Mouse Monoclonal Antibody to GSK3B
货号:
30006
别名:
GSK-3β; GSK3-beta
应用:
WB,IHC,IF,FCM
反应种属:
Human,Mouse,Rat,Monkey
抗体类型:
Primary antibody
Swissprot:
P49841
规格:
目录价
在线咨询
Description |
|---|
Glycogen synthase kinase 3 (GSK-3), a serine-threonine kinase with two isoforms (alpha and beta), was originally discovered as a key enzyme in glycogen metabolism. GSK-3 was subsequently shown to function in cell division, proliferation, motility and survival. GSK-3 plays a role in a number of pathological conditions including cancer and diabetes and is increasingly seen as an important component of neurological diseases. GSK-3 phosphorylates tau and presenilin-1, which are involved in the development of Alzheimer's disease. Both isoforms of GSK-3 are ubiquitously expressed, although particularly high levels of GSK-3beta are found in the brain where it is involved in synaptic plasticity, possibly via regulation of NMDA receptor trafficking. GSK-3 phosphorylates over 40 different substrates including signaling proteins, transcription factors and structural proteins, and is part of the signal transduction cascade of a large number of growth factors and cytokines. The activity of GSK is regulated by phosphorylation (Akt: Akt-mediated phosphorylation at Ser21 of GSK-3a and Ser9 of GSK-3 |
References |
|---|
| 1. EMBO J. 1998 Mar 2;17(5):1371-84. 2. Curr Biol. 2001 Jan 9;11(1):44-9. 3. Cancer Lett. 2003 Sep 25;199(2):201-8. |
Specification |
|
|---|---|
| Aliases | GSK-3β; GSK3-beta |
| Entrez GeneID | 2932 |
| Swissprot | P49841 |
| clone | 3D10 |
| WB Predicted band size | 46kDa |
| Host/Isotype | Mouse IgG2a |
| Antibody Type | Primary antibody |
| Storage | Store at 4°C short term. Aliquot and store at -20°C long term. Avoid freeze/thaw cycles. |
| Species Reactivity | Human,Mouse,Rat,Monkey |
| Immunogen | Purified recombinant fragment of human GSK3B expressed in E. Coli. |
| Formulation | Purified antibody in PBS with 0.05% sodium azide. |
Application |
|
|---|---|
| WB | 1/500 - 1/2000 |
| IHC | 1/200 - 1/1000 |
| IF | 1/200 - 1/1000 |
| FCM | 1/200 - 1/400 |
| ELISA | 1/10000 |
Product Image
-
Western blot analysis using GSK3B mouse mAb against A549 (1), K562 (2), PC-12 (3), NIH/3T3 (4), and HEK293 (5) cell lysate.

-
Western blot analysis using GSK3B mouse mAb against COS7(1),C2C12(2),NIH/3T3(3),C6(4),PC12(5) cell lysate.

-
Immunofluorescence analysis of NIH/3T3 (left) and U251 (right) cells using GSK3B mouse mAb (green). Blue: DRAQ5 fluorescent DNA dye. Red: Actin filaments have been labeled with Alexa Fluor-555 phalloidin.

-
Flow cytometric analysis of Hela cells using GSK3B mouse mAb (green) and negative control (purple).

-
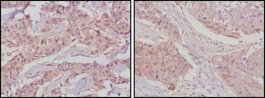
Immunohistochemical analysis of paraffin-embedded human lung cancer (left) and breast cancer tissues (right) using GSK3B mouse mAb with DAB staining.






鄂公网安备42018502007531号

