Mouse Monoclonal Antibody to HK2
货号:
30088
别名:
HKII; HXK2; DKFZp686M1669; HK2
应用:
WB,IHC,FCM
反应种属:
Human,Mouse,Rat,Rabbit
抗体类型:
Primary antibody
Swissprot:
P52789
规格:
目录价
在线咨询
Description |
|---|
The hexokinases utilize Mg-ATP as a phosphoryl donor to catalyze the first step of intracellular glucose metabolism, the conversion of glucose to glucose- 6-phosphate. Four hexokinase isoenzymes have been identified, including hexokinase I (HXK I), hexokinase II (HXK II), hexokinase III (HXK III) and hexokinase IV (HXK IV, also designated glucokinase or GCK). Hexokinases I-III each contain an N-terminal cluster of hydrophobic amino acids. Glucokinase lacks the N-terminal hydrophobic cluster. The hydrophobic cluster is thought to be necessary for membrane binding. This is substantiated by the finding that glucokinase has lower affinity for glucose than do the other hexokinases .Hexokinase 2 is the predominant hexokinase isozyme expressed in insulin-responsive tissues such as skeletal muscle. Expression of this gene is insulin-responsive, and studies in rat suggest that it is involved in the increased rate of glycolysis seen in rapidly growing cancer cells. |
References |
|---|
| 1. Cell. 2006 May 19;125(4):801-14. 2. Cancer Sci. 2008 Feb;99(2):260-6. 3. Med Oncol. 2009;26(3):303-8. |
Specification |
|
|---|---|
| Aliases | HKII; HXK2; DKFZp686M1669; HK2 |
| Entrez GeneID | 3099 |
| Swissprot | P52789 |
| clone | 3D3 |
| WB Predicted band size | 102kDa |
| Host/Isotype | Mouse IgG1 |
| Antibody Type | Primary antibody |
| Storage | Store at 4°C short term. Aliquot and store at -20°C long term. Avoid freeze/thaw cycles. |
| Species Reactivity | Human,Mouse,Rat,Rabbit |
| Immunogen | Purified recombinant fragment of human HK2 expressed in E. Coli. |
| Formulation | Purified antibody in PBS with 0.05% sodium azide. |
Application |
|
|---|---|
| WB | 1/500 - 1/2000 |
| IHC | 1/100 - 1/500 |
| FCM | 1/200 - 1/400 |
| ELISA | 1/10000 |
Product Image
-
Western blot analysis using HK2 mouse mAb against Jurkat (1), Hela (2) and HEK293 (3) cell lysate.

-
Western blot analysis using HK2 mouse mAb against C2C12(1)HEK293 (2) Jurkat(3) cell lysate.

-
Flow cytometric analysis of K562 cells using HK2 mouse mAb (green) and negative control (purple).

-
Immunohistochemical analysis of paraffin-embedded human esophagus cancer tissues (left) and human lung cancer (right) using HK2 mouse mAb with DAB staining.

