Mouse Monoclonal Antibody to ERBB3
货号:
20255
别名:
HER3; LCCS2
应用:
IHC,FCM
反应种属:
Human, Mouse, Rat, Rabbit
抗体类型:
Primary antibody
Swissprot:
P21860
规格:
目录价
在线咨询
Description |
|---|
ERBB3: v-erb-b2 erythroblastic leukemia viral oncogene homolog 3 (avian). This gene encodes a member of the epidermal growth factor receptor (EGFR) family of receptor tyrosine kinases. This membrane-bound protein has a neuregulin binding domain but not an active kinase domain. It therefore can bind this ligand but not convey the signal into the cell through protein phosphorylation. However, it does form heterodimers with other EGF receptor family members which do have kinase activity. Heterodimerization leads to the activation of pathways which lead to cell proliferation or differentiation. Amplification of this gene and/or overexpression of its protein have been reported in numerous cancers, including prostate, bladder, and breast tumors. Alternate transcriptional splice variants encoding different isoforms have been characterized. One isoform lacks the intermembrane region and is secreted outside the cell. This form acts to modulate the activity of the membrane-bound form. Additional splice variants have also been reported, but they have not been thoroughly characterized. |
References |
|---|
| 1. Cancer Sci. 2007 Sep;98(9):1498-503. 2. Breast Cancer Res. 2008;10(1):R2. |
Specification |
|
|---|---|
| Aliases | HER3; LCCS2 |
| Entrez GeneID | 2065 |
| Swissprot | P21860 |
| clone | 2B11D11 |
| Host/Isotype | Mouse IgG1 |
| Antibody Type | Primary antibody |
| Storage | Store at 4°C short term. Aliquot and store at -20°C long term. Avoid freeze/thaw cycles. |
| Species Reactivity | Human, Mouse, Rat, Rabbit |
| Immunogen | Purified recombinant fragment of ERBB3 (aa1175-1275) expressed in E. Coli. |
| Formulation | Ascitic fluid containing 0.03% sodium azide. |
Application |
|
|---|---|
| IHC | 1/200 - 1/1000 |
| FCM | 1/200 - 1/400 |
| ELISA | 1/10000 |
Product Image
-
Flow cytometric analysis of Hela cells using ERBB3 mouse mAb (green) and negative control (red).

-
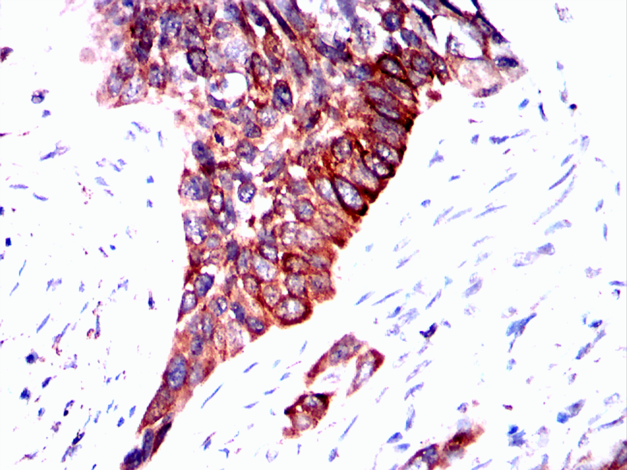
Immunohistochemical analysis of paraffin-embedded lung cancer tissues using ERBB3 mouse mAb with DAB staining.

-
Immunohistochemical analysis of paraffin-embedded lung cancer tissues using ERBB3 mouse mAb with DAB staining.

-
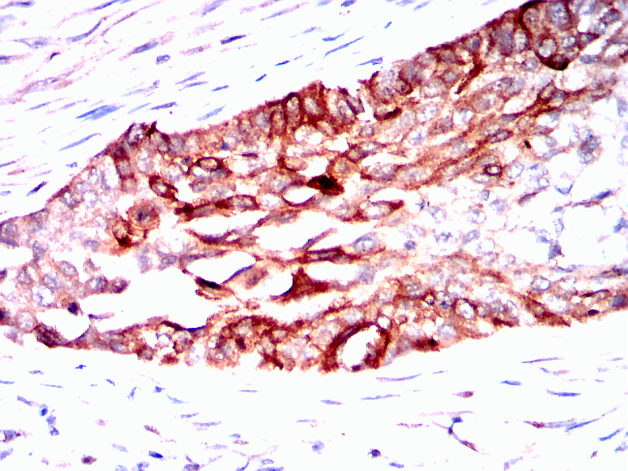
Immunohistochemical analysis of paraffin-embedded esophageal cancer tissues using ERBB3 mouse mAb with DAB staining.

