Mouse Monoclonal Antibody to AHNAK2
货号:
32449
别名:
C14orf78
应用:
IHC,FCM
反应种属:
Human,Mouse,Rat,Rabbit
抗体类型:
Primary antibody
Swissprot:
Q8IVF2
规格:
目录价
在线咨询
Description |
|---|
This gene encodes a large nucleoprotein. The encoded protein has a tripartite domain structure with a relatively short N-terminus and a long C-terminus, separated by a large body of repeats. The N-terminal PSD-95/Discs-large/ZO-1 (PDZ)-like domain is thought to function in the formation of stable homodimers. The encoded protein may play a role in calcium signaling by associating with calcium channel proteins. Alternative splicing results in multiple transcript variants. [provided by RefSeq, Apr 2017] |
Specification |
|
|---|---|
| Aliases | C14orf78 |
| Entrez GeneID | 113146 |
| Swissprot | Q8IVF2 |
| clone | 21G11B8A12 |
| WB Predicted band size | 61.6kDa |
| Host/Isotype | Mouse IgG1 |
| Antibody Type | Primary antibody |
| Storage | Store at 4°C short term. Aliquot and store at -20°C long term. Avoid freeze/thaw cycles. |
| Species Reactivity | Human,Mouse,Rat,Rabbit |
| Formulation | Purified antibody in PBS with 0.05% sodium azide |
Application |
|
|---|---|
| IHC | 1/200-1/400 |
| FCM | 1/200 - 1/400 |
Product Image
-
Flow cytometric analysis of Hela cells using AHNAK2 mouse mAb (green) and negative control (red).

-
Immunohistochemical analysis of paraffin-embedded human lung cancer tissues using ALDH2 mouse mAb with DAB staining.

-
Immunohistochemical analysis of paraffin-embedded human cervical cancer tissues using ALDH2 mouse mAb with DAB staining.

-
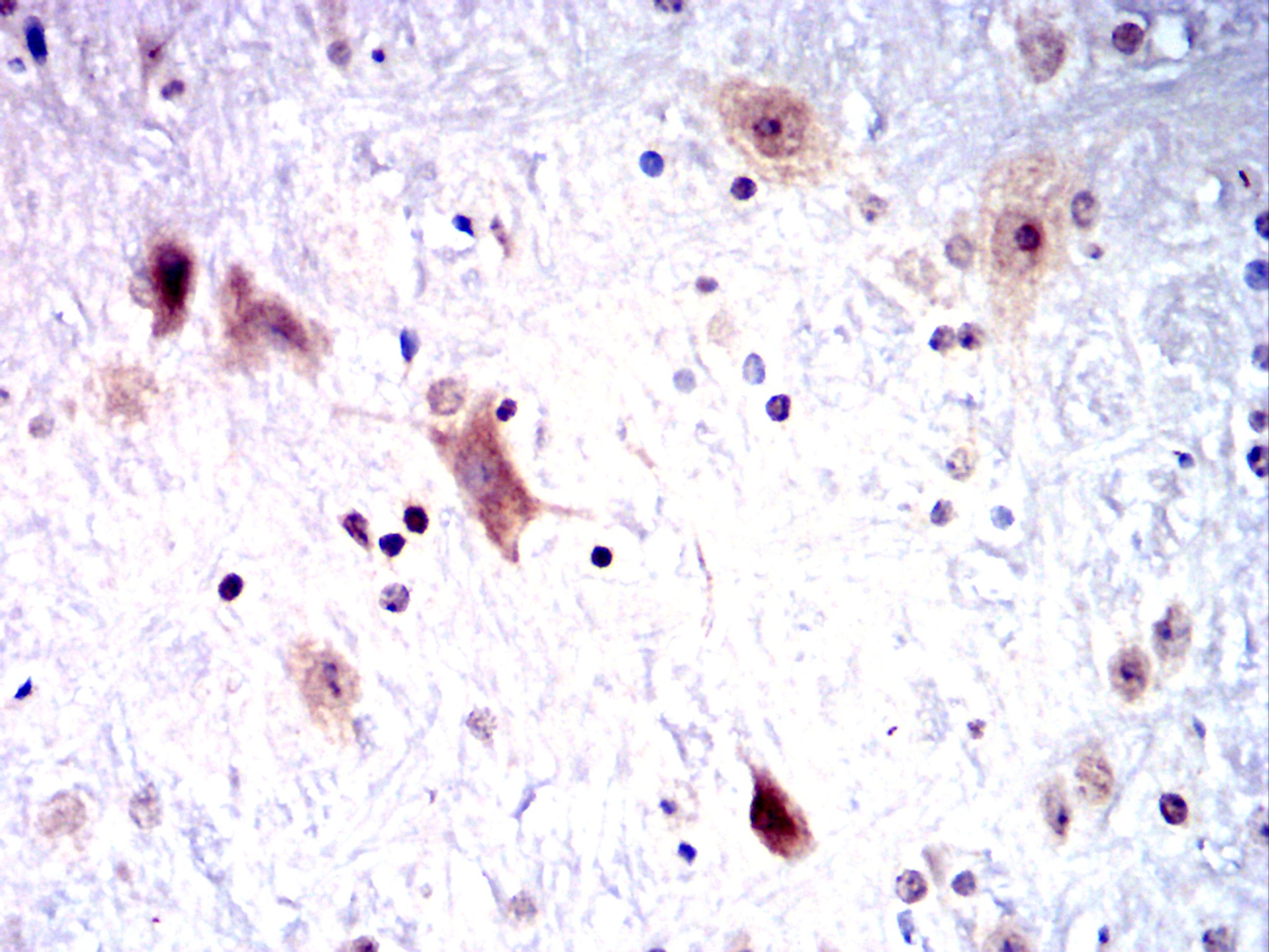
Immunohistochemical analysis of paraffin-embedded rat cerebellum tissues using ALDH2 mouse mAb with DAB staining.

