Mouse Monoclonal Antibody to HIF2a
货号:
90011
别名:
HLF; MOP2; ECYT4; HIF2A; PASD2; bHLHe73
应用:
IHC,IF,FCM
反应种属:
Human
抗体类型:
Primary antibody
Swissprot:
Q99814
规格:
目录价
在线咨询
Description |
|---|
This gene encodes a transcription factor involved in the induction of genes regulated by oxygen, which is induced as oxygen levels fall. The encoded protein contains a basic-helix-loop-helix domain protein dimerization domain as well as a domain found in proteins in signal transduction pathways which respond to oxygen levels. Mutations in this gene are associated with erythrocytosis familial type 4. [provided by RefSeq, Nov 2009] |
References |
|---|
| 1,Nat Commun. 2020 Oct 6;11(1):5023. 2,Blood Cells Mol Dis. 2020 Sep;84:102446. |
Specification |
|
|---|---|
| Aliases | HLF; MOP2; ECYT4; HIF2A; PASD2; bHLHe73 |
| Entrez GeneID | 2034 |
| Swissprot | Q99814 |
| clone | 1H3E12 |
| WB Predicted band size | 96.5kDa |
| Host/Isotype | Mouse IgG1 |
| Antibody Type | Primary antibody |
| Storage | Store at 4°C short term. Aliquot and store at -20°C long term. Avoid freeze/thaw cycles. |
| Species Reactivity | Human |
| Immunogen | Purified recombinant fragment of human HIF2a (AA: 680-870) expressed in E. Coli. |
| Formulation | Purified antibody in PBS with 0.05% sodium azide |
Application |
|
|---|---|
| IHC | 1/200 - 1/1000 |
| IF | 1/200 - 1/1000 |
| FCM | 1/200 - 1/400 |
| ELISA | 1/10000 |
Product Image
-
Black line: Control Antigen (100 ng);Purple line: Antigen (10ng); Blue line: Antigen (50 ng); Red line:Antigen (100 ng)

-
Immunofluorescence analysis of Hela cells using HIF2a mouse mAb (green). Blue: DRAQ5 fluorescent DNA dye. Red: Actin filaments have been labeled with Alexa Fluor- 555 phalloidin. Secondary antibody from Fisher (Cat#: 35503)

-
Flow cytometric analysis of Hela cells using HIF2a mouse mAb (green) and negative control (red).

-
Flow cytometric analysis of HepG2 cells using HIF2a mouse mAb (green) and negative control (red).

-
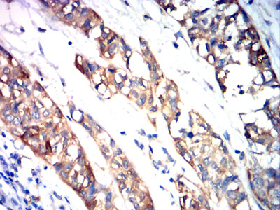
Immunohistochemical analysis of paraffin-embedded human baldder cancer tissues using HIF2a mouse mAb with DAB staining.

-
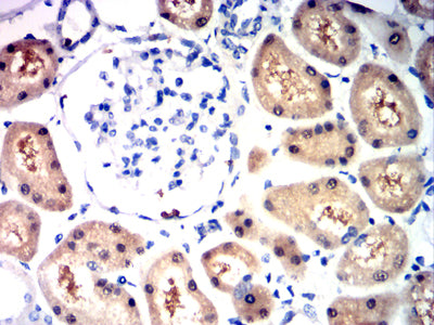
Immunohistochemical analysis of paraffin-embedded human kidney tissues using HIF2a mouse mAb with DAB staining.







鄂公网安备42018502007531号

