Mouse Monoclonal Antibody to ZP2
货号:
32421
别名:
ZPA; Zp-2; OOMD6
应用:
IHC,FCM
反应种属:
Human, Mouse, Rat
抗体类型:
Primary antibody
Swissprot:
Q05996
规格:
目录价
在线咨询
Description |
|---|
The zona pellucida is an extracellular matrix that surrounds the oocyte and early embryo. It is composed of three glycoproteins with various functions during fertilization and preimplantation development. The glycosylated mature peptide is one of the structural components of the zona pellucida and functions in secondary binding and penetration of acrosome-reacted spermatozoa. Female mice lacking this gene do not form a stable zona matrix and are sterile. Alternative splicing results in multiple transcript variants. |
References |
|---|
| 1.J Assist Reprod Genet. 2021 May;38(5):1239-1245. 2.J Assist Reprod Genet. 2020 Nov;37(11):2853-2860. |
Specification |
|
|---|---|
| Aliases | ZPA; Zp-2; OOMD6 |
| Entrez GeneID | 7783 |
| Swissprot | Q05996 |
| clone | 2F11E4 |
| WB Predicted band size | 82.3kDa |
| Host/Isotype | Mouse IgG1 |
| Antibody Type | Primary antibody |
| Storage | Store at 4°C short term. Aliquot and store at -20°C long term. Avoid freeze/thaw cycles. |
| Species Reactivity | Human, Mouse, Rat |
| Immunogen | Purified recombinant fragment of human ZP2 (AA: 624-745) expressed in E. Coli. |
| Formulation | Purified antibody in PBS with 0.05% sodium azide |
Application |
|
|---|---|
| IHC | 1/200 - 1/1000 |
| FCM | 1/200 - 1/400 |
| ELISA | 1/10000 |
Product Image
-
Black line: Control Antigen (100 ng);Purple line: Antigen (10ng); Blue line: Antigen (50 ng); Red line:Antigen (100 ng)

-
Flow cytometric analysis of Hela cells using ZP2 mouse mAb (green) and negative control (red).

-
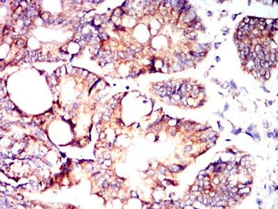
Immunohistochemical analysis of paraffin-embedded human breast cancer tissues using ZP2 mouse mAb with DAB staining.

-
Immunohistochemical analysis of paraffin-embedded human colon cancer tissues using ZP2 mouse mAb with DAB staining.

-
Immunohistochemical analysis of paraffin-embedded human rectum cancer tissues using ZP2 mouse mAb with DAB staining.

-
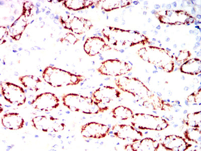
Immunohistochemical analysis of paraffin-embedded mouse kidney tissues using ZP2 mouse mAb with DAB staining.

-
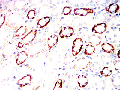
Immunohistochemical analysis of paraffin-embedded Rat kidney tissues using ZP2 mouse mAb with DAB staining.

-
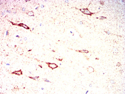
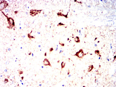
Immunohistochemical analysis of paraffin-embedded Rat cerebrum tissues using ZP2 mouse mAb with DAB staining.

-
Immunohistochemical analysis of paraffin-embedded Rabbit kidney tissues using ZP2 mouse mAb with DAB staining.

-
Immunohistochemical analysis of paraffin-embedded Rabbit spinal cord tissues using ZP2 mouse mAb with DAB staining.











鄂公网安备42018502007531号

