Mouse Monoclonal Antibody to CD54
货号:
32426
别名:
BB2; CD54; P3.58
应用:
WB,IHC,FCM
反应种属:
Human
抗体类型:
Primary antibody
Swissprot:
P05362
规格:
目录价
在线咨询
Description |
|---|
This gene encodes a cell surface glycoprotein which is typically expressed on endothelial cells and cells of the immune system. It binds to integrins of type CD11a / CD18, or CD11b / CD18 and is also exploited by Rhinovirus as a receptor. |
References |
|---|
| 1.Dev Cell. 2022 Feb 7;57(3):329-343.e7. 2.Korean J Gastroenterol. 2022 Apr 25;79(4):170-176. |
Specification |
|
|---|---|
| Aliases | BB2; CD54; P3.58 |
| Entrez GeneID | 3383 |
| Swissprot | P05362 |
| clone | 1D5D5 |
| WB Predicted band size | 57.8kDa |
| Host/Isotype | Mouse IgG2b |
| Antibody Type | Primary antibody |
| Storage | Store at 4°C short term. Aliquot and store at -20°C long term. Avoid freeze/thaw cycles. |
| Species Reactivity | Human |
| Immunogen | Purified recombinant fragment of human CD54 (AA: 28-163) expressed in E. Coli. |
| Formulation | Purified antibody in PBS with 0.05% sodium azide |
Application |
|
|---|---|
| WB | 1/500 - 1/2000 |
| IHC | 1/200 - 1/1000 |
| FCM | 1/200 - 1/400 |
| ELISA | 1/10000 |
Product Image
-
Black line: Control Antigen (100 ng);Purple line: Antigen (10ng); Blue line: Antigen (50 ng); Red line:Antigen (100 ng)

-
Western blot analysis using CD54 mouse mAb against Raji (1) cell lysate.

-
Flow cytometric analysis of Jurkat cells using CD54 mouse mAb (green) and negative control (red).

-
Flow cytometric analysis of Raji cells using CD54 mouse mAb (green) and negative control (red).

-
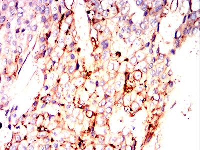
Immunohistochemical analysis of paraffin-embedded human liver cancer tissues using CD54 mouse mAb with DAB staining.

-
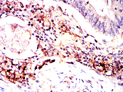
Immunohistochemical analysis of paraffin-embedded human rectal cancer tissues using CD54 mouse mAb with DAB staining.

-
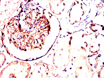
Immunohistochemical analysis of paraffin-embedded human renal tissue tissues using CD54 mouse mAb with DAB staining.

-
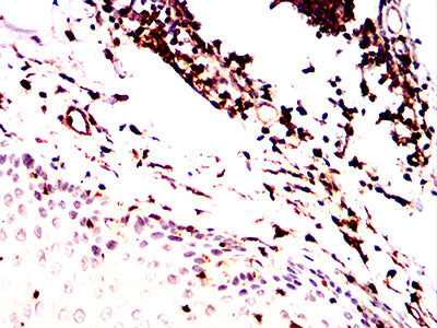
Immunohistochemical analysis of paraffin-embedded human esophageal tissue tissues using CD54 mouse mAb with DAB staining.









鄂公网安备42018502007531号

