Mouse Monoclonal Antibody to IL6
货号:
32445
别名:
CDF;HGF;HSF;BSF2;IL-6;BSF-2;IFNB2;IFN-beta-2
应用:
IHC,FCM
反应种属:
Human,Mouse,Rat,Rabbit
抗体类型:
Primary antibody
Swissprot:
P05231
规格:
目录价
在线咨询
Description |
|---|
This gene encodes a cytokine that functions in inflammation and the maturation of B cells. In addition, the encoded protein has been shown to be an endogenous pyrogen capable of inducing fever in people with autoimmune diseases or infections. The protein is primarily produced at sites of acute and chronic inflammation, where it is secreted into the serum and induces a transcriptional inflammatory response through interleukin 6 receptor, alpha. The functioning of this gene is implicated in a wide variety of inflammation-associated disease states, including suspectibility to diabetes mellitus and systemic juvenile rheumatoid arthritis. Elevated levels of the encoded protein have been found in virus infections, including COVID-19 |
Specification |
|
|---|---|
| Aliases | CDF;HGF;HSF;BSF2;IL-6;BSF-2;IFNB2;IFN-beta-2 |
| Entrez GeneID | 3569 |
| Swissprot | P05231 |
| clone | 7C10C6 |
| WB Predicted band size | 23.7kDa |
| Host/Isotype | Mouse IgG2b |
| Antibody Type | Primary antibody |
| Storage | Store at 4°C short term. Aliquot and store at -20°C long term. Avoid freeze/thaw cycles. |
| Species Reactivity | Human,Mouse,Rat,Rabbit |
| Formulation | Purified antibody in PBS with 0.05% sodium azide |
Application |
|
|---|---|
| IHC | 1/200-1/400 |
| FCM | 1/200 - 1/400 |
Product Image
-
Flow cytometric analysis of Hela cells using IL6 mouse mAb (green) and negative control (red).

-
Immunohistochemical analysis of paraffin-embedded human liver cancer tissues using IL6 mouse mAb with DAB staining.

-
Immunohistochemical analysis of paraffin-embedded human liver tissues using IL6 mouse mAb with DAB staining.

-
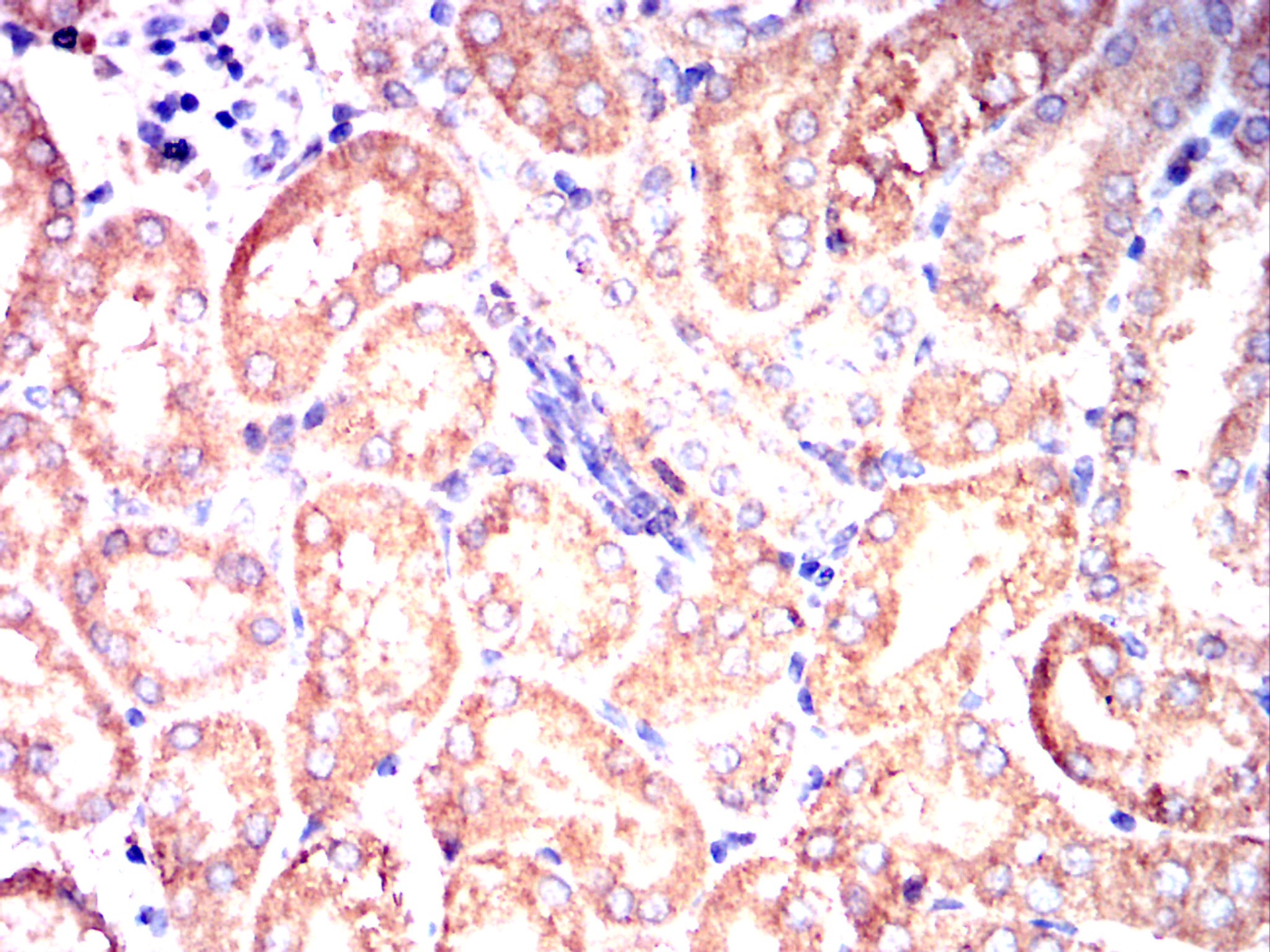
Immunohistochemical analysis of paraffin-embeddedrat rat kidney tissues using IL6 mouse mAb with DAB staining.

-
Immunohistochemical analysis of paraffin-embeddedrat mouse kidney tissues using IL6 mouse mAb with DAB staining.

-
Immunohistochemical analysis of paraffin-embeddedrat rabbit kidney tissues using IL6 mouse mAb with DAB staining.







鄂公网安备42018502007531号

