Mouse Monoclonal Antibody to TBLR1
货号:
20444
别名:
C21; DC42; IRA1; TBL1XR1
应用:
WB,IHC,FCM
反应种属:
Human,Mouse
抗体类型:
Primary antibody
Swissprot:
Q9BZK7
规格:
目录价
在线咨询
Description |
|---|
The protein encoded by this gene has sequence similarity with members of the WD40 repeat-containing protein family. The WD40 group is a large family of proteins, which appear to have a regulatory function. It is believed that the WD40 repeats mediate protein-protein interactions and members of the family are involved in signal transduction, RNA processing, gene regulation, vesicular trafficking, cytoskeletal assembly and may play a role in the control of cytotypic differentiation. |
References |
|---|
| 1.Blood. 2012 May 24;119(21):4949-52. 2.Mol Cell Biol. 2010 Aug;30(16):4006-21. |
Specification |
|
|---|---|
| Aliases | C21; DC42; IRA1; TBL1XR1 |
| Entrez GeneID | 79718 |
| Swissprot | Q9BZK7 |
| clone | 5A9G10 |
| WB Predicted band size | 55.5kDa |
| Host/Isotype | Mouse IgG1 |
| Antibody Type | Primary antibody |
| Storage | Store at 4°C short term. Aliquot and store at -20°C long term. Avoid freeze/thaw cycles. |
| Species Reactivity | Human,Mouse |
| Immunogen | Purified recombinant fragment of human TBLR1 expressed in E. Coli. |
| Formulation | Purified antibody in PBS with 0.05% sodium azide. |
Application |
|
|---|---|
| WB | 1/500 - 1/2000 |
| IHC | 1/200 - 1/1000 |
| FCM | 1/200 - 1/400 |
| ELISA | 1/10000 |
Product Image
-
Red: Control Antigen (100ng); Purple: Antigen (10ng); Green: Antigen (50ng); Blue: Antigen (100ng);

-
Western blot analysis using TBLR1 mouse mAb against Mouse heart (1) tissue lysate and K562 (2) cell lysate.

-
Flow cytometric analysis of K562 cells using TBLR1 mouse mAb (green) and negative control (purple).

-
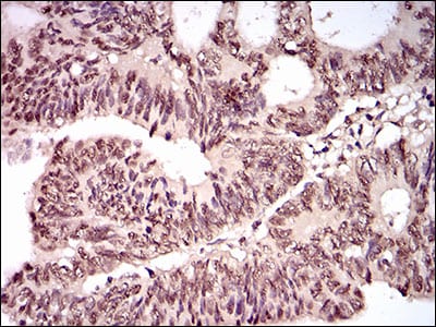
Immunohistochemical analysis of paraffin-embedded human bladder cancer tissues using TBLR1 mouse mAb with DAB staining.

-
Immunohistochemical analysis of paraffin-embedded human rectum cancer tissues using TBLR1 mouse mAb with DAB staining.






鄂公网安备42018502007531号