-
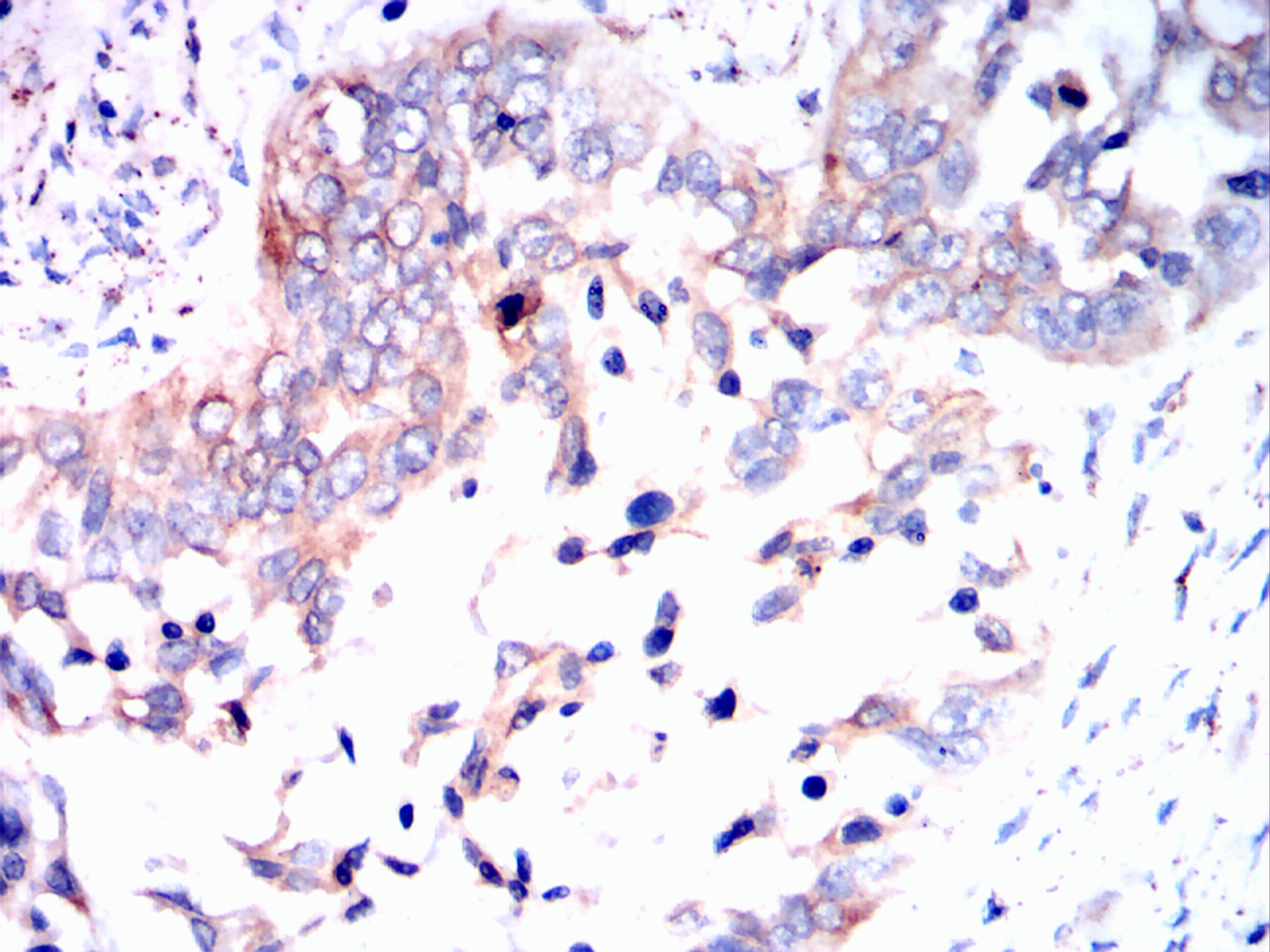
Immunohistochemical analysis of paraffin-embedded esophagus tissues using *** mouse mAb with DAB staining.

