth Muscle Actin
货号:
30162
别名:
ACTA2;AAT6; ACTSA; ACTA2;α-Smooth Muscle Actin;Alpha-actin-2;Alpha actin 2
应用:
WB,IHC,IF,FCM
反应种属:
Human,Mouse,Rat,Rabbit,Monkey
抗体类型:
Primary antibody
Swissprot:
P62736
规格:
目录价
在线咨询
Description |
|---|
Actin,alpha 2, smooth muscle, aorta, major constituent of thin filaments. |
References |
|---|
| 1. Nat Genet. 2007 Dec;39(12):1488-93. 2. Virchows Arch. 2007 Dec;451(6):999-1007. |
Specification |
|
|---|---|
| Aliases | ACTA2;AAT6; ACTSA; ACTA2;α-Smooth Muscle Actin;Alpha-actin-2;Alpha actin 2 |
| Entrez GeneID | 59 |
| Swissprot | P62736 |
| clone | 1H8 |
| WB Predicted band size | 42kDa |
| Host/Isotype | Mouse IgG1 |
| Antibody Type | Primary antibody |
| Storage | Store at 4°C short term. Aliquot and store at -20°C long term. Avoid freeze/thaw cycles. |
| Species Reactivity | Human,Mouse,Rat,Rabbit,Monkey |
| Immunogen | Purified recombinant fragment of human ACTA2 expressed in E. Coli. |
| Formulation | Ascitic fluid containing 0.03% sodium azide. |
Application |
|
|---|---|
| WB | 1/500 - 1/2000 |
| IHC | 1/50-1/100 |
| IF | 1/200 - 1/1000 |
| FCM | 1/200 - 1/400 |
| ELISA | 1/10000 |
Product Image
-
Red: Control Antigen (100ng); Purple: Antigen (10ng); Green: Antigen (50ng); Blue: Antigen (100ng);

-
Western blot analysis using ACTA2 mouse mAb against Hela (1), Jurkta (2), HepG2 (3), MCF-7 (4), A431 (5), A549 (6), PC-12 (7), NIH/3T3 (8) and Cos7 (9) cell lysate.

-
Immunofluorescence analysis of NIH/3T3 cells using ACTA2 mouse mAb (green). Blue: DRAQ5 fluorescent DNA dye.

-
Flow cytometric analysis of Hela cells using ACTA2 mouse mAb (green) and negative control (purple).

-
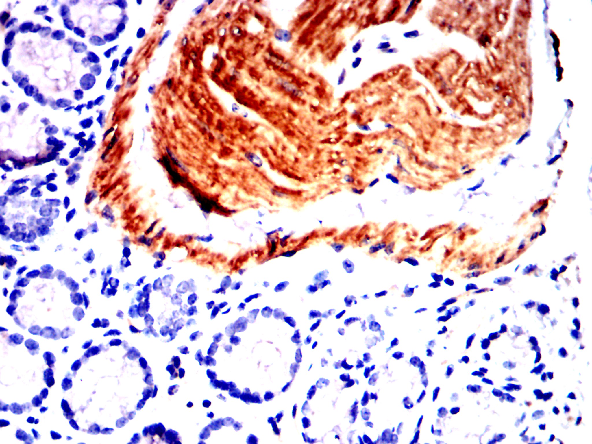
Immunohistochemical analysis of paraffin-embedded Mouse colon using ACTA2 mouse mAb with DAB staining.

-
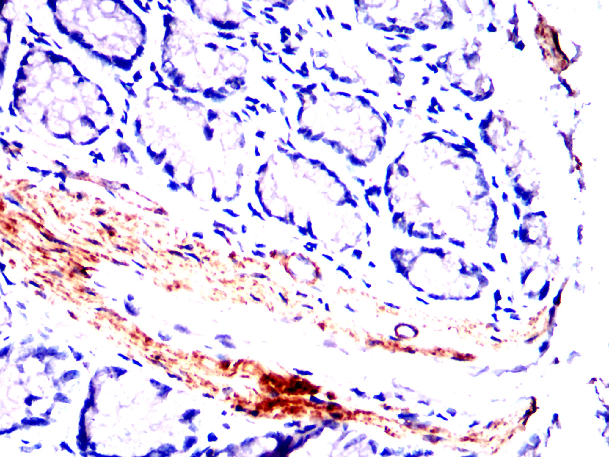
Immunohistochemical analysis of paraffin-embedded Rat colon using ACTA2 mouse mAb with DAB staining.

-
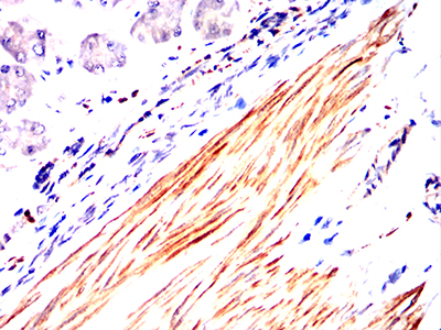
Immunohistochemical analysis of paraffin-embedded Rabbit stomach using ACTA2 mouse mAb with DAB staining.

-
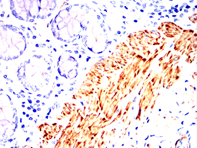
Immunohistochemical analysis of paraffin-embedded Rabbit rectum using ACTA2 mouse mAb with DAB staining.









鄂公网安备42018502007531号

