Mouse Monoclonal Antibody to MRE11
货号:
32416
别名:
ATLD; HNGS1; MRE11A; MRE11B
应用:
IHC,FCM
反应种属:
Human, Rat
抗体类型:
Primary antibody
Swissprot:
P49959
规格:
目录价
在线咨询
Description |
|---|
This gene encodes a nuclear protein involved in homologous recombination, telomere length maintenance, and DNA double-strand break repair. By itself, the protein has 3' to 5' exonuclease activity and endonuclease activity. The protein forms a complex with the RAD50 homolog; this complex is required for nonhomologous joining of DNA ends and possesses increased single-stranded DNA endonuclease and 3' to 5' exonuclease activities. In conjunction with a DNA ligase, this protein promotes the joining of noncomplementary ends in vitro using short homologies near the ends of the DNA fragments. This gene has a pseudogene on chromosome 3. Alternative splicing of this gene results in two transcript variants encoding different isoforms. |
References |
|---|
| 1.Cancer Lett. 2021 Aug 28;514:1-11. 2.Diagn Pathol. 2019 Jun 21;14(1):60. |
Specification |
|
|---|---|
| Aliases | ATLD; HNGS1; MRE11A; MRE11B |
| Entrez GeneID | 4361 |
| Swissprot | P49959 |
| clone | 4D2B6 |
| WB Predicted band size | 80.6kDa |
| Host/Isotype | Mouse IgG1 |
| Antibody Type | Primary antibody |
| Storage | Store at 4°C short term. Aliquot and store at -20°C long term. Avoid freeze/thaw cycles. |
| Species Reactivity | Human, Rat |
| Immunogen | Purified recombinant fragment of human MRE11 (AA: 182-582) expressed in E. Coli. |
| Formulation | Purified antibody in PBS with 0.05% sodium azide |
Application |
|
|---|---|
| IHC | 1/200 - 1/1000 |
| FCM | 1/200 - 1/400 |
| ELISA | 1/10000 |
Product Image
-
Black line: Control Antigen (100 ng);Purple line: Antigen (10ng); Blue line: Antigen (50 ng); Red line:Antigen (100 ng)

-
Flow cytometric analysis of Hela cells using MRE11 mouse mAb (green) and negative control (red).

-
Flow cytometric analysis of K562 cells using MRE11 mouse mAb (green) and negative control (red).

-
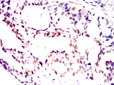
Immunohistochemical analysis of paraffin-embedded human bladder cancer tissues using MRE11 mouse mAb with DAB staining.

-
Immunohistochemical analysis of paraffin-embedded human ovarian cancer tissues using MRE11 mouse mAb with DAB staining.

-
Immunohistochemical analysis of paraffin-embedded human rectum cancer tissues using MRE11 mouse mAb with DAB staining.

-
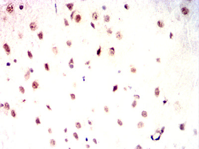
Immunohistochemical analysis of paraffin-embedded rat brain tissues using MRE11 mouse mAb with DAB staining.

-
Immunohistochemical analysis of paraffin-embedded rat cerebellum tissues using MRE11 mouse mAb with DAB staining.

-
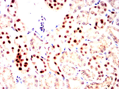
Immunohistochemical analysis of paraffin-embedded rat kidney tissues using MRE11 mouse mAb with DAB staining.










鄂公网安备42018502007531号

