Mouse Monoclonal Antibody to PIK3CA
货号:
32458
别名:
PI3K; p110-alpha
应用:
IHC,IF,FCM
反应种属:
Human,Mouse,Rat,Rabbit
抗体类型:
Primary antibody
Swissprot:
P42336
规格:
目录价
在线咨询
Description |
|---|
PIK3CA is the most mutated gene in breast cancer and is important in other cancers. An integral part of the PI3K pathway, PIK3CA is an oncogene with two hotspots for activating mutations: the 542/545 region of the helical domain and the 1047 region of the kinase domain. The interaction of PIK3CA with the AKT and mTOR pathways is the subject of an immense amount of research and development, and PI3K inhibitors have exhibited some success in recent clinical trials. While PI3K monotherapies are likely insufficient, there is interest in pursuing PI3K inhibition in combination with other therapies including TKI's, MEK inhibitors, PARP inhibitors, and - in breast cancer - aromatase inhibitors. |
Specification |
|
|---|---|
| Aliases | PI3K; p110-alpha |
| Entrez GeneID | 5290 |
| Swissprot | P42336 |
| clone | 7H9B3 |
| WB Predicted band size | 124kDa |
| Host/Isotype | Mouse IgG2a |
| Antibody Type | Primary antibody |
| Storage | Store at 4°C short term. Aliquot and store at -20°C long term. Avoid freeze/thaw cycles. |
| Species Reactivity | Human,Mouse,Rat,Rabbit |
| Formulation | Purified antibody in PBS with 0.05% sodium azide. |
Application |
|
|---|---|
| IHC | 1/200 - 1/1000 |
| IF | 1/200 - 1/1000 |
| FCM | 1/200 - 1/400 |
| ELISA | 1/10000 |
Product Image
-
Flow cytometric analysis of HELA cells using PIK3CA mouse mAb (green) and negative control (red).

-
Flow cytometric analysis of HL-60 cells using PIK3CA mouse mAb (green) and negative control (red).

-
Immunohistochemical analysis of paraffin-embedded human cervical cancer showing cytoplasmic localization using PIK3CA mouse mAb with DAB staining.

-
Immunohistochemical analysis of paraffin-embedded human colon cancer showing cytoplasmic localization using PIK3CA mouse mAb with DAB staining.

-
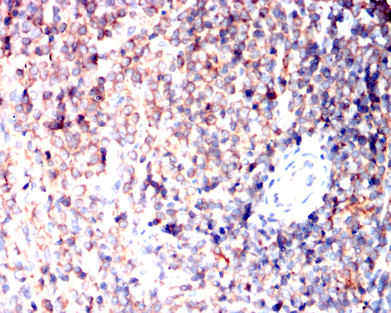
Immunohistochemical analysis of paraffin-embedded mouse spleen showing cytoplasmic localization using PIK3CA mouse mAb with DAB staining.

-
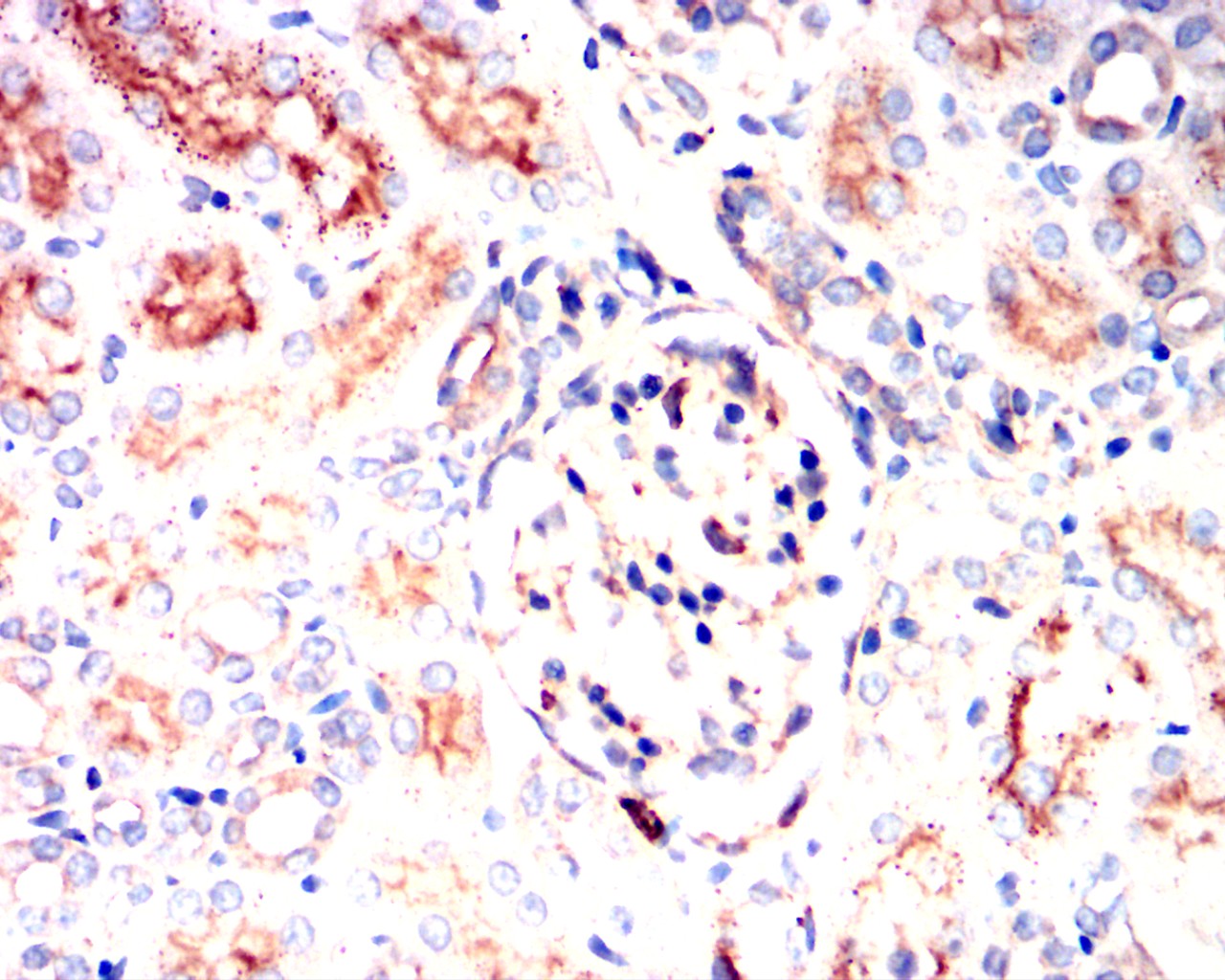
Immunohistochemical analysis of paraffin-embedded mouse kidney showing cytoplasmic localization using PIK3CA mouse mAb with DAB staining.

-
Immunohistochemical analysis of paraffin-embedded rat spleen showing cytoplasmic localization using PIK3CA mouse mAb with DAB staining.

-
Immunohistochemical analysis of paraffin-embedded rat kidney showing cytoplasmic localization using PIK3CA mouse mAb with DAB staining.

-
Immunohistochemical analysis of paraffin-embedded rabbit spleen showing cytoplasmic localization using PIK3CA mouse mAb with DAB staining.

-
Immunohistochemical analysis of paraffin-embedded rabbit kidney showing cytoplasmic localization using PIK3CA mouse mAb with DAB staining.











鄂公网安备42018502007531号

