Mouse Monoclonal Antibody to PBEF1
货号:
20188
别名:
VF; PBEF; PBEF1; VISFATIN; NAMPT
应用:
WB,IHC,IF,FCM
反应种属:
Human, Rat, Mouse, Monkey, Rabbit
抗体类型:
Primary antibody
Swissprot:
P43490
规格:
目录价
在线咨询
Description |
|---|
PBEF1: nicotinamide phosphoribosyltransferase. This gene encodes a protein that catalyzes the condensation of nicotinamide with 5-phosphoribosyl-1-pyrophosphate to yield nicotinamide mononucleotide, one step in the biosynthesis of nicotinamide adenine dinucleotide. The protein is an adipokine that is localized to the bloodstream and has various functions, including the promotion of vascular smooth muscle cell maturation and inhibition of neutrophil apoptosis. It also activates insulin receptor and has insulin-mimetic effects, lowering blood glucose and improving insulin sensitivity. The protein is highly expressed in visceral fat and serum levels of the protein correlate with obesity. |
References |
|---|
| 1. Mol Cell Biol. 1994 Feb;14(2):1431-7. 2. Eur J Immunol. 2002 Nov;32(11):3225-34. |
Specification |
|
|---|---|
| Aliases | VF; PBEF; PBEF1; VISFATIN; NAMPT |
| Entrez GeneID | 10135 |
| Swissprot | P43490 |
| clone | 1D3A12 |
| Host/Isotype | Mouse IgG1 |
| Antibody Type | Primary antibody |
| Storage | Store at 4°C short term. Aliquot and store at -20°C long term. Avoid freeze/thaw cycles. |
| Species Reactivity | Human, Rat, Mouse, Monkey, Rabbit |
| Immunogen | Purified recombinant fragment of PBEF1 (aa338-479) expressed in E. Coli. |
| Formulation | Ascitic fluid containing 0.03% sodium azide. |
Application |
|
|---|---|
| WB | 1/500 - 1/2000 |
| IHC | 1/200 - 1/1000 |
| IF | 1/50 - 1/200 |
| FCM | 1/200 - 1/400 |
| ELISA | 1/10000 |
Product Image
-
Western blot analysis using LAL mouse mAb against C6 (1), C2C12 (2), COS-7 (3), PC-12 (4), NIH/3T3 (5), Raw264.7 (6), F9 (7), mouse brain (8), mouse liver (9), mouse kidney (10), K562 (11), and HT1080 (12) cell lysate.

-
Immunofluorescence analysis of HeLa cells using Visfatin(PBEF) mouse mAb (green). Blue: DRAQ5 fluorescent DNA dye. Red: Actin filaments have been labeled with Alexa Fluor-555 phalloidin. Secondary antibody from Fisher (Cat#: 35503)

-
Flow cytometric analysis of K562 cells using Visfatin(PBEF) mouse mAb (green) and negative control (red).

-
Flow cytometric analysis of PC-12 cells using Visfatin(PBEF) mouse mAb (green) and negative control (red).

-
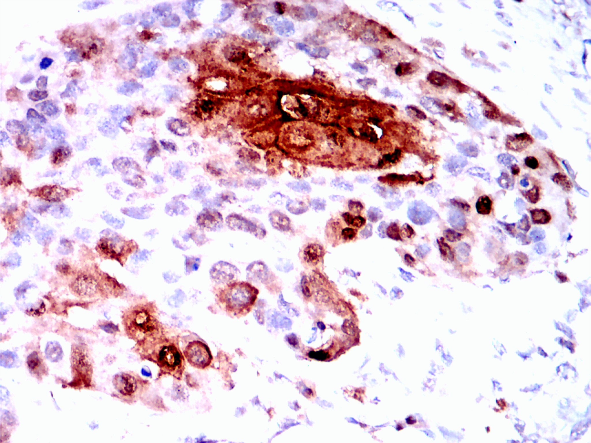
Immunohistochemical analysis of paraffin-embedded liver cancer tissues using Visfatin(PBEF) mouse mAb with DAB staining.

