Mouse Monoclonal Antibody to HLA-DPA1
货号:
32424
别名:
DPA1; PLT1; HLADP; HLASB; DP(W3); DP(W4); HLA-DPA; HLA-DP1A; HLA-DPB1
应用:
WB,IHC,FCM
反应种属:
Human
抗体类型:
Primary antibody
Swissprot:
P20036
规格:
目录价
在线咨询
Description |
|---|
HLA-DPA1 belongs to the HLA class II alpha chain paralogues. This class II molecule is a heterodimer consisting of an alpha (DPA) and a beta (DPB) chain, both anchored in the membrane. It plays a central role in the immune system by presenting peptides derived from extracellular proteins. Class II molecules are expressed in antigen presenting cells (APC: B lymphocytes, dendritic cells, macrophages). The alpha chain is approximately 33-35 kDa and its gene contains 5 exons. Exon one encodes the leader peptide, exons 2 and 3 encode the two extracellular domains, exon 4 encodes the transmembrane domain and the cytoplasmic tail. Within the DP molecule both the alpha chain and the beta chain contain the polymorphisms specifying the peptide binding specificities, resulting in up to 4 different molecules. |
References |
|---|
| 1.HLA. 2021 Dec;98(6):577-578. 2.HLA. 2022 Jan;99(1):74-75. |
Specification |
|
|---|---|
| Aliases | DPA1; PLT1; HLADP; HLASB; DP(W3); DP(W4); HLA-DPA; HLA-DP1A; HLA-DPB1 |
| Entrez GeneID | 3113 |
| Swissprot | P20036 |
| clone | 2B1A10 |
| WB Predicted band size | 29.3kDa |
| Host/Isotype | Mouse IgG2a |
| Antibody Type | Primary antibody |
| Storage | Store at 4°C short term. Aliquot and store at -20°C long term. Avoid freeze/thaw cycles. |
| Species Reactivity | Human |
| Immunogen | Purified recombinant fragment of human HLA-DPA1 (AA: 29-209) expressed in E. Coli. |
| Formulation | Purified antibody in PBS with 0.05% sodium azide |
Application |
|
|---|---|
| WB | 1/500 - 1/2000 |
| IHC | 1/200 - 1/1000 |
| FCM | 1/200 - 1/400 |
| ELISA | 1/10000 |
Product Image
-
Black line: Control Antigen (100 ng);Purple line: Antigen (10ng); Blue line: Antigen (50 ng); Red line:Antigen (100 ng)

-
Western blot analysis using HLA-DPA1 mouse mAb against Raji(1) cell lysate.

-
Flow cytometric analysis of Jurkat cells using HLA-DPA1 mouse mAb (green) and negative control (red).

-
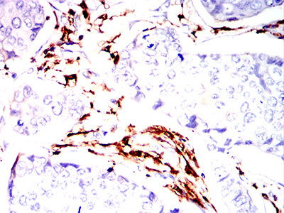
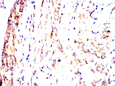
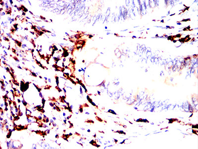
Immunohistochemical analysis of paraffin-embedded human ovarian cancer tissues using HLA-DPA1 mouse mAb with DAB staining.

-
Immunohistochemical analysis of paraffin-embedded human breast cancer tissues using HLA-DPA1 mouse mAb with DAB staining.

-
Immunohistochemical analysis of paraffin-embedded human gastric cancer tissues using HLA-DPA1 mouse mAb with DAB staining.

-
Immunohistochemical analysis of paraffin-embedded human rectal cancer tissues using HLA-DPA1 mouse mAb with DAB staining.








鄂公网安备42018502007531号