-
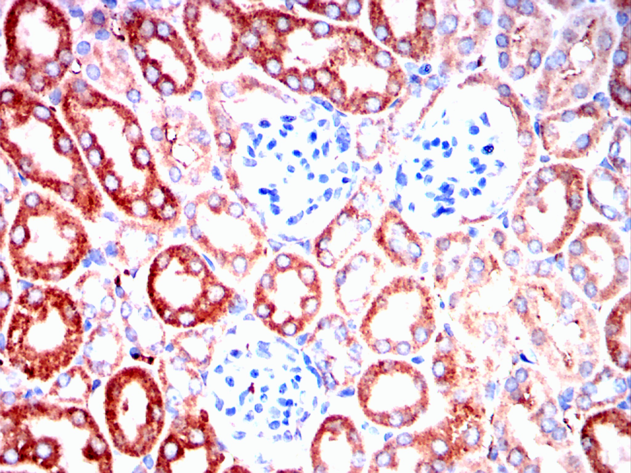
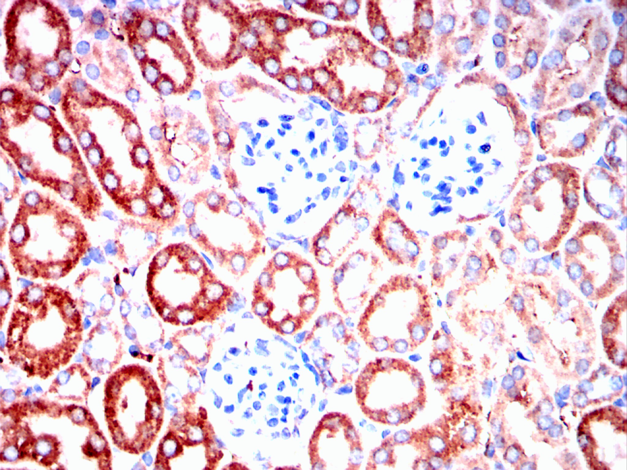
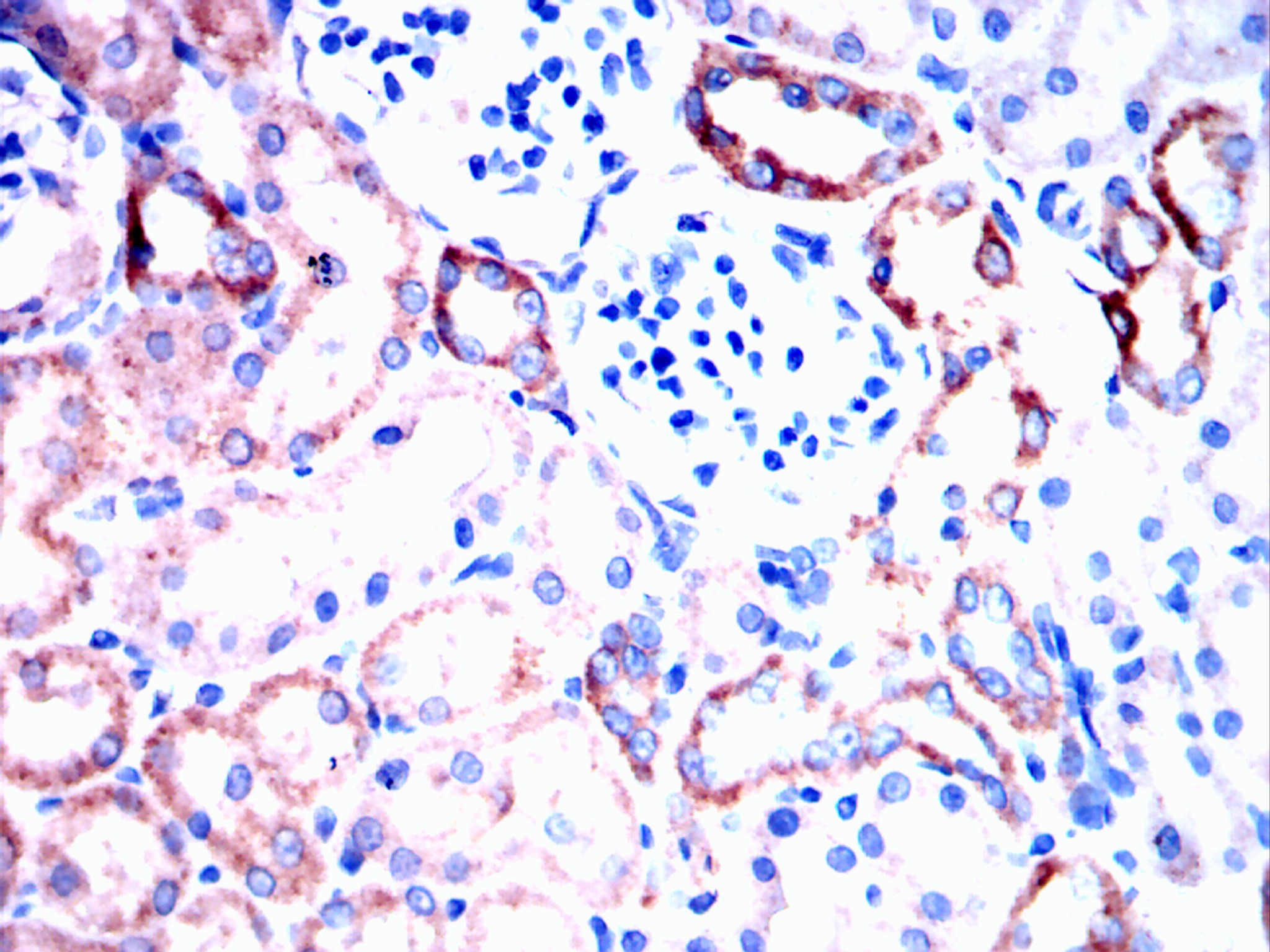
Immunohistochemical analysis of paraffin-embedded mouse kidney tissues using ERBB3 mouse mAb with DAB staining.

