Mouse Monoclonal Antibody to AKR1C1
货号:
32451
别名:
C9;DD1;DDH;DDH1;H-37;HBAB;MBAB;HAKRC;DD1/DD2;2-ALPHA-HSD;20-ALPHA-HSD
应用:
WB,IHC,FCM
反应种属:
Human,Mouse,Rabbit
抗体类型:
Primary antibody
Swissprot:
Q04828
规格:
目录价
在线咨询
Description |
|---|
This gene encodes a member of the aldo/keto reductase superfamily, which consists of more than 40 known enzymes and proteins. These enzymes catalyze the conversion of aldehydes and ketones to their corresponding alcohols by utilizing NADH and/or NADPH as cofactors. The enzymes display overlapping but distinct substrate specificity. This enzyme catalyzes the reaction of progesterone to the inactive form 20-alpha-hydroxy-progesterone. This gene shares high sequence identity with three other gene members and is clustered with those three genes at chromosome 10p15-p14. [provided by RefSeq, Jul 2008] |
Specification |
|
|---|---|
| Aliases | C9;DD1;DDH;DDH1;H-37;HBAB;MBAB;HAKRC;DD1/DD2;2-ALPHA-HSD;20-ALPHA-HSD |
| Entrez GeneID | 1645 |
| Swissprot | Q04828 |
| clone | 6D6F6 |
| WB Predicted band size | 36.7kDa |
| Host/Isotype | Mouse IgG1 |
| Antibody Type | Primary antibody |
| Storage | Store at 4°C short term. Aliquot and store at -20°C long term. Avoid freeze/thaw cycles. |
| Species Reactivity | Human,Mouse,Rabbit |
| Formulation | Purified antibody in PBS with 0.05% sodium azide |
Application |
|
|---|---|
| WB | 1/500-1/1000 |
| IHC | 1/200-1/400 |
| FCM | 1/200 - 1/400 |
Product Image
-
Western blot analysis using AKRAC1 mouse mAb against HepG2(1) mouse liver(2)cell lysate.

-
Flow cytometric analysis of Hela cells using AKR1C1 mouse mAb (green) and negative control (red).

-
Immunohistochemical analysis of paraffin-embedded human lung cancer tissues using AKR1C1 mouse mAb with DAB stainin.

-
Immunohistochemical analysis of paraffin-embedded human stomach cancer tissues using AKR1C1 mouse mAb with DAB stainin.

-
Immunohistochemical analysis of paraffin-embedded human rrectal cancer tissues using AKR1C1 mouse mAb with DAB stainin.

-
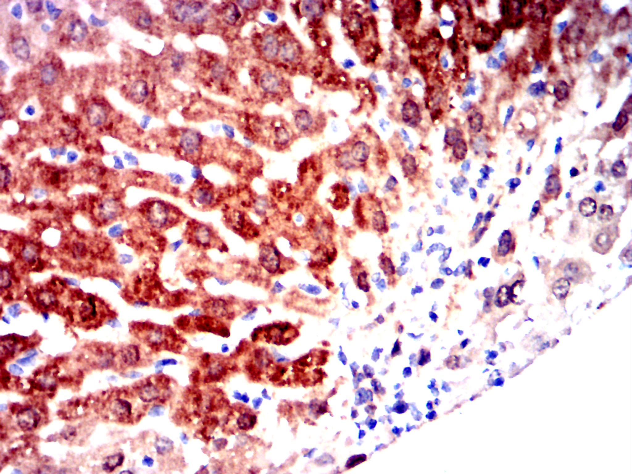
Immunohistochemical analysis of paraffin-embedded mouse liver tissues using AKR1C1 mouse mAb with DAB staining.

-
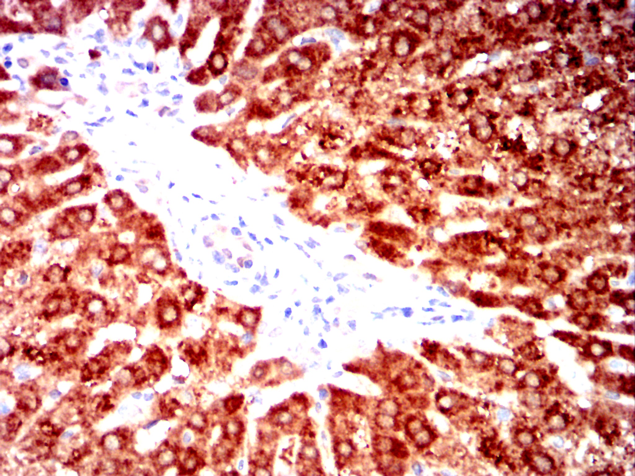
Immunohistochemical analysis of paraffin-embedded rabbit liver tissues using AKR1C1 mouse mAb with DAB staining.

-
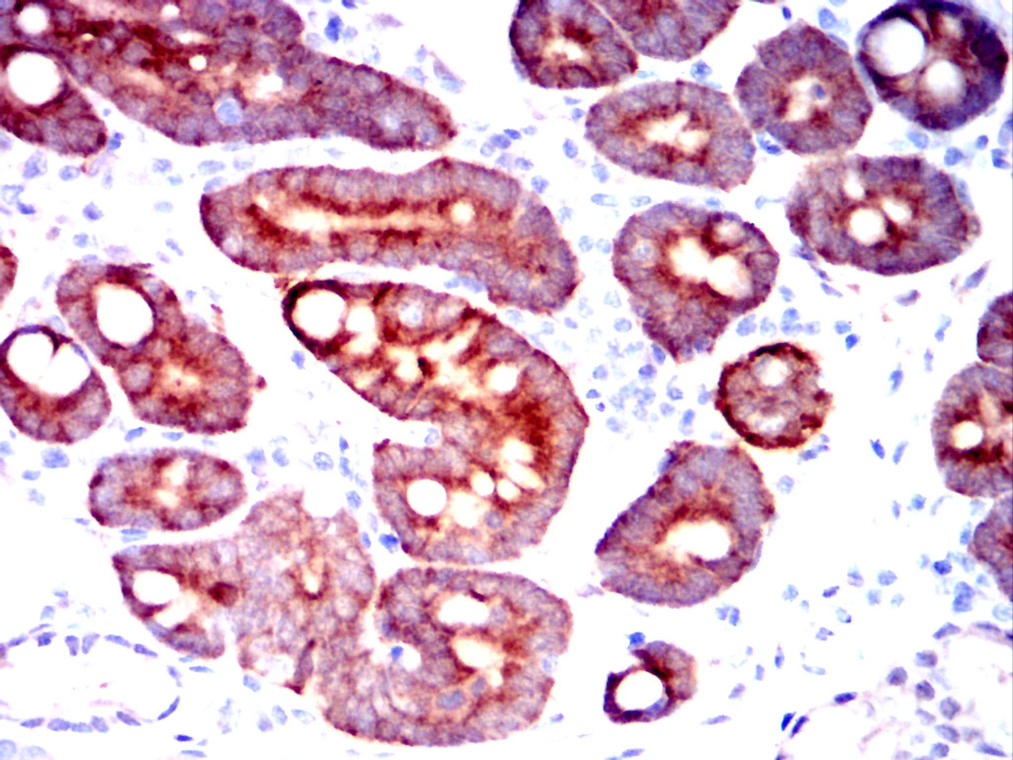
Immunohistochemical analysis of paraffin-embedded rabbit small intestine tissues using AKR1C1 mouse mAb with DAB staining.









鄂公网安备42018502007531号

