Mouse Monoclonal Antibody to UCHL1
货号:
32412
别名:
NDGOA; PARK5; PGP95; SPG79; PGP9.5; UCHL-1; Uch-L1; HEL-117; PGP 9.5; HEL-S-53
应用:
WB,IHC,FCM
反应种属:
Human, Mouse, Rat
抗体类型:
Primary antibody
Swissprot:
P09936
规格:
目录价
在线咨询
Description |
|---|
The protein encoded by this gene belongs to the peptidase C12 family. This enzyme is a thiol protease that hydrolyzes a peptide bond at the C-terminal glycine of ubiquitin. This gene is specifically expressed in the neurons and in cells of the diffuse neuroendocrine system. Mutations in this gene may be associated with Parkinson disease. |
References |
|---|
| 1.Endocr Relat Cancer. 2019 Apr 1;26(4):411-423. 2.Cancer Sci. 2020 Feb;111(2):610-620. |
Specification |
|
|---|---|
| Aliases | NDGOA; PARK5; PGP95; SPG79; PGP9.5; UCHL-1; Uch-L1; HEL-117; PGP 9.5; HEL-S-53 |
| Entrez GeneID | 7345 |
| Swissprot | P09936 |
| clone | 1D1B12 |
| WB Predicted band size | 24.8kDa |
| Host/Isotype | Mouse IgG2b |
| Antibody Type | Primary antibody |
| Storage | Store at 4°C short term. Aliquot and store at -20°C long term. Avoid freeze/thaw cycles. |
| Species Reactivity | Human, Mouse, Rat |
| Immunogen | Purified recombinant fragment of human UCHL1 (AA: 1-220) expressed in E. Coli. |
| Formulation | Purified antibody in PBS with 0.05% sodium azide |
Application |
|
|---|---|
| WB | 1/500 - 1/2000 |
| IHC | 1/200 - 1/1000 |
| FCM | 1/200 - 1/400 |
| ELISA | 1/10000 |
Product Image
-
Black line: Control Antigen (100 ng);Purple line: Antigen (10ng); Blue line: Antigen (50 ng); Red line:Antigen (100 ng)

-
Western blot analysis using UCHL1 mouse mAb against DU145 (1), A549 (2) cell lysate, rat brain (3), and mouse brain (4) tissue lysate.

-
Flow cytometric analysis of Hela cells using UCHL1 mouse mAb (green) and negative control (red).

-
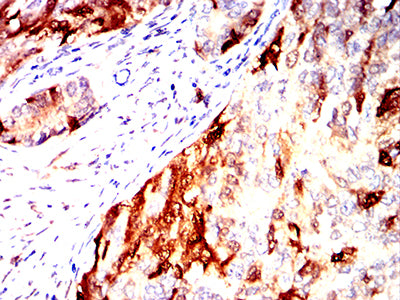
Immunohistochemical analysis of paraffin-embedded human bladder cancer tissues using UCHL1 mouse mAb with DAB staining.

-
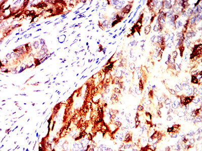
Immunohistochemical analysis of paraffin-embedded human lung cancer tissues using UCHL1 mouse mAb with DAB staining.

-
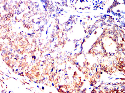
Immunohistochemical analysis of paraffin-embedded human cervical cancer tissues using UCHL1 mouse mAb with DAB staining.

-
Immunohistochemical analysis of paraffin-embedded human esophageal cancer tissues using UCHL1 mouse mAb with DAB staining.

-
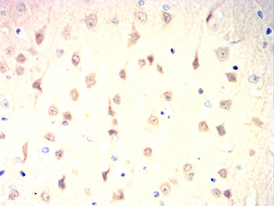
Immunohistochemical analysis of paraffin-embedded mouse brain tissues using UCHL1 mouse mAb with DAB staining.

-
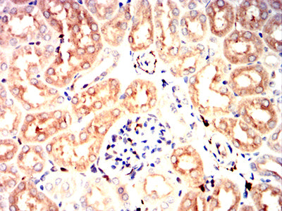
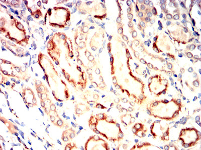
Immunohistochemical analysis of paraffin-embedded mouse kidney tissues using UCHL1 mouse mAb with DAB staining.

-
Immunohistochemical analysis of paraffin-embedded rat brain tissues using UCHL1 mouse mAb with DAB staining.

-
Immunohistochemical analysis of paraffin-embedded rat kidney tissues using UCHL1 mouse mAb with DAB staining.












鄂公网安备42018502007531号

