Mouse Monoclonal Antibody to SYT1
货号:
20286
别名:
P65; SYT; SVP65; DKFZp781D2042
应用:
WB,IHC,FCM
反应种属:
Human,Mouse,Rat,Rabbit
抗体类型:
Primary antibody
Swissprot:
P21579
规格:
目录价
在线咨询
Description |
|---|
SYT1: synaptotagmin I. The synaptotagmins are integral membrane proteins of synaptic vesicles thought to serve as Ca(2+) sensors in the process of vesicular trafficking and exocytosis. Calcium binding to synaptotagmin I participates in triggering neurotransmitter release at the synapse. |
References |
|---|
| 1. Cell. 2005 Sep 23;122(6):957-68. 2. FASEB J. 2008 Jun;22(6):2045-52. |
Specification |
|
|---|---|
| Aliases | P65; SYT; SVP65; DKFZp781D2042 |
| Entrez GeneID | 6857 |
| Swissprot | P21579 |
| clone | 8G11B10 |
| Host/Isotype | Mouse IgG1 |
| Antibody Type | Primary antibody |
| Storage | Store at 4°C short term. Aliquot and store at -20°C long term. Avoid freeze/thaw cycles. |
| Species Reactivity | Human,Mouse,Rat,Rabbit |
| Immunogen | Purified recombinant fragment of SYT1 expressed in E. Coli. |
| Formulation | Ascitic fluid containing 0.03% sodium azide. |
Application |
|
|---|---|
| WB | 1/500 - 1/2000 |
| IHC | 1/200 - 1/1000 |
| FCM | 1/200 - 1/400 |
| ELISA | 1/10000 |
Product Image
-
Western blot analysis using SYT1 mouse mAb against mouse brain tissue lysate.

-
Flow cytometric analysis of hela cells using SYT1 mouse mAb (green) and negative control (red).

-
Flow cytometric analysis of k562 cells using SYT1 mouse mAb (green) and negative control (red).