-
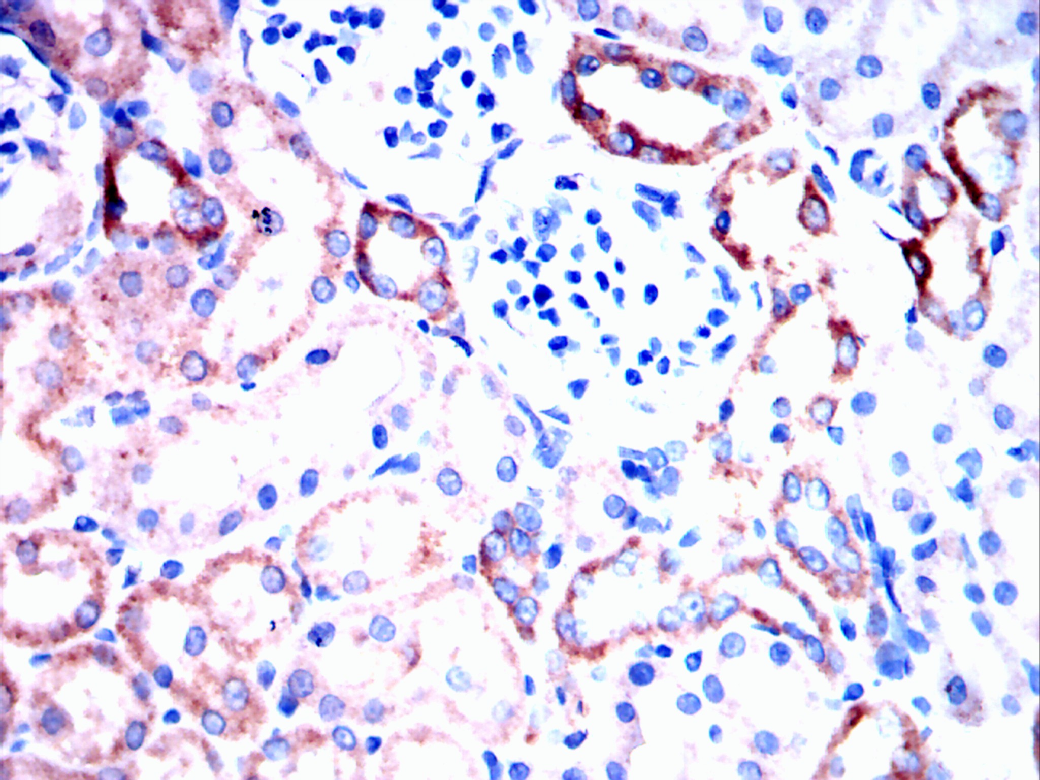
Immunohistochemical analysis of paraffin-embedded rat kidney tissues using ERBB3 mouse mAb with DAB staining.

-
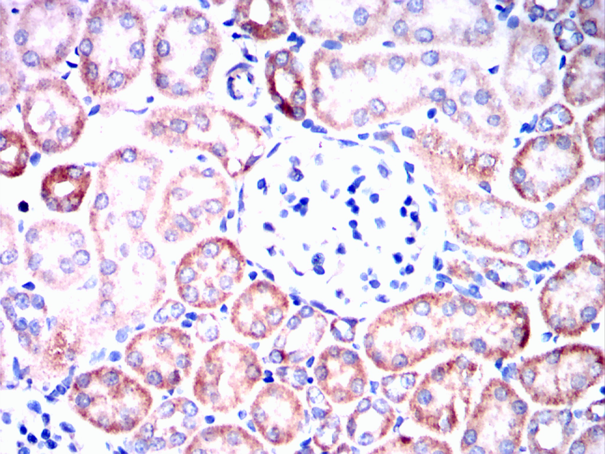
Immunohistochemical analysis of paraffin-embedded rabbit kidney tissues using ERBB3 mouse mAb with DAB staining.