-
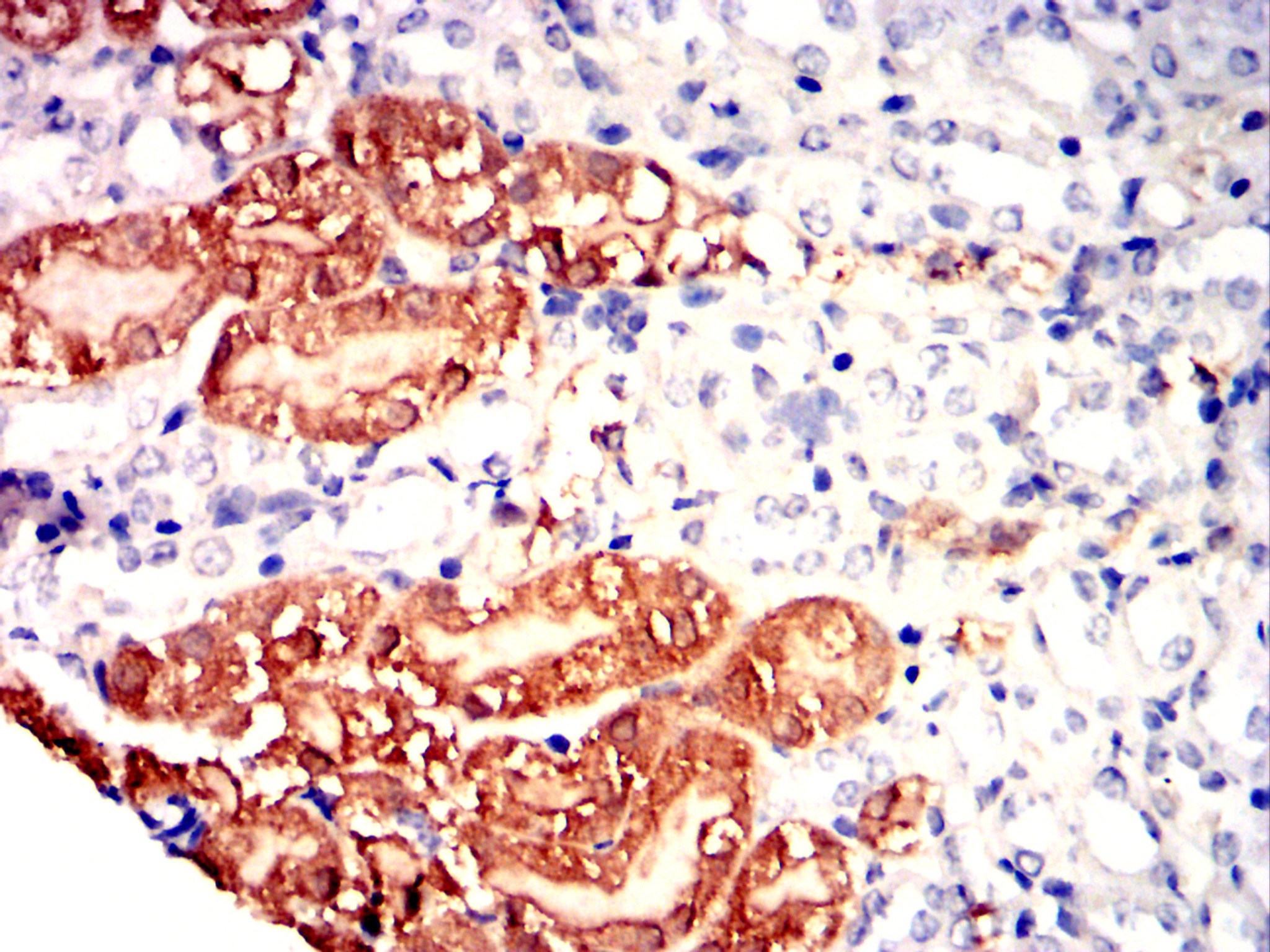
Immunohistochemical analysis of paraffin-embedded Mouse kidney using HK2 mouse mAb with DAB staining.

-
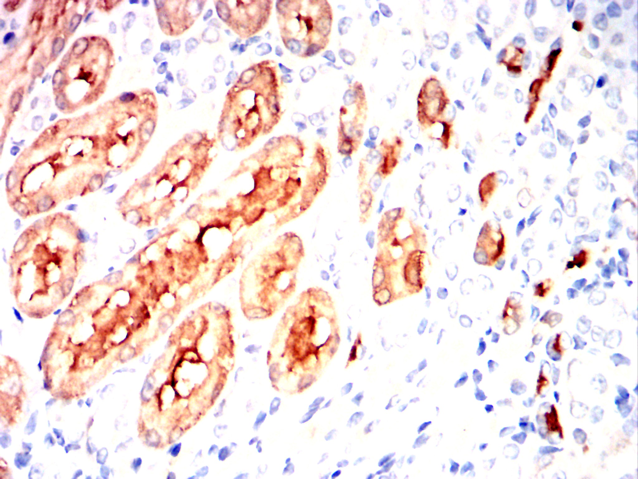
Immunohistochemical analysis of paraffin-embedded Rat kidney using HK2 mouse mAb with DAB staining.

