Mouse Monoclonal Antibody to CD44
货号:
20282
别名:
IN; LHR; MC56; MDU2; MDU3; MIC4; Pgp1; CDW44; CSPG8; HCELL
应用:
WB,IHC,IF,FCM
反应种属:
Human,Mouse,Rat,Monkey
抗体类型:
Primary antibody
Swissprot:
P16070
规格:
目录价
在线咨询
Description |
|---|
CD44, also known as IN, LHRMIC4, CDW44, HCELL. It is a cell-surface glycoprotein involved in cell-cell interactions, cell adhesion and migration. It is a receptor for hyaluronic acid (HA) and can also interact with other ligands, such as osteopontin, collagens, and matrix metalloproteinases (MMPs). This protein participates in a wide variety of cellular functions including lymphocyte activation, recirculation and homing, hematopoiesis, and tumor metastasis. Transcripts for this gene undergo complex alternative splicing that results in many functionally distinct isoforms, however, the full length nature of some of these variants has not been determined. Alternative splicing is the basis for the structural and functional diversity of this protein, and may be related to tumor metastasis. |
References |
|---|
| 1. Exp Mol Pathol. 2007 Dec;83(3):341-6. 2. Mol Cell Proteomics. 2008 Mar;7(3):499-508. |
Specification |
|
|---|---|
| Aliases | IN; LHR; MC56; MDU2; MDU3; MIC4; Pgp1; CDW44; CSPG8; HCELL |
| Entrez GeneID | 960 |
| Swissprot | P16070 |
| clone | 8E2F3 |
| WB Predicted band size | 82kDa |
| Host/Isotype | Mouse IgG1 |
| Antibody Type | Primary antibody |
| Storage | Store at 4°C short term. Aliquot and store at -20°C long term. Avoid freeze/thaw cycles. |
| Species Reactivity | Human,Mouse,Rat,Monkey |
| Immunogen | Purified recombinant fragment of human CD44 (628-699) expressed in E. Coli. |
| Formulation | Purified antibody in PBS with 0.05% sodium azide. |
Application |
|
|---|---|
| WB | 1/500-1/1000 |
| IHC | 1/200 - 1/1000 |
| IF | 1/200 - 1/1000 |
| FCM | 1/200 - 1/400 |
| ELISA | 1/10000 |
Product Image
-
Western blot analysis using CD44 mouse mAb against Hela (1) and HUVE-12(2) cell lysate.

-
Western blot analysis using CD44 mouse mAb against COS7(1),C6(2) cell lysate.

-
Confocal analysis of paraffin-embedded human lung cancer tissues using CD44 mouse mAb (green), showing membrane localization. Blue: DRAQ5 fluorescent DNA dye.

-
Confocal Immunofluorescence analysis of PANC-1 cells using CD44 mouse mAb (green). Red: Actin filaments have been labeled with DY-554 phalloidin. Blue: DRAQ5 fluorescent DNA dye.

-
Confocal Immunofluorescence analysis of methanol-fixed A431 (A), Hela (B), PANC-1 (C) and EC (D) cells using CD44 mouse mAb (green), showing membrane localization. Blue: DRAQ5 fluorescent DNA dye.

-
Immunofluorescence analysis of RSC-96 cells using CD44 mouse mAb (green). Blue: DRAQ5 fluorescent DNA dye. Red: Actin filaments have been labeled with Alexa Fluor- 555 phalloidin.

-
Flow cytometric analysis of Hela cells using CD44 mouse mAb (right) and negative control (left).

-
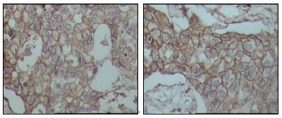
Immunohistochemical analysis of paraffin-embedded human breast carcinoma tissues, showing membrane localization with DAB staining using CD44 mouse mAb.

-
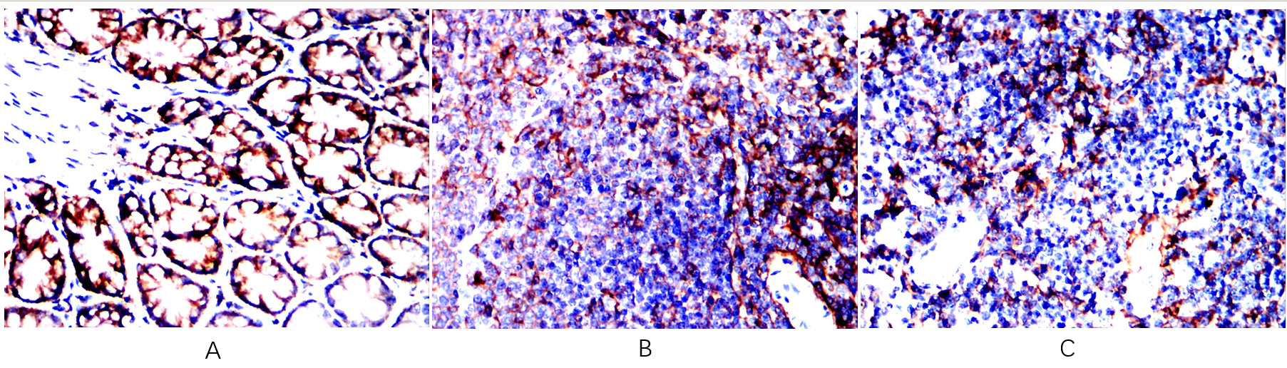
Immunohistochemical analysis of paraffin-embedded Rat colon(A) Rat spleen(B) Rat thymus(C) using CD44 mouse mAb with DAB staining.










鄂公网安备42018502007531号

