Mouse Monoclonal Antibody to NF-κB p65
货号:
20406
别名:
NFkappaB p65; p65; NFKB3; RELA
应用:
WB,IHC
反应种属:
Human,Mouse,Rat,Rabbit,Monkey
抗体类型:
Primary antibody
Swissprot:
Q04206
规格:
目录价
在线咨询
Description |
|---|
NF-kappa-B is a pleiotropic transcription factor present in almost all cell types and is the endpoint of a series of signal transduction events that are initiated by a vast array of stimuli related to many biological processes such as inflammation, immunity, differentiation, cell growth, tumorigenesis and apoptosis. NF-kappa-B is a homo- or heterodimeric complex formed by the Rel-like domain-containing proteins RELA/p65, RELB, NFKB1/p105, NFKB1/p50, REL and NFKB2/p52. The heterodimeric RELA-NFKB1 complex appears to be most abundant one. The dimers bind at kappa-B sites in the DNA of their target genes and the individual dimers have distinct preferences for different kappa-B sites that they can bind with distinguishable affinity and specificity. |
References |
|---|
| 1. Nature. 1997 Aug 7;388(6642):548-54. 2. Cell. 1998 Dec 11;95(6):749-58. 3. J Biol Chem. 2000 Jun 16;275(24):18180-7. |
Specification |
|
|---|---|
| Aliases | NFkappaB p65; p65; NFKB3; RELA |
| Entrez GeneID | 5970 |
| Swissprot | Q04206 |
| clone | 6H7 |
| WB Predicted band size | 65kDa |
| Host/Isotype | Mouse IgG1 |
| Antibody Type | Primary antibody |
| Storage | Store at 4°C short term. Aliquot and store at -20°C long term. Avoid freeze/thaw cycles. |
| Species Reactivity | Human,Mouse,Rat,Rabbit,Monkey |
| Immunogen | Purified recombinant fragment of human NF-κB p65 expressed in E. Coli. |
| Formulation | Purified antibody in PBS with 0.05% sodium azide. |
Application |
|
|---|---|
| WB | 1/500 - 1/2000 |
| IHC | 1/100 - 1/500 |
| ELISA | 1/10000 |
Product Image
-
Western blot analysis using NF-κB p65 mouse mAb against Jurkat (1), K562 (2) and NIH/3T3 (3) cell lysate.

-
Western blot analysis using NF-κB p65 mouse mAb against RSC-96(1),KO-SF(2),NIH/3T3(3),NRK(4),C2C12(5),C6(6),81505(7) cell lysate.

-
Immunohistochemical analysis of paraffin-embedded Mouse kidney(A) Mouse liver (B) using NF-κB p65 mouse mAb with DAB staining.

-
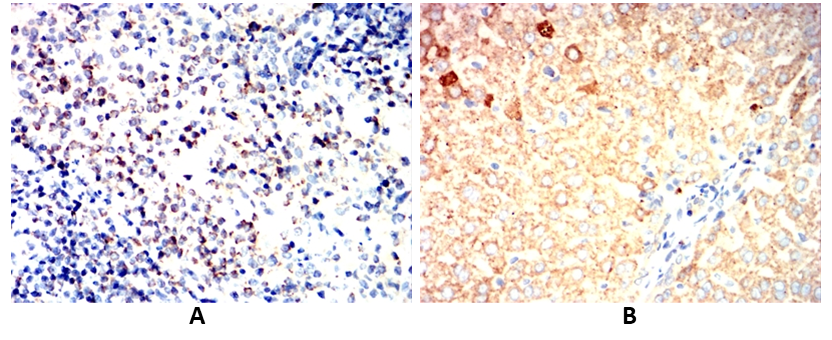
Immunohistochemical analysis of paraffin-embedded Rat spleen(A) Rat liver (B) using NF-κB p65 mouse mAb with DAB staining.

-
Immunohistochemical analysis of paraffin-embedded Rabbit spleen(A) Rabbit Rabbit liver(B) using NF-κB p65 mouse mAb with DAB staining.






鄂公网安备42018502007531号

