Mouse Monoclonal Antibody to KI67
货号:
30100
别名:
KIA; Ki-67; MKI67
应用:
WB,IHC,FCM
反应种属:
Human,Mouse,Rat,Rabbit,Monkey
抗体类型:
Primary antibody
Swissprot:
P46013
规格:
目录价
在线咨询
Description |
|---|
Ki67, also known as MKI67, it is the prototypic cell cycle related nuclear protein, expressed by proliferating cells in all phases of the active cell cycle (G1, S, G2 and M phase). It is absent in resting (G0) cells. Ki67 antibodies are useful in establishing the cell growing fraction in neoplasms (immunohistochemically quantified by determining the number of Ki67 positive cells among the total number of resting cells = Ki67 index). In neoplastic tissues the prognostic value is comparable to the tritiated thymidine labelling index. The correlation between low Ki67 index and histologically low grade tumours is strong. Ki67 is routinely used as a neuronal marker of cell cycling and proliferation. |
References |
|---|
| 1. Folia Histochem Cytobiol. 2007;45(4):357-66. 2. Tumori. 2008 May-Jun;94(3):389-97. |
Specification |
|
|---|---|
| Aliases | KIA; Ki-67; MKI67 |
| Entrez GeneID | 4288 |
| Swissprot | P46013 |
| clone | 8D5 |
| WB Predicted band size | 358kDa |
| Host/Isotype | Mouse IgG1 |
| Antibody Type | Primary antibody |
| Storage | Store at 4°C short term. Aliquot and store at -20°C long term. Avoid freeze/thaw cycles. |
| Species Reactivity | Human,Mouse,Rat,Rabbit,Monkey |
| Immunogen | Synthetic peptide corresponding to aa (CEDLAGFKELFQTPG) of human KI67, conjugated to KLH. |
| Formulation | Purified antibody in PBS with 0.05% sodium azide. |
Application |
|
|---|---|
| WB | 1/500 - 1/2000 |
| IHC | 1/200 - 1/1000 |
| FCM | 1/200 - 1/400 |
| ELISA | 1/10000 |
Product Image
-
Western blot analysis using KI67 mouse mAb against Hela (1), MCF-7 (2) and Raji (3) cell lysate.

-
Flow cytometric analysis of NIH/3T3 cells using KI67 mouse mAb (green) and negative control (red).

-
Immunohistochemical analysis of paraffin-embedded human lung cancer (left) and rectal cancer (right) using KI67 mouse mAb with DAB staining.

-
Immunohistochemical analysis of paraffin-embedded Mouse colon(left)Mouse (right) using KI67 mouse mAb with DAB staining.

-
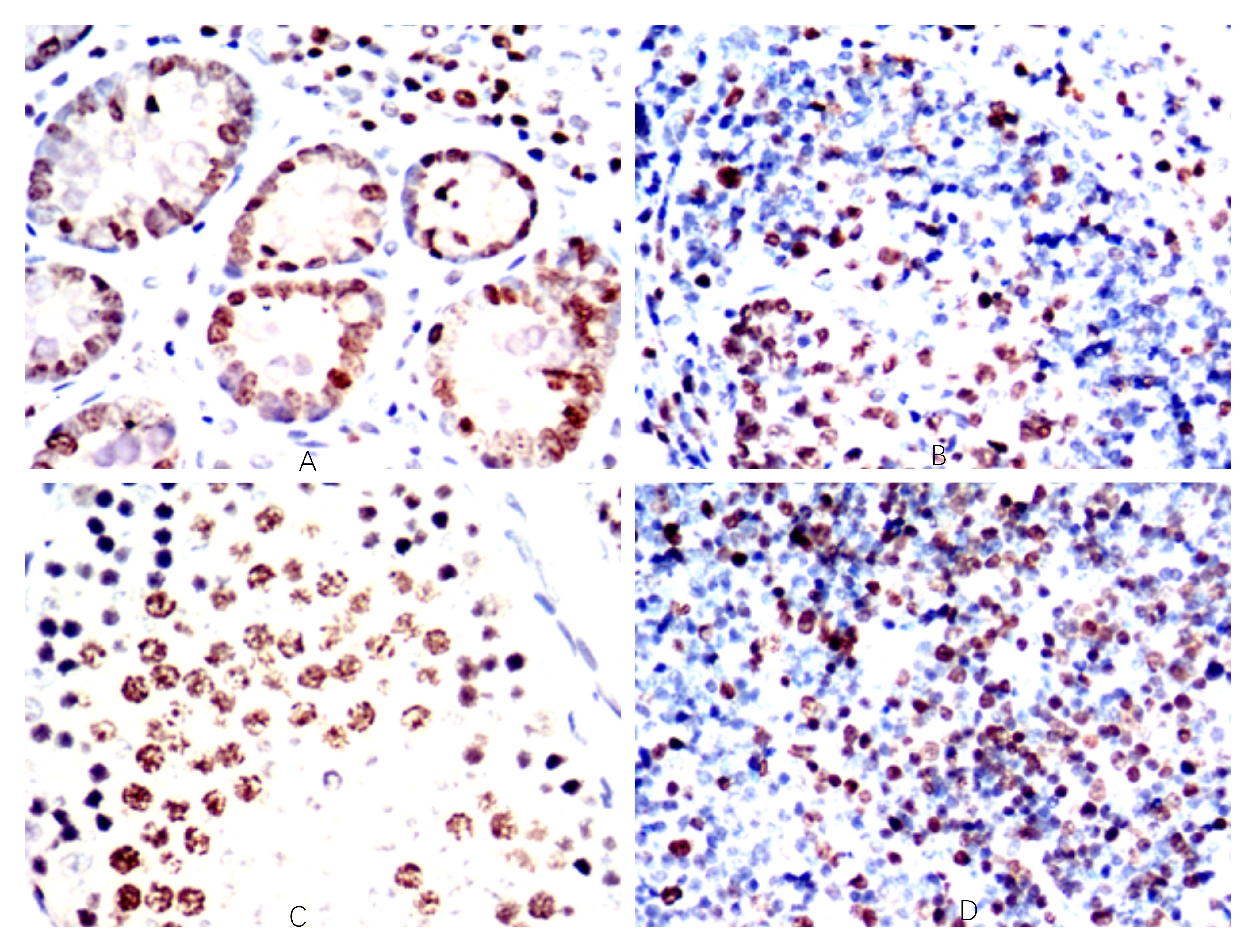
Immunohistochemical analysis of paraffin-embedded Rabbit rectum(A) Rabbit spleen (B) Rabbit testis (C) Rabbit thymus (D) using KI67 mouse mAb with DAB staining.






鄂公网安备42018502007531号