-
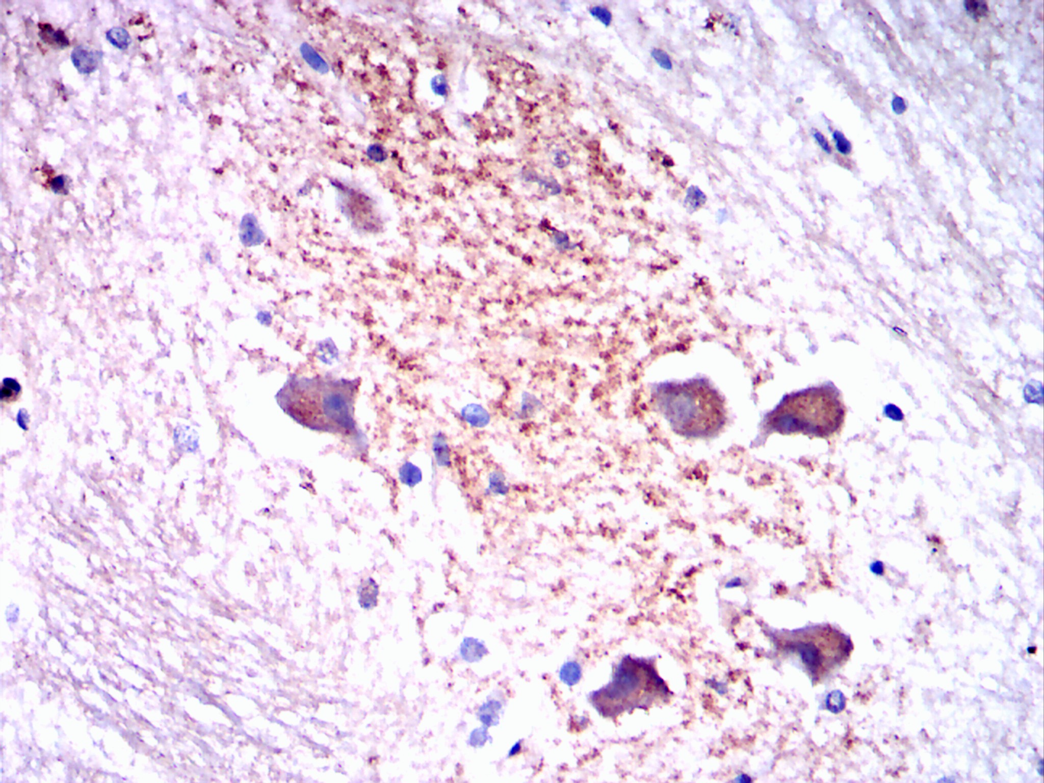
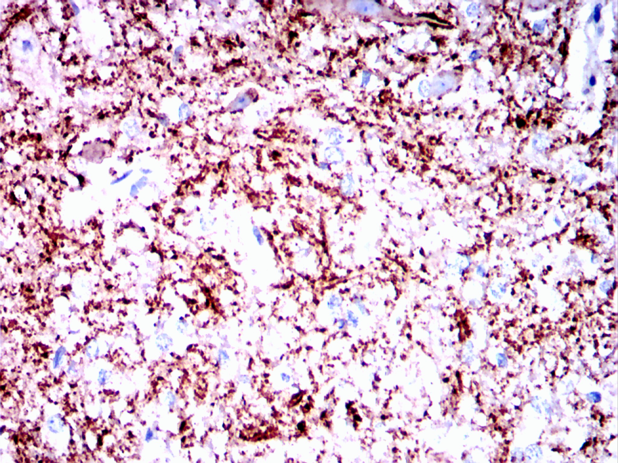
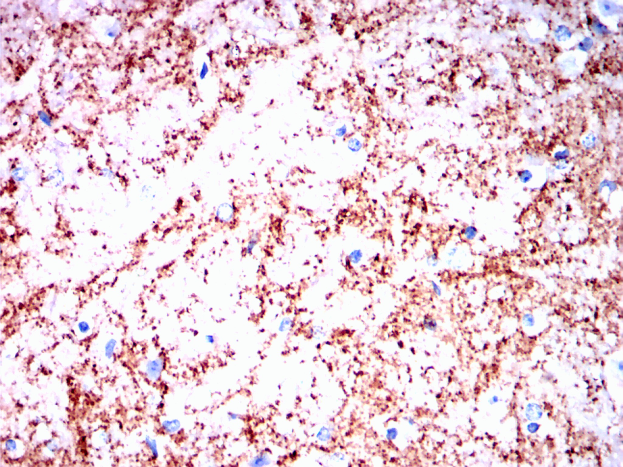
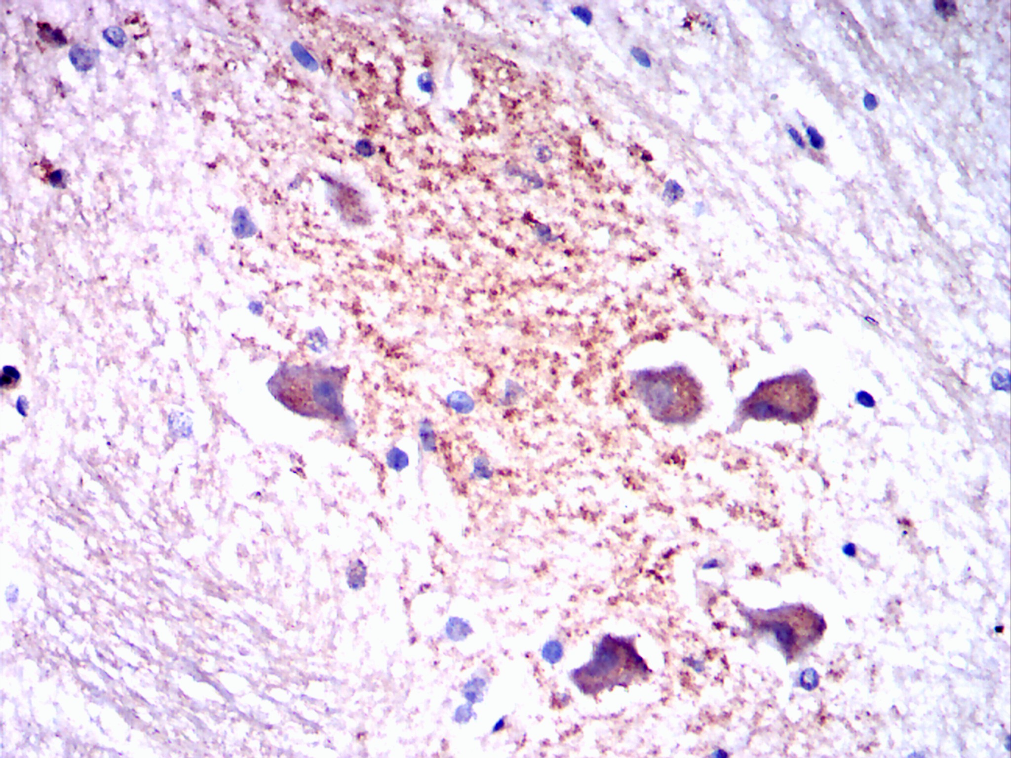
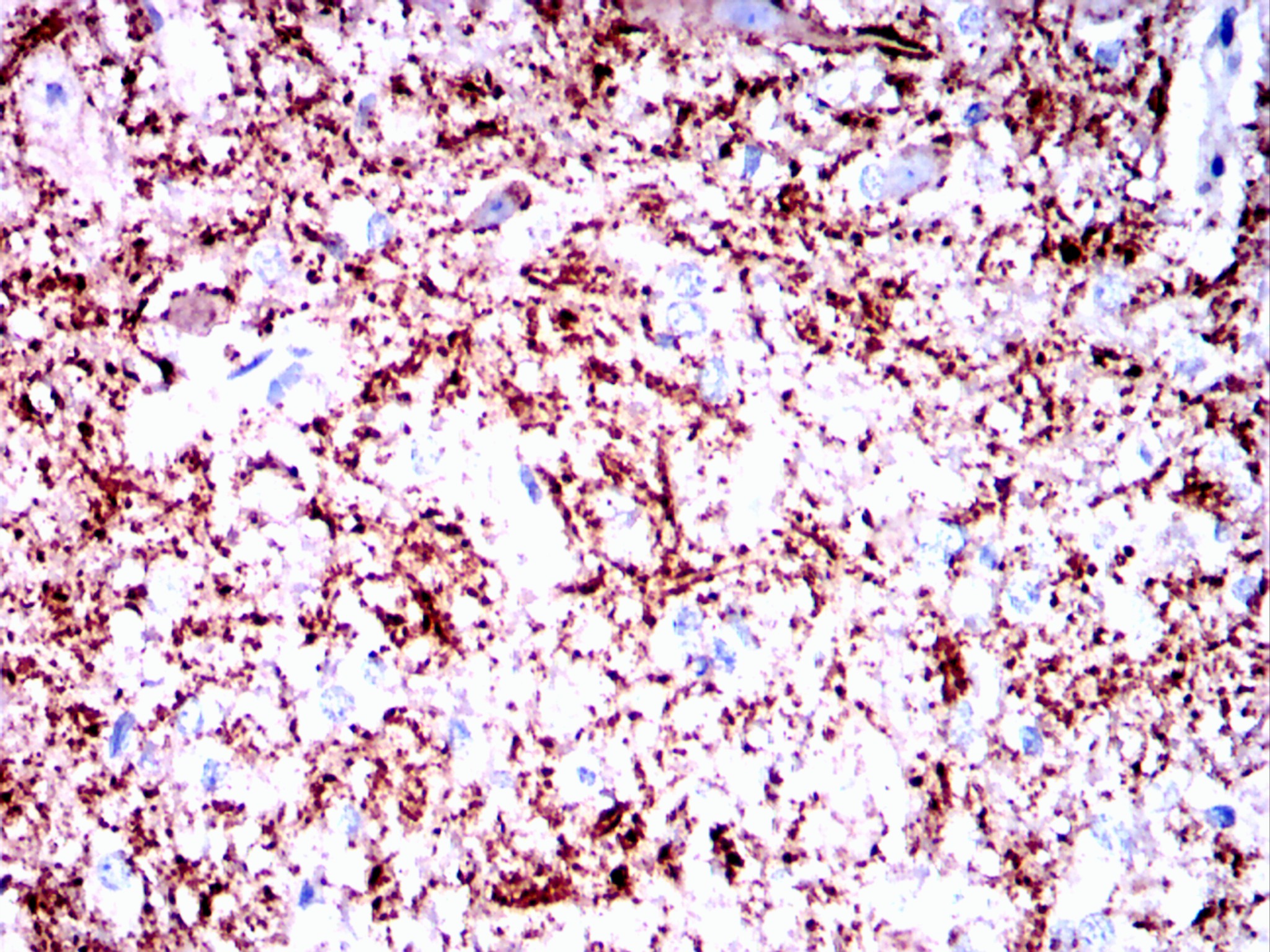
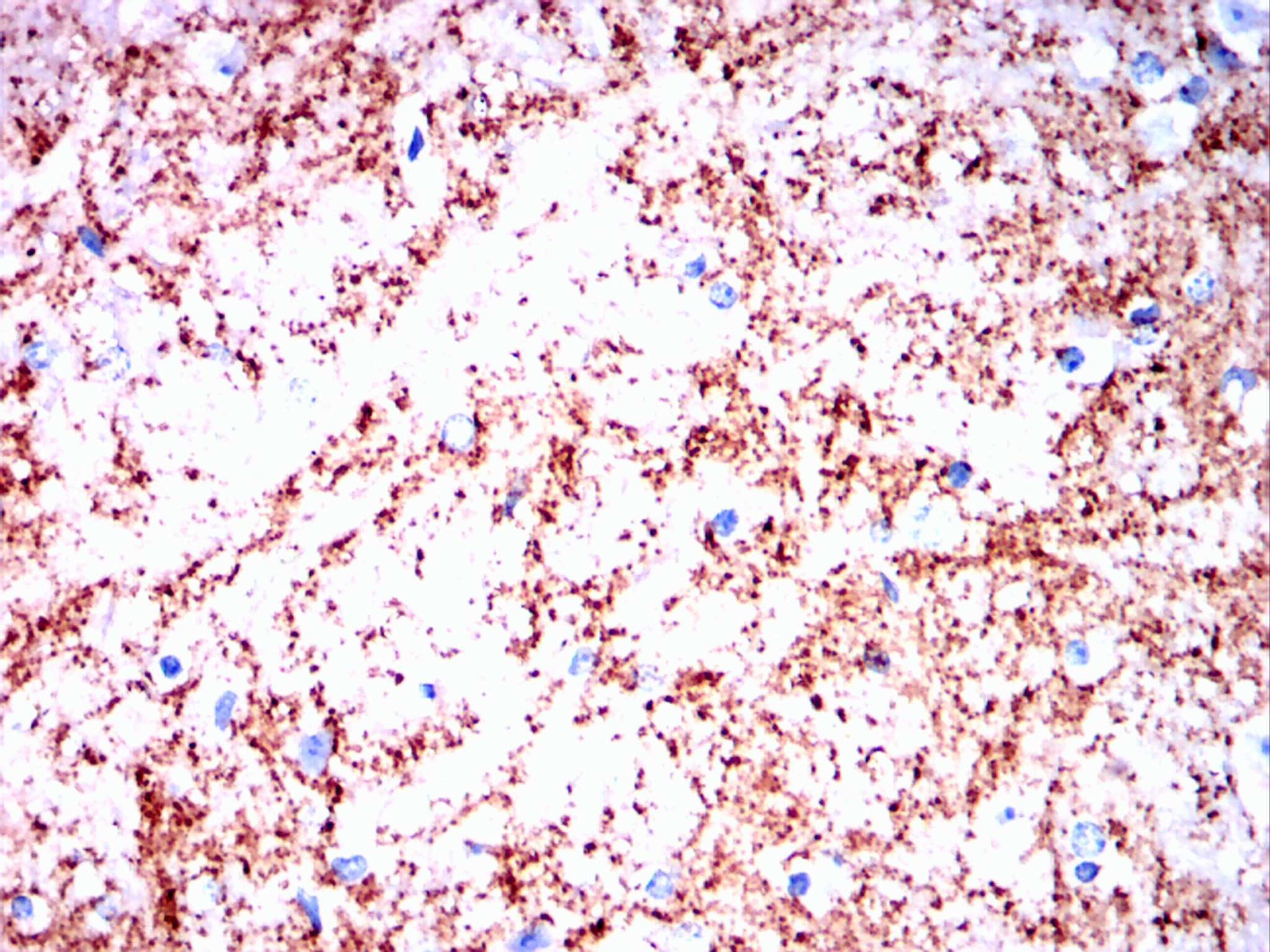
Immunohistochemical analysis of paraffin-embedded rat brain tissue using SYT1 mouse mAb with DAB staining.

-
Immunohistochemical analysis of paraffin-embedded human brain tissue using SYT1 mouse mAb with DAB staining.

-
Immunohistochemical analysis of paraffin-embedded rabbit medulla oblongata tissue using SYT1 mouse mAb with DAB staining.

-
Immunohistochemical analysis of paraffin-embedded mouse brain tissue using SYT1 mouse mAb with DAB staining.








鄂公网安备42018502007531号