-
Immunohistochemical analysis of paraffin-embedded mouse cerebellum tissues using ALDH2 mouse mAb with DAB staining.

-
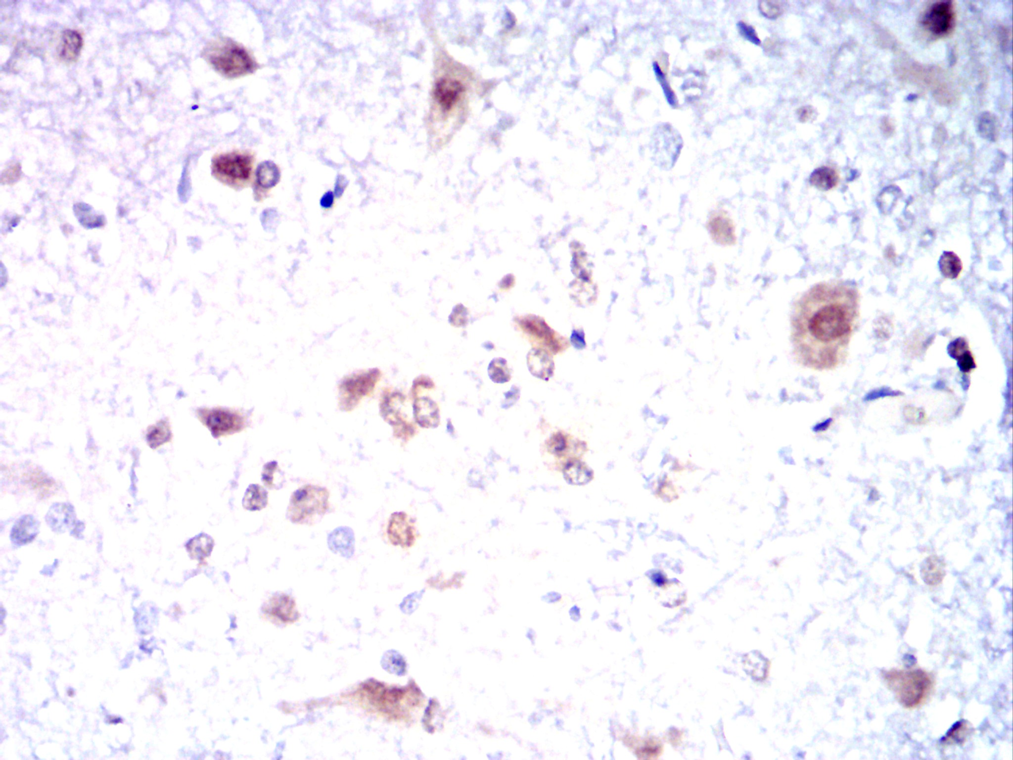
Immunohistochemical analysis of paraffin-embedded rabbit spinal cord tissues using ALDH2 mouse mAb with DAB staining.







鄂公网安备42018502007531号

