Mouse Monoclonal Antibody to HLA-DPB1
货号:
32435
别名:
DPB1; HLA-DP; HLA-DPB; HLA-DP1B
应用:
IHC,FCM
反应种属:
Human, Rat
抗体类型:
Primary antibody
Swissprot:
P04440
规格:
目录价
在线咨询
Description |
|---|
HLA-DPB belongs to the HLA class II beta chain paralogues. This class II molecule is a heterodimer consisting of an alpha (DPA) and a beta chain (DPB), both anchored in the membrane. It plays a central role in the immune system by presenting peptides derived from extracellular proteins. Class II molecules are expressed in antigen presenting cells (APC: B lymphocytes, dendritic cells, macrophages). The beta chain is approximately 26-28 kDa and its gene contains 6 exons. Exon one encodes the leader peptide, exons 2 and 3 encode the two extracellular domains, exon 4 encodes the transmembrane domain and exon 5 encodes the cytoplasmic tail. Within the DP molecule both the alpha chain and the beta chain contain the polymorphisms specifying the peptide binding specificities, resulting in up to 4 different molecules. |
References |
|---|
| Immunogenetics. 2021 Jun;73(3):253-261. Am J Hum Genet. 2020 Feb 6;106(2):264-271. |
Specification |
|
|---|---|
| Aliases | DPB1; HLA-DP; HLA-DPB; HLA-DP1B |
| Entrez GeneID | 3115 |
| Swissprot | P04440 |
| clone | 5C9F4 |
| WB Predicted band size | 29.2kDa |
| Host/Isotype | Mouse IgG1 |
| Antibody Type | Primary antibody |
| Storage | Store at 4°C short term. Aliquot and store at -20°C long term. Avoid freeze/thaw cycles. |
| Species Reactivity | Human, Rat |
| Immunogen | Purified recombinant fragment of human HLA-DPB1 (AA: extra 30-215) expressed in E. Coli. |
| Formulation | Purified antibody in PBS with 0.05% sodium azide |
Application |
|
|---|---|
| IHC | 1/200 - 1/1000 |
| FCM | 1/200 - 1/400 |
| ELISA | 1/10000 |
Product Image
-
Black line: Control Antigen (100 ng);Purple line: Antigen (10ng); Blue line: Antigen (50 ng); Red line:Antigen (100 ng)

-
Flow cytometric analysis of RAJI cells using HLA-DPB1 mouse mAb (green) and negative control (red).

-
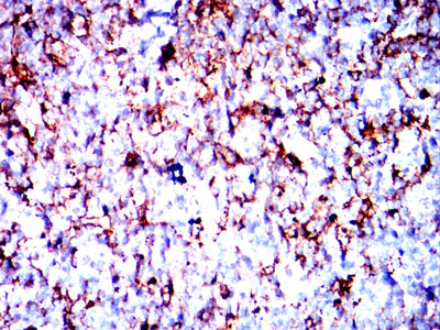
Immunohistochemical analysis of paraffin-embedded human ovarian cancer tissues using HLA-DPB1 mouse mAb with DAB staining.

-
Immunohistochemical analysis of paraffin-embedded human gastric cancer tissues using HLA-DPB1 mouse mAb with DAB staining.

-
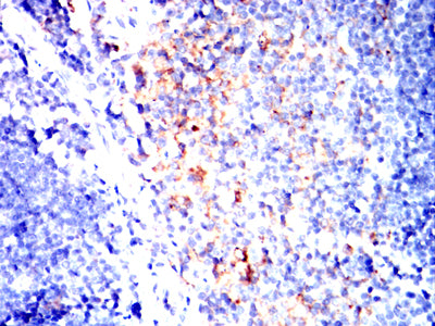
Immunohistochemical analysis of paraffin-embedded Rat thymus tissues using HLA-DPB1 mouse mAb with DAB staining.

-
Immunohistochemical analysis of paraffin-embedded Rabbit thymus tissues using HLA-DPB1 mouse mAb with DAB staining.







鄂公网安备42018502007531号

