Mouse Monoclonal Antibody to PGR
货号:
20205
别名:
PR; NR3C3; PGR
应用:
IHC,FCM
反应种属:
Human
抗体类型:
Primary antibody
Swissprot:
P06401
规格:
目录价
在线咨询
Description |
|---|
PGR: progesterone receptor. This gene encodes a member of the steroid receptor superfamily. The encoded protein mediates the physiological effects of progesterone, which plays a central role in reproductive events associated with the establishment and maintenance of pregnancy. This gene uses two distinct promotors and translation start sites in the first exon to produce two isoforms, A and B. The two isoforms are identical except for the additional 165 amino acids found in the N-terminus of isoform A only, and mediate their own response genes and physiologic effects with little overlap. The location of transcription initiation for isoform B has not been clearly determined. |
References |
|---|
| 1. Cancer Sci. 2006 Dec;97(12):1308 2. Mol Endocrinol. 2006 Nov;20(11):2656-70. |
Specification |
|
|---|---|
| Aliases | PR; NR3C3; PGR |
| Entrez GeneID | 5241 |
| Swissprot | P06401 |
| clone | 2C11F11 |
| Host/Isotype | Mouse IgG2b |
| Antibody Type | Primary antibody |
| Storage | Store at 4°C short term. Aliquot and store at -20°C long term. Avoid freeze/thaw cycles. |
| Species Reactivity | Human |
| Immunogen | Purified recombinant fragment of PGR (aa731-909) expressed in E. Coli. |
| Formulation | Ascitic fluid containing 0.03% sodium azide. |
Application |
|
|---|---|
| IHC | 1/200 - 1/1000 |
| FCM | 1/200 - 1/400 |
| ELISA | 1/10000 |
Product Image
-
Flow cytometric analysis of COS7 cells using PGR mouse mAb (green) and negative control (red).

-
Flow cytometric analysis of HELA cells using PGR mouse mAb (green) and negative control (red).

-
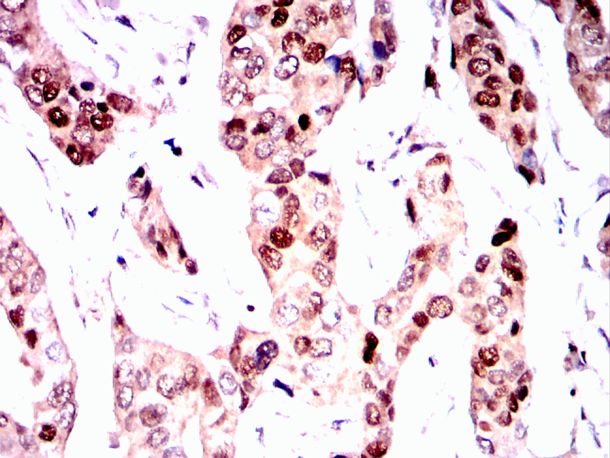
Immunohistochemical analysis of paraffin-embedded human lung cancer tissues using PGR mouse mAb with DAB staining.

-
Immunohistochemical analysis of paraffin-embedded human ovarian cancer tissues using PGR mouse mAb with DAB staining.

-
Immunohistochemical analysis of paraffin-embedded human breast cancer tissues using PGR mouse mAb with DAB staining.






鄂公网安备42018502007531号