-
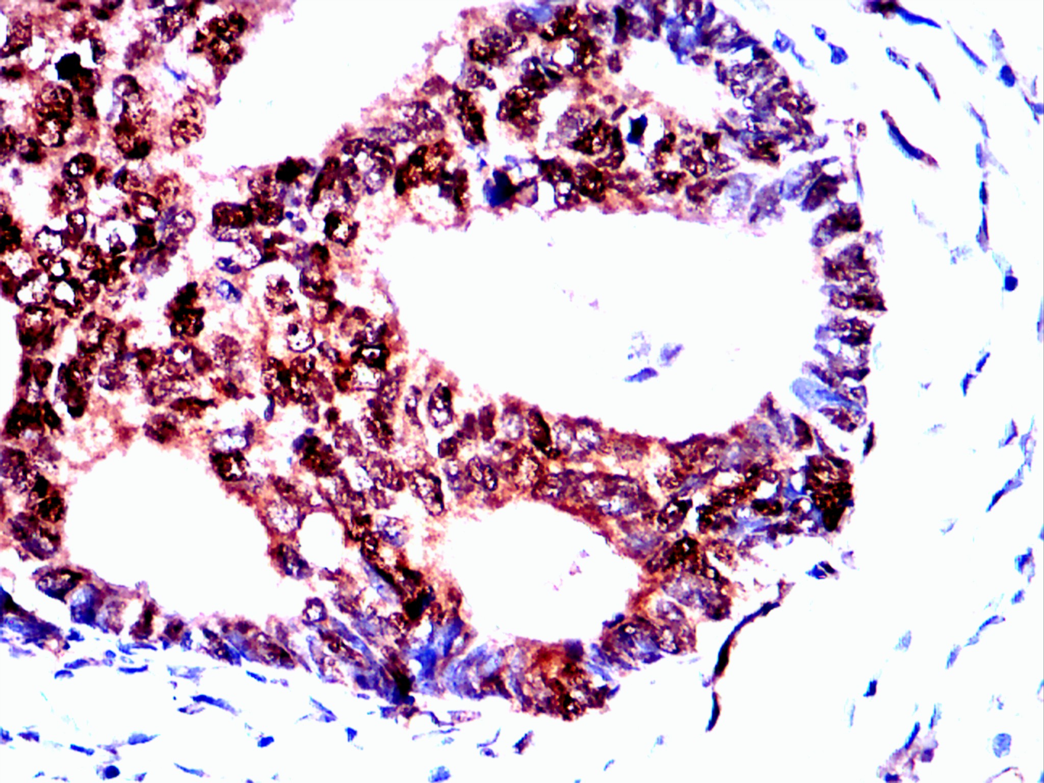
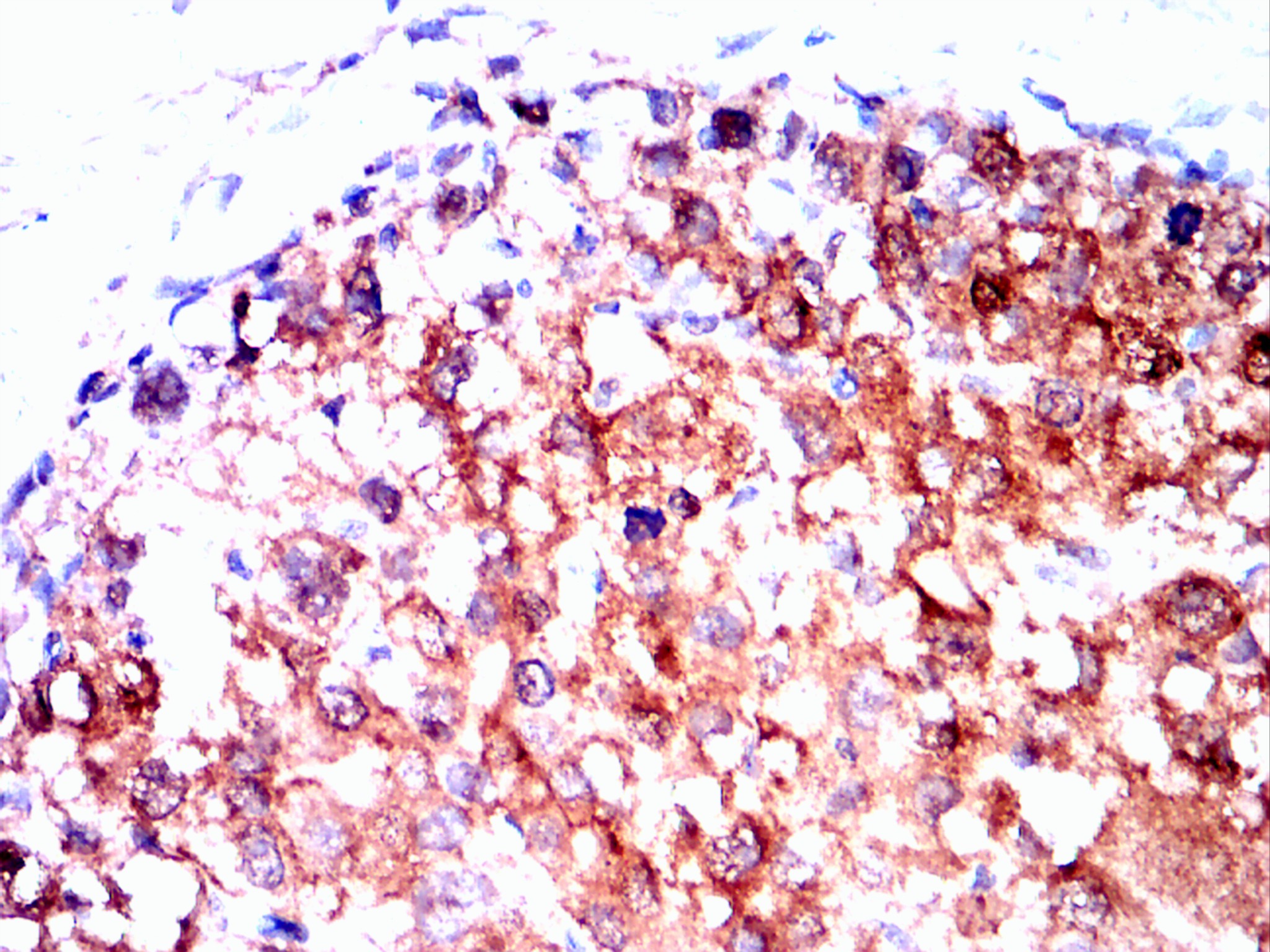
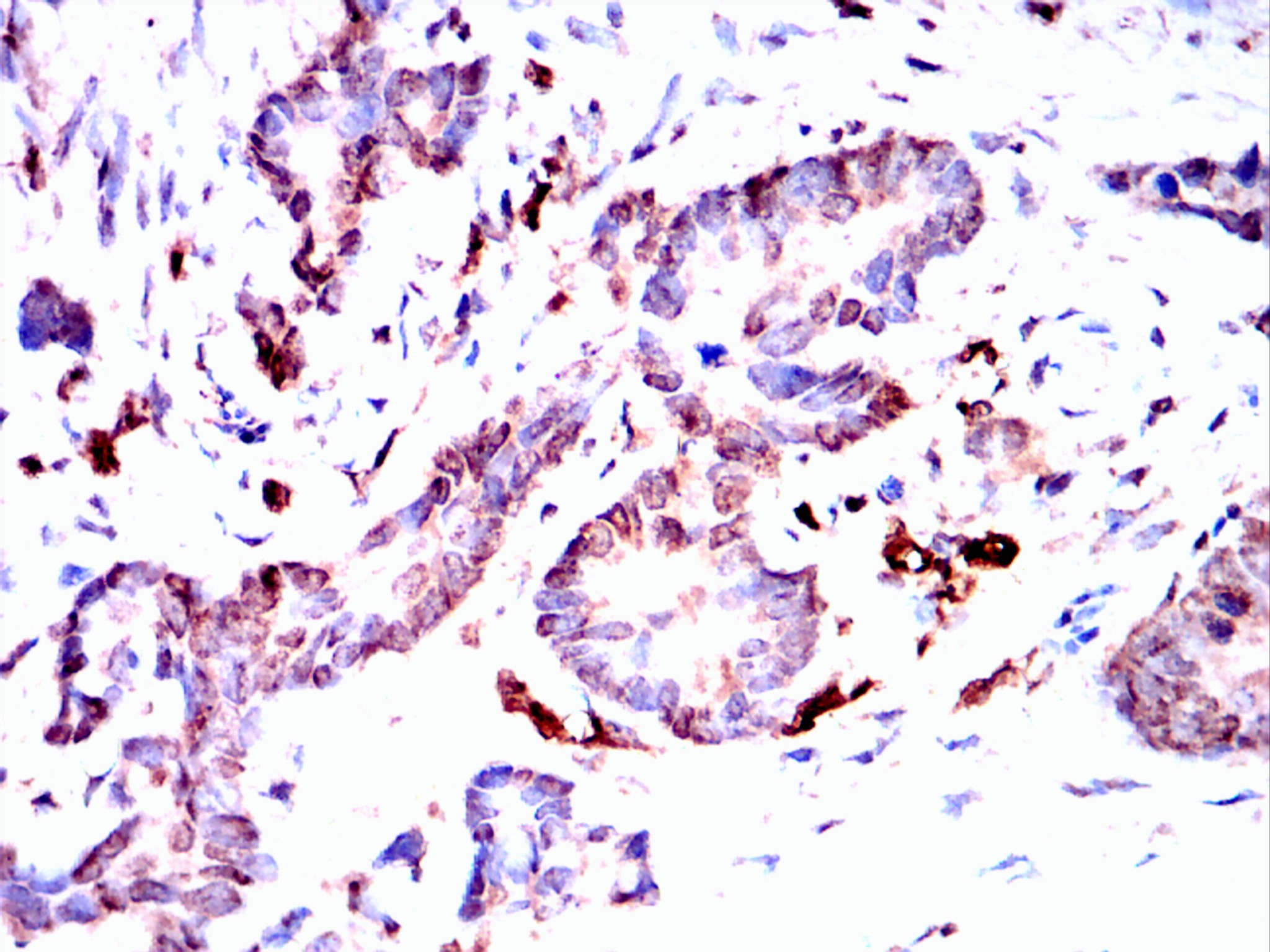
Immunohistochemical analysis of paraffin-embedded colon cancer tissues using Visfatin(PBEF) mouse mAb with DAB staining.

