Mouse Monoclonal Antibody to MUC13
货号:
32436
别名:
DRCC1; MUC-13
应用:
WB,IHC,FCM
反应种属:
Human, Mouse, Rat
抗体类型:
Primary antibody
Swissprot:
Q9H3R2
规格:
目录价
在线咨询
Description |
|---|
Epithelial mucins, such as MUC13, are a family of secreted and cell surface glycoproteins expressed by ductal and glandular epithelial tissues (Williams et al., 2001 [PubMed 11278439]). |
References |
|---|
| Micron. 2020 Mar;130:102822. Int J Cancer. 2017 May 15;140(10):2351-2363. |
Specification |
|
|---|---|
| Aliases | DRCC1; MUC-13 |
| Entrez GeneID | 56667 |
| Swissprot | Q9H3R2 |
| clone | 8B2A7 |
| WB Predicted band size | 54.6kDa |
| Host/Isotype | Mouse IgG1 |
| Antibody Type | Primary antibody |
| Storage | Store at 4°C short term. Aliquot and store at -20°C long term. Avoid freeze/thaw cycles. |
| Species Reactivity | Human, Mouse, Rat |
| Immunogen | Purified recombinant fragment of human MUC13 (AA: extra 19-238) expressed in E. Coli. |
| Formulation | Purified antibody in PBS with 0.05% sodium azide |
Application |
|
|---|---|
| WB | 1/500 - 1/2000 |
| IHC | 1/200 - 1/1000 |
| FCM | 1/200 - 1/400 |
| ELISA | 1/10000 |
Product Image
-
Black line: Control Antigen (100 ng);Purple line: Antigen (10ng); Blue line: Antigen (50 ng); Red line:Antigen (100 ng)

-
Western blot analysis using MUC13 mouse mAb against HT-19 (1), SW620 (2), and NIH/3T3 (3) cell lysate.

-
Flow cytometric analysis of RSC-96 cells using MUC13 mouse mAb (green) and negative control (red).

-
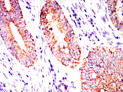
Immunohistochemical analysis of paraffin-embedded human colon cancer tissues using MUC13 mouse mAb with DAB staining.

-
Immunohistochemical analysis of paraffin-embedded human rectal cancer tissues using MUC13 mouse mAb with DAB staining.

-
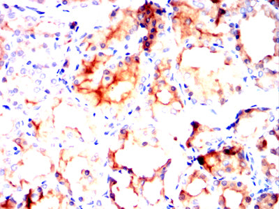
Immunohistochemical analysis of paraffin-embedded Rat thyroid tissues using MUC13 mouse mAb with DAB staining.

-
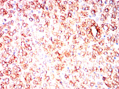
Immunohistochemical analysis of paraffin-embedded Rabbit lymph node tissues using MUC13 mouse mAb with DAB staining.








鄂公网安备42018502007531号