-
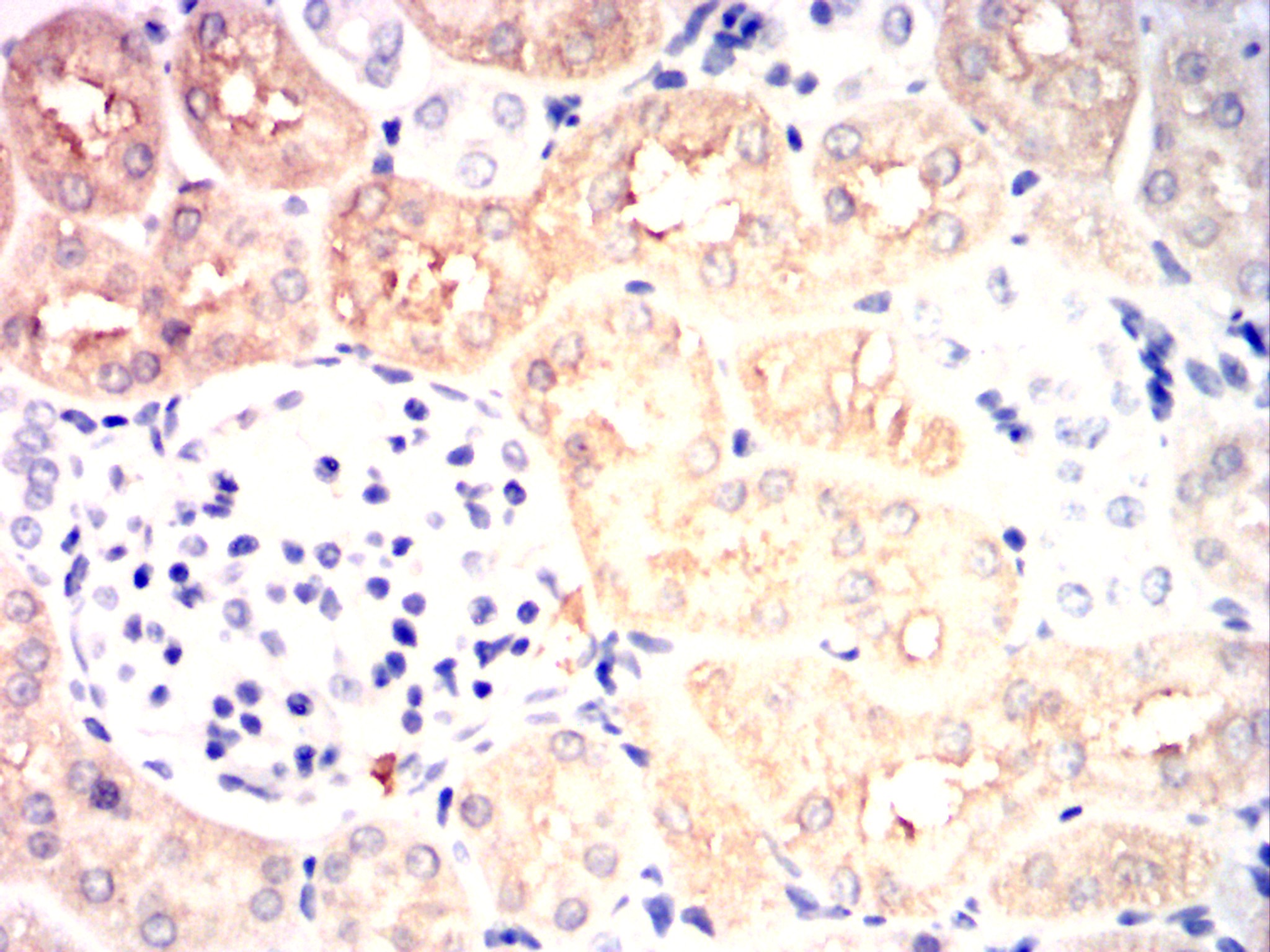
Immunohistochemical analysis of paraffin-embedded Rabbit kidney using HK2 mouse mAb with DAB staining.








鄂公网安备42018502007531号