-
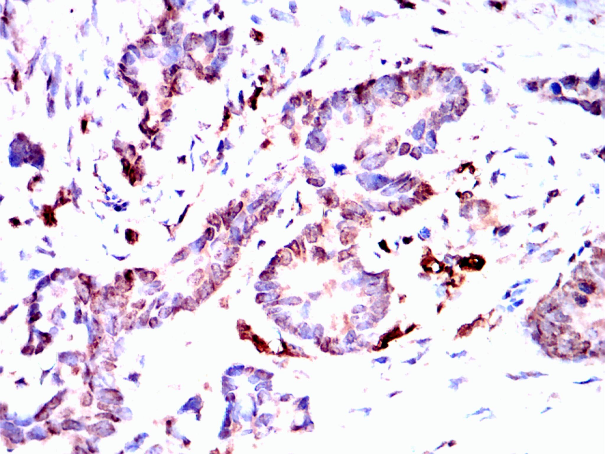
Immunohistochemical analysis of paraffin-embedded rectum cancer tissues using Visfatin(PBEF) mouse mAb with DAB staining.

-
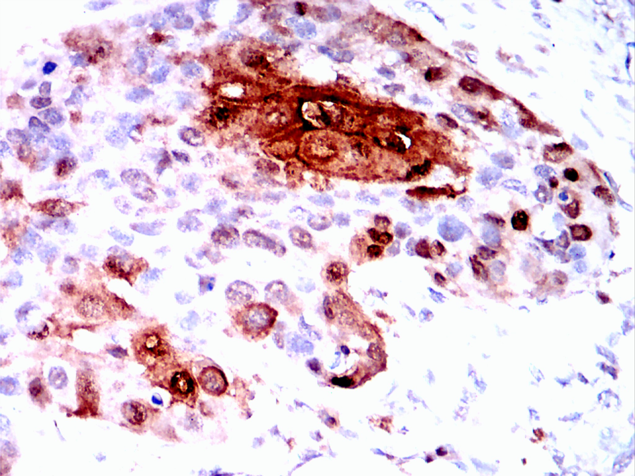
Immunohistochemical analysis of paraffin-embedded esophageal cancer tissues using Visfatin(PBEF) mouse mAb with DAB staining.

