Mouse Monoclonal Antibody to CD82
货号:
32427
别名:
R2; 4F9; C33; IA4; ST6; GR15; KAI1; SAR2; TSPAN27
应用:
IHC,FCM
反应种属:
Human, Mouse
抗体类型:
Primary antibody
Swissprot:
P27701
规格:
目录价
在线咨询
Description |
|---|
This metastasis suppressor gene product is a membrane glycoprotein that is a member of the transmembrane 4 superfamily. Expression of this gene has been shown to be downregulated in tumor progression of human cancers and can be activated by p53 through a consensus binding sequence in the promoter. Its expression and that of p53 are strongly correlated, and the loss of expression of these two proteins is associated with poor survival for prostate cancer patients. Two alternatively spliced transcript variants encoding distinct isoforms have been found for this gene. |
References |
|---|
| 1.Cells. 2021 Jun 18;10(6):1545. 2.Sci Rep. 2021 May 5;11(1):9530. |
Specification |
|
|---|---|
| Aliases | R2; 4F9; C33; IA4; ST6; GR15; KAI1; SAR2; TSPAN27 |
| Entrez GeneID | 3732 |
| Swissprot | P27701 |
| clone | 7G8G4 |
| WB Predicted band size | 29.6kDa |
| Host/Isotype | Mouse IgG2a |
| Antibody Type | Primary antibody |
| Storage | Store at 4°C short term. Aliquot and store at -20°C long term. Avoid freeze/thaw cycles. |
| Species Reactivity | Human, Mouse |
| Immunogen | Purified recombinant fragment of human CD82 (AA: extra 111-228) expressed in E. Coli. |
| Formulation | Purified antibody in PBS with 0.05% sodium azide |
Application |
|
|---|---|
| IHC | 1/200 - 1/1000 |
| FCM | 1/200 - 1/400 |
| ELISA | 1/10000 |
Product Image
-
Black line: Control Antigen (100 ng);Purple line: Antigen (10ng); Blue line: Antigen (50 ng); Red line:Antigen (100 ng)

-
Flow cytometric analysis of NIH/3T3 cells using CD82 mouse mAb (green) and negative control (red).

-
Flow cytometric analysis of Hela cells using CD82 mouse mAb (green) and negative control (red).

-
Immunohistochemical analysis of paraffin-embedded human cervical cancer tissues using CD82 mouse mAb with DAB staining.

-
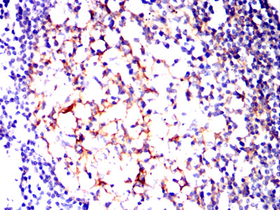
Immunohistochemical analysis of paraffin-embedded human lymph tissues using CD82 mouse mAb with DAB staining.






鄂公网安备42018502007531号