-
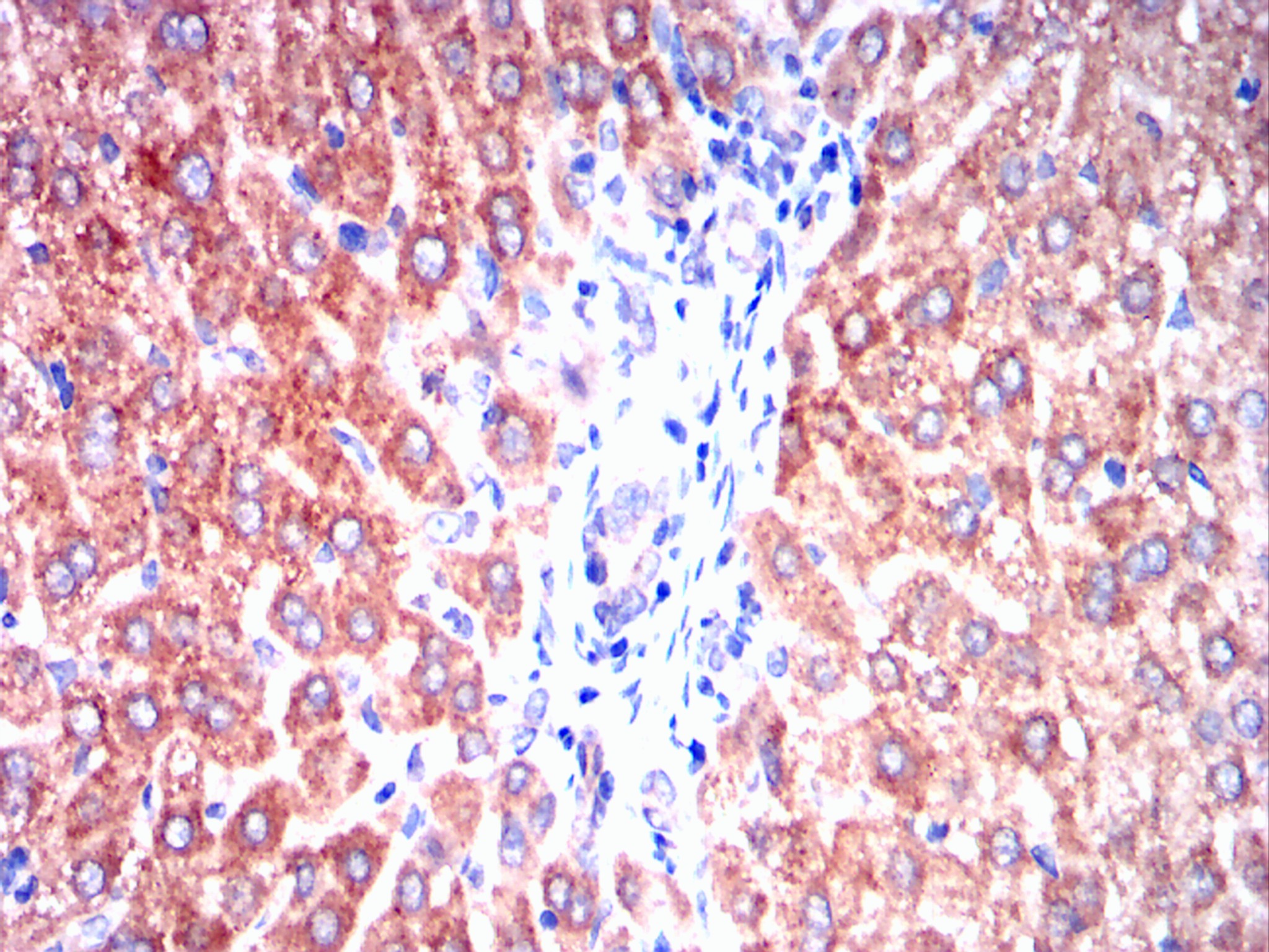
Immunohistochemical analysis of paraffin-embedded rabbit liver tissues using ERBB3 mouse mAb with DAB staining.










鄂公网安备42018502007531号