-
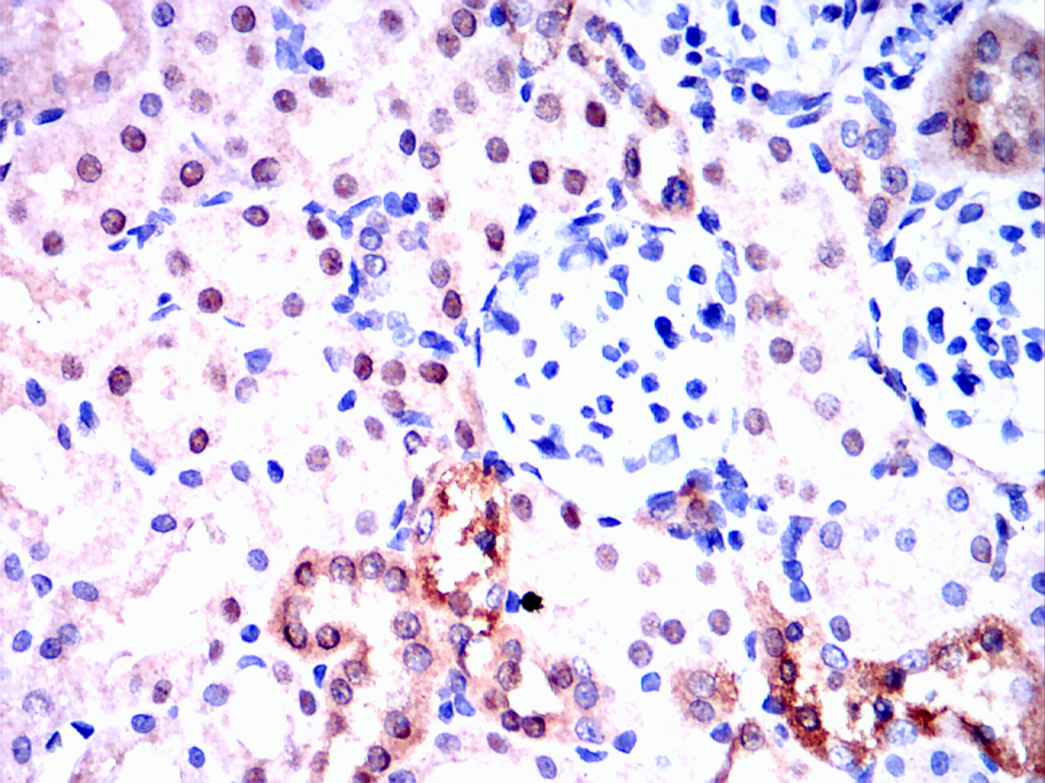
Immunohistochemical analysis of paraffin-embedded rat kidney tissues using Visfatin(PBEF) mouse mAb with DAB staining.

-
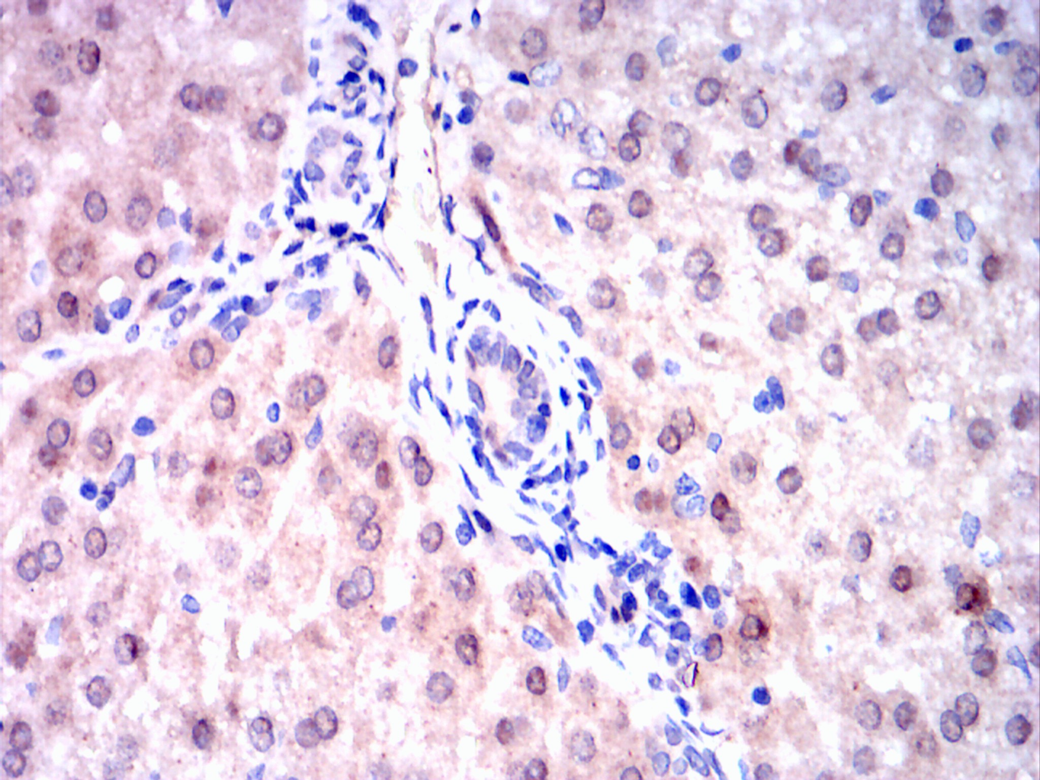
Immunohistochemical analysis of paraffin-embedded rabbit liver tissues using Visfatin(PBEF) mouse mAb with DAB staining.











鄂公网安备42018502007531号

