Mouse Monoclonal Antibody to CD276
货号:
30103
别名:
B7H3; B7-H3; 4Ig-B7-H3; CD276
应用:
WB,IHC,IF,FCM
反应种属:
Human,Mouse,Rat,Rabbit,Monkey
抗体类型:
Primary antibody
Swissprot:
Q5ZPR3
规格:
目录价
在线咨询
Description |
|---|
Costimulatory B7 molecules (e.g., B7-1, or CD80; MIM 112203) signal through CD28 (MIM 186760) family molecules such as CD28, CTLA4 (MIM 123890), and ICOS (MIM 604558). May participate in the regulation of T-cell-mediated immune response. May play a protective role in tumor cells by inhibiting natural-killer mediated cell lysis as well as a role of marker for detection of neuroblastoma cells. May be involved in the development of acute and chronic transplant rejection and in the regulation of lymphocytic activity at mucosal surfaces. Could also play a key role in providing the placenta and fetus with a suitable immunological environment throughout pregnancy. Both isoform 1 and isoform 2 appear to be redundant in their ability to modulate CD4 T-cell responses. Isoform 2 is shown to enhance the induction of cytotoxic T-cells and selectively stimulates interferon gamma production in the presence of T-cell receptor signaling. |
References |
|---|
| 1. Genome Res. 2004 Oct;14(10B):2121-7. 2. Cell Mol Immunol. 2005 Aug;2(4):307-11. |
Specification |
|
|---|---|
| Aliases | B7H3; B7-H3; 4Ig-B7-H3; CD276 |
| Entrez GeneID | 80381 |
| Swissprot | Q5ZPR3 |
| clone | 6A1 |
| WB Predicted band size | 57kDa |
| Host/Isotype | Mouse IgG1 |
| Antibody Type | Primary antibody |
| Storage | Store at 4°C short term. Aliquot and store at -20°C long term. Avoid freeze/thaw cycles. |
| Species Reactivity | Human,Mouse,Rat,Rabbit,Monkey |
| Immunogen | Purified recombinant fragment of human CD276 expressed in E. Coli. |
| Formulation | Purified antibody in PBS with 0.05% sodium azide. |
Application |
|
|---|---|
| WB | 1/500 - 1/2000 |
| IHC | 1/100 - 1/500 |
| IF | 1/50 - 1/500 |
| FCM | 1/200 - 1/400 |
| ELISA | 1/10000 |
Product Image
-
Western blot analysis using CD276 mouse mAb against NIH/3T3(1) NRK(2) C2C12(3) C6(4) L1210(5) COS7(6) CHO3D10(7) Hela(8)cell lysate.

-
Immunofluorescence analysis of NIH/3T3 cells using CD276 mouse mAb (green). Blue: DRAQ5 fluorescent DNA dye. Red: Actin filaments have been labeled with Alexa Fluor- 555 phalloidin.

-
Immunofluorescence analysis of RSC-96 cells using CD276 mouse mAb (green). Blue: DRAQ5 fluorescent DNA dye. Red: Actin filaments have been labeled with Alexa Fluor- 555 phalloidin.

-
Flow cytometric analysis of PC-3 cells using CD276 mouse mAb (green) and negative control (purple).

-
Flow cytometric analysis of C6 cells using CD276 mouse mAb (green) and negative control (red).

-
Flow cytometric analysis of NIH/3T3 cells using CD276 mouse mAb (green) and negative control (red).

-
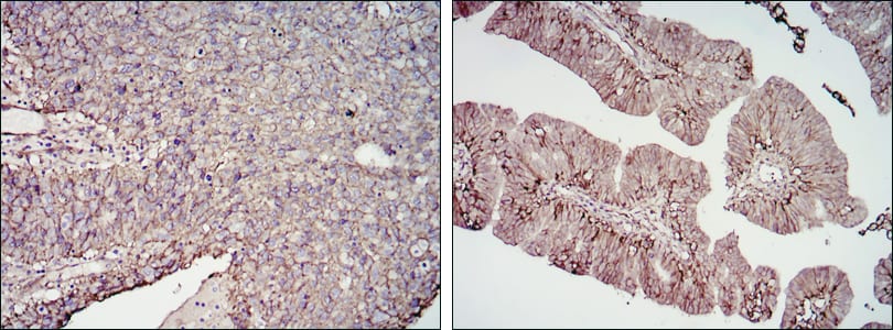
Immunohistochemical analysis of paraffin-embedded human cervical cancer tissues (left) and ovarian cancer tissues (right) using CD276 mouse mAb with DAB staining.

-
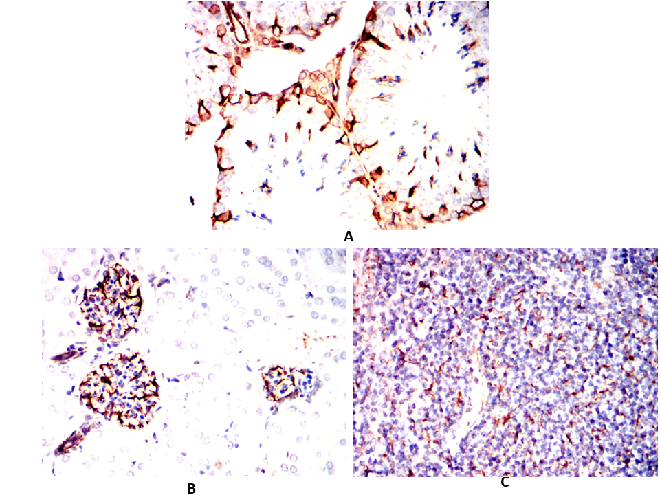
Immunohistochemical analysis of paraffin-embedded Mouse testicles(A)Mouse kidney(B)Mouse thymus(C) using CD276 mouse mAb with DAB staining.

-
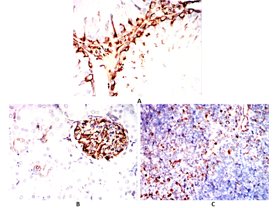
Immunohistochemical analysis of paraffin-embedded Rat testicles(A)Rat kidney(B)Rat thymus(C) using CD276 mouse mAb with DAB staining.

-
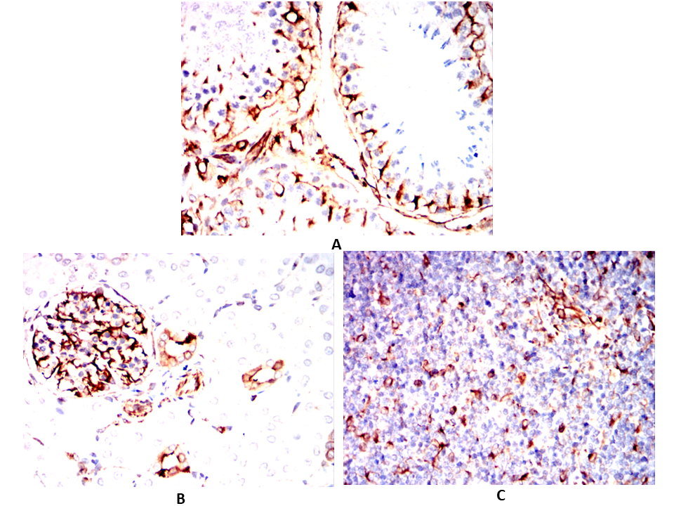
Immunohistochemical analysis of paraffin-embedded Rabbit testicles(A)Rabbit kidney(B)Rabbit thymus(C) using CD276 mouse mAb with DAB staining.











鄂公网安备42018502007531号

