Mouse Monoclonal Antibody to PSIP1
货号:
30152
别名:
p52; p75; PAIP; DFS70; LEDGF; PSIP2; MGC74712; PSIP1
应用:
WB,IHC,IF
反应种属:
Human,Rat,Monkey
抗体类型:
Primary antibody
Swissprot:
O75475
规格:
目录价
在线咨询
Description |
|---|
Transcriptional coactivator involved in neuroepithelial stem cell differentiation and neurogenesis. Involved in particular in lens epithelial cell gene regulation and stress responses. May play an important role in lens epithelial to fiber cell terminal differentiation. May play a protective role during stress-induced apoptosis. Isoform 2 is a more general and stronger transcriptional coactivator. Isoform 2 may also act as an adapter to coordinate pre-mRNA splicing. Cellular cofactor for lentiviral integration. Tissue specificity: Widely expressed. Expressed at high level in the thymus. Expressed in fetal and adult brain. Expressed in neurons, but not astrocytes. Markedly elevated in fetal as compared to adult brain. In the adult brain, expressed in the subventricular zone (SVZ), in hippocampus, and undetectable elsewhere. In the fetal brain, expressed in the germinal neuroepithelium and cortical plate regions. |
References |
|---|
| 1. J Virol. 2008 Dec;82(23):11555-67. 2. Proteins. 2008 Aug;72(2):635-45. |
Specification |
|
|---|---|
| Aliases | p52; p75; PAIP; DFS70; LEDGF; PSIP2; MGC74712; PSIP1 |
| Entrez GeneID | 11168 |
| Swissprot | O75475 |
| clone | 6E4 |
| WB Predicted band size | 75kDa |
| Host/Isotype | Mouse IgG1 |
| Antibody Type | Primary antibody |
| Storage | Store at 4°C short term. Aliquot and store at -20°C long term. Avoid freeze/thaw cycles. |
| Species Reactivity | Human,Rat,Monkey |
| Immunogen | Purified recombinant fragment of human PSIP1 expressed in E. Coli. |
| Formulation | Purified antibody in PBS with 0.05% sodium azide. |
Application |
|
|---|---|
| WB | 1/500 - 1/2000 |
| IHC | 1/200 - 1/1000 |
| IF | 1/200 - 1/1000 |
| ELISA | 1/10000 |
Product Image
-
Red: Control Antigen (100ng); Purple: Antigen (10ng); Green: Antigen (50ng); Blue: Antigen (100ng);

-
Western blot analysis using PSIP1 mouse mAb against HepG2 (1), Jurkat (2), K562 (3), Cos7 (4), PC-12 (5), Hela (6), and NIH/3T3 (7) cell lysate.

-
Immunofluorescence analysis of NIH/3T3 cells using PSIP1 mouse mAb (green). Red: Actin filaments have been labeled with Alexa Fluor-555 phalloidin.

-
Immunohistochemical analysis of paraffin-embedded human breast cancer tissues (left) and ovarian cancer tissues (right) using PSIP1 mouse mAb with DAB staining.

-
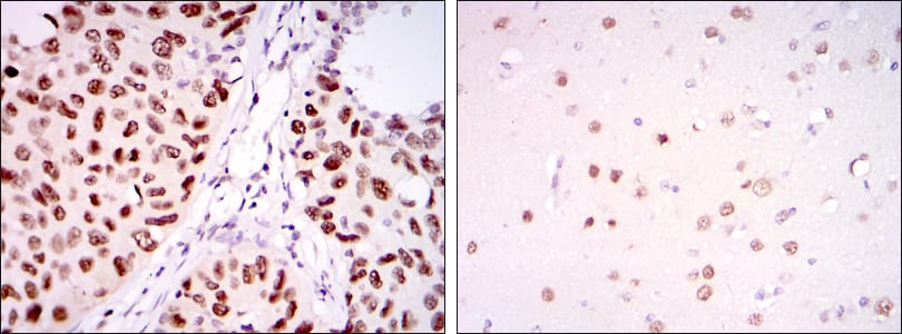
Immunohistochemical analysis of paraffin-embedded human lung cancer tissues (left) and brain tissues (right) using PSIP1 mouse mAb with DAB staining.






鄂公网安备42018502007531号

