Mouse Monoclonal Antibody to VAMP2
货号:
32440
别名:
SYB2; VAMP-2; NEDHAHM
应用:
IHC,FCM
反应种属:
Human, Mouse, Monkey, Rat
抗体类型:
Primary antibody
Swissprot:
P63027
规格:
目录价
在线咨询
Description |
|---|
The protein encoded by this gene is a member of the vesicle-associated membrane protein (VAMP)/synaptobrevin family. Synaptobrevins/VAMPs, syntaxins, and the 25-kD synaptosomal-associated protein SNAP25 are the main components of a protein complex involved in the docking and/or fusion of synaptic vesicles with the presynaptic membrane. This gene is thought to participate in neurotransmitter release at a step between docking and fusion. The protein forms a stable complex with syntaxin, synaptosomal-associated protein, 25 kD, and synaptotagmin. It also forms a distinct complex with synaptophysin. It is a likely candidate gene for familial infantile myasthenia (FIMG) because of its map location and because it encodes a synaptic vesicle protein of the type that has been implicated in the pathogenesis of FIMG. |
References |
|---|
| Alzheimers Res Ther. 2021 Jun 28;13(1):119. Cell Mol Immunol. 2018 Apr;15(4):353-366. |
Specification |
|
|---|---|
| Aliases | SYB2; VAMP-2; NEDHAHM |
| Entrez GeneID | 6844 |
| Swissprot | P63027 |
| clone | 5A2C7 |
| WB Predicted band size | 12.7kDa |
| Host/Isotype | Mouse IgG1 |
| Antibody Type | Primary antibody |
| Storage | Store at 4°C short term. Aliquot and store at -20°C long term. Avoid freeze/thaw cycles. |
| Species Reactivity | Human, Mouse, Monkey, Rat |
| Immunogen | Purified recombinant fragment of human VAMP2 (AA: 2-89aa) expressed in E. Coli. |
| Formulation | Purified antibody in PBS with 0.05% sodium azide |
Application |
|
|---|---|
| IHC | 1/200 - 1/1000 |
| FCM | 1/200 - 1/400 |
| ELISA | 1/10000 |
Product Image
-
Black line: Control Antigen (100 ng);Purple line: Antigen (10ng); Blue line: Antigen (50 ng); Red line:Antigen (100 ng)

-
Flow cytometric analysis of Hela cells using VAMP2 mouse mAb (green) and negative control (red).

-
Flow cytometric analysis of COS-7 cells using VAMP2 mouse mAb (green) and negative control (red).

-
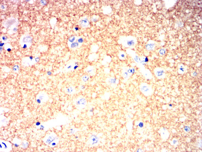
Immunohistochemical analysis of paraffin-embedded human medulla oblongata tissues using VAMP2 mouse mAb with DAB staining.

-
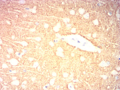
Immunohistochemical analysis of paraffin-embedded human brain tissues using VAMP2 mouse mAb with DAB staining.

-
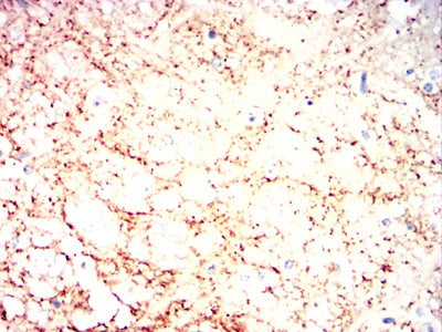
Immunohistochemical analysis of paraffin-embedded Mouse cerebellum tissues using VAMP2 mouse mAb with DAB staining.

-
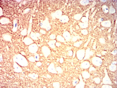
Immunohistochemical analysis of paraffin-embedded Rat brain tissues using VAMP2 mouse mAb with DAB staining.

-
Immunohistochemical analysis of paraffin-embedded Rabbit brain tissues using VAMP2 mouse mAb with DAB staining.









鄂公网安备42018502007531号

